Skip to main content

ADAMTS14 Antibody [Unconjugated] - BSA Free

Novus Biologicals, part of Bio-Techne | Catalog # NBP3-26063

Novus Biologicals, part of Bio-Techne
Catalog #
Availability
Size / Price
Qty
Loading...
NBP3-26063

Key Product Details

Species Reactivity

Human, Mouse, Rat

Applications

Immunohistochemistry-Paraffin, Western Blot

Label

Unconjugated

Antibody Source

Polyclonal Rabbit IgG

Format

BSA Free

Concentration

Concentrations vary lot to lot. See vial label for concentration. If unlisted please contact technical services.

Product Specifications

Immunogen

A synthesized peptide derived from human ADAMTS14, corresponding to a region within C-terminal amino acids.

Clonality

Polyclonal

Host

Rabbit

Isotype

IgG

Description

Novus Biologicals Rabbit ADAMTS14 Antibody [Unconjugated] - BSA Free (NBP3-26063) is a polyclonal antibody validated for use in IHC and WB. All Novus Biologicals antibodies are covered by our 100% guarantee.

Scientific Data Images for ADAMTS14 Antibody [Unconjugated] - BSA Free

ADAMTS14 Antibody [Unconjugated]

Western Blot: Rabbit ADAMTS14 pAb [Unconjugated] [NBP3-26063] -

Western Blot: Rabbit ADAMTS14 pAb [Unconjugated] [NBP3-26063] - Analysis of ADAMTS14 in HUVEC cell lysate. Samples were incubated with ADAMTS14 polyclonal antibody.
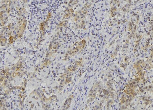
ADAMTS14 Antibody [Unconjugated]

Immunohistochemistry-Paraffin: Rabbit ADAMTS14 pAb [Unconjugated] [NBP3-26063] -

Immunohistochemistry-Paraffin: Rabbit ADAMTS14 pAb [Unconjugated] [NBP3-26063] - Analysis of paraffin-embedded ADAMTS14 in human lung cancer tissue. Antigen retrieval was performed using citrate buffer. Samples were blocked with blocking buffer (1.5 hr, 22C), incubated with ADAMTS14 polyclonal antibody using a dilution of 1:100 (1.5 hr, 22C), followed by HRP conjugated goat anti-rabbit.

Applications for ADAMTS14 Antibody [Unconjugated] - BSA Free

Application
Recommended Usage

Immunohistochemistry-Paraffin

1:200

Formulation, Preparation, and Storage

Purification

Affinity purified

Formulation

PBS, 50% Glycerol

Format

BSA Free

Preservative

0.02% Sodium Azide

Concentration

Concentrations vary lot to lot. See vial label for concentration. If unlisted please contact technical services.

Shipping

The product is shipped with polar packs. Upon receipt, store it immediately at the temperature recommended below.

Stability & Storage

Store at -20C. Avoid freeze-thaw cycles.

Background: ADAMTS14

The ADAMTS14 gene encodes a member of the ADAMTS (a disintegrin and metalloproteinase with thrombospondin motif) proteinfamily. Members of the family share several distinct protein modules, including a propeptide region, ametalloproteinase domain, a disintegrin-l

Alternate Names

ADAM metallopeptidase with thrombospondin type 1 motif, 14,14

Gene Symbol

ADAMTS14

Additional ADAMTS14 Products

Product Documents for ADAMTS14 Antibody [Unconjugated] - BSA Free

Certificate of Analysis

To download a Certificate of Analysis, please enter a lot number in the search box below.

Product Specific Notices for ADAMTS14 Antibody [Unconjugated] - BSA Free

This product is for research use only and is not approved for use in humans or in clinical diagnosis. Primary Antibodies are guaranteed for 1 year from date of receipt.

Loading...
Loading...
Loading...
Loading...