Skip to main content

ADAMTSL2 Antibody (HL2616)

Novus Biologicals, part of Bio-Techne | Catalog # NBP3-48706

Recombinant Monoclonal Antibody
Novus Biologicals, part of Bio-Techne
Catalog #
Availability
Size / Price
Qty
Loading...
NBP3-48706

Key Product Details

Validated by

Orthogonal Validation

Species Reactivity

Human, Mouse, Rat

Applications

Immunohistochemistry, Immunohistochemistry-Paraffin, Western Blot

Label

Unconjugated

Antibody Source

Recombinant Monoclonal Rabbit IgG Clone # HL2616

Concentration

Concentrations vary lot to lot. See vial label for concentration. If unlisted please contact technical services.

Product Specifications

Immunogen

Recombinant fragment of human ADAMTSL2

Clonality

Monoclonal

Host

Rabbit

Isotype

IgG

Description

Novus Biologicals Rabbit ADAMTSL2 Antibody (HL2616) (NBP3-48706) is a recombinant monoclonal antibody validated for use in IHC and WB. All Novus Biologicals antibodies are covered by our 100% guarantee.

Scientific Data Images for ADAMTSL2 Antibody (HL2616)

ADAMTSL2 Antibody (HL2616)

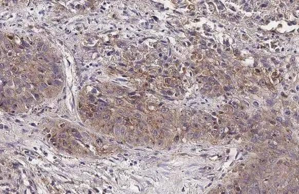
Immunohistochemistry-Paraffin: ADAMTSL2 Antibody (HL2616) [NBP3-48706] -

ADAMTSL2 antibody [HL2616] detects ADAMTSL2 protein by immunohistochemical analysis.
Sample: Paraffin-embedded rat tissues.
ADAMTSL2 stained by ADAMTSL2 antibody [HL2616] (NBP3-48706) diluted at 1:100.
Antigen Retrieval: Citrate buffer, pH 6.0, 15 min
ADAMTSL2 Antibody (HL2616)

Western Blot: ADAMTSL2 Antibody (HL2616) [NBP3-48706] -

C2C12 whole cell and differentiated (30 ug) were separated by 7.5% SDS-PAGE, and the membrane was blotted with ADAMTSL2 antibody [HL2616] (NBP3-48706) diluted at 1:1000. The HRP-conjugated anti-rabbit IgG antibody was used to detect the primary antibody, and the signal was developed with Trident ECL plus-Enhanced.
ADAMTSL2 Antibody (HL2616)

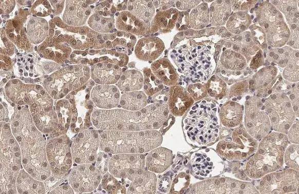
Immunohistochemistry-Paraffin: ADAMTSL2 Antibody (HL2616) [NBP3-48706] -

ADAMTSL2 antibody [HL2616] detects secreted ADAMTSL2 protein by immunohistochemical analysis.
Sample: Paraffin-embedded mouse kidney.
ADAMTSL2 stained by ADAMTSL2 antibody [HL2616] (NBP3-48706) diluted at 1:100.
Antigen Retrieval: Citrate buffer, pH 6.0, 15 min

Applications for ADAMTSL2 Antibody (HL2616)

Application
Recommended Usage

Western Blot

1:500-1:3000

Formulation, Preparation, and Storage

Purification

Protein A purified

Formulation

PBS

Preservative

No Preservative

Concentration

Concentrations vary lot to lot. See vial label for concentration. If unlisted please contact technical services.

Shipping

The product is shipped with polar packs. Upon receipt, store it immediately at the temperature recommended below.

Stability & Storage

Store at 4C short term. Aliquot and store at -20C long term. Avoid freeze-thaw cycles.

Background: ADAMTSL2

Members of the ADAMTS family contain pro, catalytic, disintegrin-like, cysteine-rich, spacer and a variable number of TS type 1 motifs. In contrast to membrane-anchored ADAMs, ADAMTSs are secreted and are all active proteases. They are essential for aggrecan turnover and procollagen processing, regulation of which is important in many physiological and pathological processes such as angiogenesis and arthritis.

Long Name

ADAMTS-like Protein 2

Alternate Names

ADAMTSL2 ADAMTS-like 2, GPHYSD1

Gene Symbol

ADAMTSL2

Additional ADAMTSL2 Products

Product Documents for ADAMTSL2 Antibody (HL2616)

Certificate of Analysis

To download a Certificate of Analysis, please enter a lot number in the search box below.

Product Specific Notices for ADAMTSL2 Antibody (HL2616)

This product is for research use only and is not approved for use in humans or in clinical diagnosis. Primary Antibodies are guaranteed for 1 year from date of receipt.

Loading...
Loading...
Loading...
Loading...