Skip to main content

AFG3L2 Antibody - BSA Free

Novus Biologicals, part of Bio-Techne | Catalog # NBP1-87086

Novus Biologicals, part of Bio-Techne
Catalog #
Availability
Size / Price
Qty
Loading...
NBP1-87086
NBP1-87086-25ul

Key Product Details

Validated by

Independent Antibodies

Species Reactivity

Validated:

Human

Predicted:

Mouse (100%), Rat (100%). Backed by our 100% Guarantee.

Applications

Immunohistochemistry, Immunohistochemistry-Paraffin, Immunocytochemistry/ Immunofluorescence

Label

Unconjugated

Antibody Source

Polyclonal Rabbit IgG

Format

BSA Free

Concentration

Concentrations vary lot to lot. See vial label for concentration. If unlisted please contact technical services.

Product Specifications

Immunogen

This antibody was developed against Recombinant Protein corresponding to amino acids: KTLLAKATAGEANVPFITVSGSEFLEMFVGVGPARVRDLFALARKNAPCILFIDEIDAVGRKRGRGNFGGQSEQENTLNQLLVEMDGFNTTTNVVILAGTNRPDILDPALLRPGRFDRQIFIGPPDIKGRASIFKVHLRPLK

Clonality

Polyclonal

Host

Rabbit

Isotype

IgG

Description

Novus Biologicals Rabbit AFG3L2 Antibody - BSA Free (NBP1-87086) is a polyclonal antibody validated for use in IHC and ICC/IF. All Novus Biologicals antibodies are covered by our 100% guarantee.

Scientific Data Images for AFG3L2 Antibody - BSA Free

Immunocytochemistry/ Immunofluorescence: AFG3L2 Antibody [NBP1-87086]

Immunocytochemistry/ Immunofluorescence: AFG3L2 Antibody [NBP1-87086]

Immunocytochemistry/Immunofluorescence: AFG3L2 Antibody [NBP1-87086] - Immunofluorescent staining of human cell line U-251 MG shows localization to mitochondria.
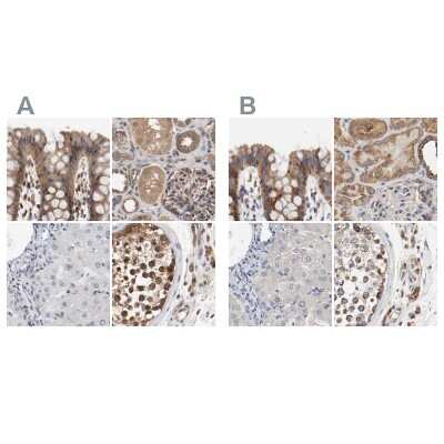
Immunohistochemistry-Paraffin: AFG3L2 Antibody [NBP1-87086]

Immunohistochemistry-Paraffin: AFG3L2 Antibody [NBP1-87086]

Immunohistochemistry-Paraffin: AFG3L2 Antibody [NBP1-87086] - Staining of human colon, kidney, liver and testis using Anti-AFG3L2 antibody NBP1-87086 (A) shows similar protein distribution across tissues to independent antibody NBP1-87085 (B).
Immunohistochemistry-Paraffin: AFG3L2 Antibody [NBP1-87086]

Immunohistochemistry-Paraffin: AFG3L2 Antibody [NBP1-87086]

Immunohistochemistry-Paraffin: AFG3L2 Antibody [NBP1-87086] - Staining of human colon.

Applications for AFG3L2 Antibody - BSA Free

Application
Recommended Usage

Immunocytochemistry/ Immunofluorescence

0.25-2 ug/ml

Immunohistochemistry

1:50 - 1:200

Immunohistochemistry-Paraffin

1:50 - 1:200
Application Notes
For IHC-Paraffin, HIER pH 6 retrieval method is recommended. Immunocytochemistry/Immunofluorescence Fixation Permeabilization: Use PFA/Triton X-100.

Formulation, Preparation, and Storage

Purification

Affinity purified

Formulation

PBS (pH 7.2) and 40% Glycerol

Format

BSA Free

Preservative

0.02% Sodium Azide

Concentration

Concentrations vary lot to lot. See vial label for concentration. If unlisted please contact technical services.

Shipping

The product is shipped with polar packs. Upon receipt, store it immediately at the temperature recommended below.

Stability & Storage

Store at 4C short term. Aliquot and store at -20C long term. Avoid freeze-thaw cycles.

Background: AFG3L2

AFG3L2 encodes a protein localized in mitochondria and closely related to paraplegin. The paraplegin gene is responsible for an autosomal recessive form of hereditary spastic paraplegia. This gene is a candidate gene for other hereditary spastic paraplegias or neurodegenerative disorders. [provided by RefSeq]

Alternate Names

AFG3 (ATPase family gene 3, yeast)-like 2, AFG3 ATPase family gene 3-like 2 (S. cerevisiae), AFG3 ATPase family gene 3-like 2 (yeast), AFG3-like protein 2, ATPase family gene 3, yeast, EC 3.4.24, EC 3.4.24.-, FLJ25993, Paraplegin-like protein, SCA28, spinocerebellar ataxia 28

Gene Symbol

AFG3L2

Additional AFG3L2 Products

Product Documents for AFG3L2 Antibody - BSA Free

Certificate of Analysis

To download a Certificate of Analysis, please enter a lot number in the search box below.

Product Specific Notices for AFG3L2 Antibody - BSA Free

This product is for research use only and is not approved for use in humans or in clinical diagnosis. Primary Antibodies are guaranteed for 1 year from date of receipt.

Loading...
Loading...
Loading...
Loading...