Skip to main content

Adipolin/FAM132A Antibody - BSA Free

Novus Biologicals, part of Bio-Techne | Catalog # NBP3-42027

Novus Biologicals, part of Bio-Techne
Catalog #
Availability
Size / Price
Qty
Loading...
NBP3-42027

Key Product Details

Species Reactivity

Human

Applications

Western Blot

Label

Unconjugated

Antibody Source

Polyclonal Rabbit

Format

BSA Free

Concentration

0.5 mg/ml

Product Specifications

Immunogen

Immunized with recombinant Human Adipolin/FAM132A (Uniprot#: Q5T7M4; Gly92-Gln241 (Uniprot#: Q5T7M4)

Clonality

Polyclonal

Host

Rabbit

Description

Novus Biologicals Rabbit Adipolin/FAM132A Antibody - BSA Free (NBP3-42027) is a polyclonal antibody validated for use in WB. All Novus Biologicals antibodies are covered by our 100% guarantee.

Scientific Data Images for Adipolin/FAM132A Antibody - BSA Free

Adipolin/FAM132A Antibody

Western Blot: Adipolin/FAM132A Antibody [NBP3-42027] -

Western Blot: Adipolin/FAM132A Antibody [NBP3-42027] - Sample: Recombinant protein.
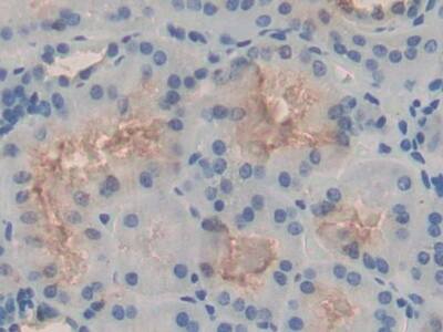
Adipolin/FAM132A Antibody

Immunohistochemistry-Paraffin: Adipolin/FAM132A Antibody [NBP3-42027] -

Immunohistochemistry-Paraffin: Adipolin/FAM132A Antibody [NBP3-42027] - DAB staining on IHC-P; Samples: Human Kidney Tissue; Primary Ab: 20ug/ml NBP3-42027; Second Ab: 2ug/mL HRP-Linked Caprine Anti-Rabbit IgG Polyclonal Antibody

Applications for Adipolin/FAM132A Antibody - BSA Free

Application
Recommended Usage

Western Blot

0.2-2ug/mL

Formulation, Preparation, and Storage

Purification

Antigen and protein A Affinity-purified

Formulation

PBS, pH7.4, 50% glycerol

Format

BSA Free

Preservative

0.02% Sodium Azide

Concentration

0.5 mg/ml

Shipping

The product is shipped with polar packs. Upon receipt, store it immediately at the temperature recommended below.

Stability & Storage

Store at 4C short term. Aliquot and store at -20C long term. Avoid freeze-thaw cycles.

Background: Adipolin/FAM132A

C1qTNF proteins constitute a highly conserved family of Acrp30/Adiponectin paralogs that share a modular organization comprising an N-terminal signal peptide, a short variable region, a collagenous domain and a C-terminal globular domain. C1qTNF proteins are predicted to have trimeric structures that assemble into hexameric and higher order molecular forms. C1qTNF3, also known as CORS26, is predominantly expressed in cartilage and is induced in mature adipocytes. C1qTNF10, also known as C1qL2, is a protein that shows 28% - 30% sequence identity with C1q subunits A, B, and C. It is predicted to contain one collagen-like and C1q domain. Mouse and human C1qTNF10 share over 90% amino acid sequence identity.

Long Name

Family with Sequence Similarity 132, Member A

Alternate Names

Adipose-Derived Insulin-Sensitizing Factor, C1qDC2, C1qTNF12, CTRP12, FAM132A

Gene Symbol

C1QTNF12

Additional Adipolin/FAM132A Products

Product Documents for Adipolin/FAM132A Antibody - BSA Free

Certificate of Analysis

To download a Certificate of Analysis, please enter a lot number in the search box below.

Product Specific Notices for Adipolin/FAM132A Antibody - BSA Free

This product is for research use only and is not approved for use in humans or in clinical diagnosis. Primary Antibodies are guaranteed for 1 year from date of receipt.

Loading...
Loading...
Loading...
Loading...