Skip to main content

AG-2/AGR2 Antibody (HL1024) - Azide and BSA Free

Novus Biologicals, part of Bio-Techne | Catalog # NBP3-13684

Recombinant Monoclonal Antibody
Novus Biologicals, part of Bio-Techne
Catalog #
Availability
Size / Price
Qty
Loading...
NBP3-13684

Key Product Details

Validated by

Orthogonal Validation

Species Reactivity

Human, Mouse, Rat

Applications

Immunohistochemistry, Immunohistochemistry-Paraffin, Western Blot, Immunocytochemistry/ Immunofluorescence

Label

Unconjugated

Antibody Source

Recombinant Monoclonal Rabbit IgG Clone # HL1024 expressed in HEK293

Format

Azide and BSA Free

Concentration

Concentrations vary lot to lot. See vial label for concentration. If unlisted please contact technical services.

Product Specifications

Immunogen

Carrier-protein conjugated synthetic peptide encompassing a sequence within the N-terminus region of human AG-2/AGR2. The exact sequence is proprietary.

Clonality

Monoclonal

Host

Rabbit

Isotype

IgG

Description

Centrifuge briefly prior to opening.

Scientific Data Images for AG-2/AGR2 Antibody (HL1024) - Azide and BSA Free

Western Blot: AG-2/AGR2 Antibody (HL1024) [NBP3-13684]

Western Blot: AG-2/AGR2 Antibody (HL1024) [NBP3-13684]

Western Blot: AG-2/AGR2 Antibody (HL1024) [NBP3-13684] - Rat tissue extract (50 ug) was separated by 15% SDS-PAGE, and the membrane was blotted with AG-2/AGR2 antibody [HL1024] (NBP3-13684) diluted at 1:1000. The HRP-conjugated anti-rabbit IgG antibody (NBP2-19301) was used to detect the primary antibody.
AG-2/AGR2 Antibody (HL1024)

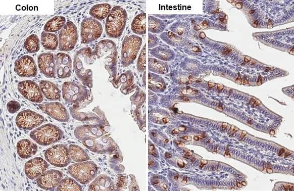
Immunohistochemistry-Paraffin: AG-2/AGR2 Antibody (HL1024) [NBP3-13684] -

Immunohistochemistry-Paraffin: AG-2/AGR2 Antibody (HL1024) [NBP3-13684] - AG-2/AGR2 antibody [HL1024] detects AG-2/AGR2 protein by immunohistochemical analysis.
Sample: Paraffin-embedded mouse tissue.
AG-2/AGR2 stained by AG-2/AGR2 antibody [HL1024] (NBP3-13684) diluted at 1:100.
Antigen Retrieval: Citrate buffer, pH 6.0, 15 min
AG-2/AGR2 Antibody (HL1024)

Immunocytochemistry/ Immunofluorescence: AG-2/AGR2 Antibody (HL1024) [NBP3-13684] -

Immunocytochemistry/ Immunofluorescence: AG-2/AGR2 Antibody (HL1024) [NBP3-13684] - AG-2/AGR2 antibody [HL1024] detects AG-2/AGR2 protein at cytoplasm by immunofluorescent analysis.
Sample: MCF-7 cells were fixed in ice-cold MeOH for 5 min.
Green: AG-2/AGR2 stained by AG-2/AGR2 antibody [HL1024] (NBP3-13684) diluted at 1:500.
Blue: Fluoroshield with DAPI .

Applications for AG-2/AGR2 Antibody (HL1024) - Azide and BSA Free

Application
Recommended Usage

Immunocytochemistry/ Immunofluorescence

Optimal dilutions of this antibody should be experimentally determined.

Immunohistochemistry

Optimal dilutions of this antibody should be experimentally determined.

Immunohistochemistry-Paraffin

Optimal dilutions of this antibody should be experimentally determined.

Western Blot

Optimal dilutions of this antibody should be experimentally determined.

Formulation, Preparation, and Storage

Purification

Protein A purified

Formulation

PBS

Format

Azide and BSA Free

Preservative

No Preservative

Concentration

Concentrations vary lot to lot. See vial label for concentration. If unlisted please contact technical services.

Shipping

The product is shipped with polar packs. Upon receipt, store it immediately at the temperature recommended below.

Stability & Storage

Store at 4C short term. Aliquot and store at -20C long term. Avoid freeze-thaw cycles.

Background: AG-2/AGR2

Anterior gradient homolog 2 (AGR2) is a proto-oncogene that may play a role in cell migration, cell differentiation and cell growth. AGR2 is expressed in a number of different tumor types and high levels of AGR2 correlate with downregulation of the p53 response. AGR2 is being investigated for its use as a potential diagnostic and therapeutic target in various cancers, and AGR2 antibodies are important tools for cancer research.

Long Name

Anterior Gradient 2 Homolog

Alternate Names

AG2, AGR2, GOB-4, HPC8, PDIA17

Gene Symbol

AGR2

Additional AG-2/AGR2 Products

Product Documents for AG-2/AGR2 Antibody (HL1024) - Azide and BSA Free

Certificate of Analysis

To download a Certificate of Analysis, please enter a lot number in the search box below.

Product Specific Notices for AG-2/AGR2 Antibody (HL1024) - Azide and BSA Free

This product is for research use only and is not approved for use in humans or in clinical diagnosis. Primary Antibodies are guaranteed for 1 year from date of receipt.

Loading...
Loading...
Loading...
Loading...