Skip to main content

ADAT3 Antibody - BSA Free

Novus Biologicals, part of Bio-Techne | Catalog # NBP2-99169

Novus Biologicals, part of Bio-Techne
Catalog #
Availability
Size / Price
Qty
Loading...
NBP2-99169-100ul
NBP2-99169-50ul
Conjugate
Catalog #

Key Product Details

Species Reactivity

Human

Applications

Immunohistochemistry, Immunohistochemistry-Paraffin, Western Blot

Label

Unconjugated

Antibody Source

Polyclonal Rabbit IgG

Format

BSA Free

Concentration

Please see the vial label for concentration. If unlisted please contact technical services.

Product Specifications

Immunogen

Produced in rabbits immunized with a synthetic peptide corresponding to the N-terminus of the Human ADAT3.

Clonality

Polyclonal

Host

Rabbit

Isotype

IgG

Description

This antibody can be stored at 2C to 8C for one month without detectable loss of activity. Antibody products are stable for twelve months from date of receipt when stored at -20C to -80C. Avoid repeated freeze-thaw cycles.

Scientific Data Images for ADAT3 Antibody - BSA Free

Western Blot: ADAT3 Antibody [NBP2-99169]

Western Blot: ADAT3 Antibody [NBP2-99169]

Western Blot: ADAT3 Antibody [NBP2-99169] - Anti-ADAT3 rabbit polyclonal antibody at 1:500 dilution. Lane A: 293T Whole Cell Lysate Lane B: Jurkat Whole Cell Lysate Lysates/proteins at 30 ug per lane. Secondary Goat Anti-Rabbit IgG (H+L)/HRP at 1/10000 dilution. Developed using the ECL technique. Performed under reducing conditions. Predicted band size: 38 kDa. Observed band size: 38 kDa
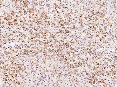
Immunohistochemistry-Paraffin: ADAT3 Antibody [NBP2-99169]

Immunohistochemistry-Paraffin: ADAT3 Antibody [NBP2-99169]

Immunohistochemistry-Paraffin: ADAT3 Antibody [NBP2-99169] - Immunochemical staining of human ADAT3 in human adrenal gland with rabbit polyclonal antibody at 1:1500 dilution, formalin-fixed paraffin embedded sections.

Applications for ADAT3 Antibody - BSA Free

Application
Recommended Usage

Immunohistochemistry-Paraffin

1:1000-1:5000

Western Blot

1:500-1:1000

Formulation, Preparation, and Storage

Purification

Antigen and protein A Affinity-purified

Formulation

PBS

Format

BSA Free

Preservative

0.03% Proclin 300

Concentration

Please see the vial label for concentration. If unlisted please contact technical services.

Shipping

The product is shipped with polar packs. Upon receipt, store it immediately at the temperature recommended below.

Stability & Storage

Store at 4C short term. Aliquot and store at -20C long term. Avoid freeze-thaw cycles.

Background: ADAT3

ADAT3 may be involved in deamination of adenosine-34 to inosine in many tRNAs as a regulatory subunit (Potential)

Alternate Names

adenosine deaminase, tRNA-specific 3, TAD3 homolog (S. cerevisiae), FWP005, MST121, MSTP121, S863-5, TAD3, tRNA-specific adenosine deaminase 3 homolog, tRNA-specific adenosine deaminase-like protein 3, tRNA-specific adenosine-34 deaminase subunit ADAT3

Gene Symbol

ADAT3

Additional ADAT3 Products

Product Documents for ADAT3 Antibody - BSA Free

Certificate of Analysis

To download a Certificate of Analysis, please enter a lot number in the search box below.

Product Specific Notices for ADAT3 Antibody - BSA Free

This product is for research use only and is not approved for use in humans or in clinical diagnosis. Primary Antibodies are guaranteed for 1 year from date of receipt.

Loading...
Loading...
Loading...
Loading...