Activin RIIB Antibody (7B10) - BSA Free
Novus Biologicals, part of Bio-Techne | Catalog # NBP3-15231
Recombinant monoclonal antibody expressed in HEK293F cells
Key Product Details
Species Reactivity
Human
Applications
ELISA, Immunohistochemistry
Label
Unconjugated
Antibody Source
Recombinant Monoclonal Rabbit IgG Clone # 7B10 expressed in HEK293
Format
BSA Free
Concentration
Please see the vial label for concentration. If unlisted please contact technical services.
Product Specifications
Immunogen
A synthesized peptide derived from human Activin RIIB. UniProt ID (Q13705).
Clonality
Monoclonal
Host
Rabbit
Isotype
IgG
Description
Novus Biologicals Rabbit Activin RIIB Antibody (7B10) - BSA Free (NBP3-15231) is a recombinant monoclonal antibody validated for use in IHC and ELISA. All Novus Biologicals antibodies are covered by our 100% guarantee.
Scientific Data Images for Activin RIIB Antibody (7B10) - BSA Free
Immunohistochemistry: Activin RIIB Antibody (7B10) [NBP3-15231]
Immunohistochemistry: Activin RIIB Antibody (7B10) [NBP3-15231] - IHC image of Activin RIIB antibody diluted at 1:100 and staining in paraffin-embedded human breast cancer. After dewaxing and hydration, antigen retrieval was mediated by high pressure in a citrate buffer (pH 6.0). Section was blocked with 10% normal goat serum 30 minutes at RT. Then primary antibody (1% BSA) was incubated at 4C overnight. The primary is detected by a Goat anti-rabbit IgG polymer labeled by HRP and visualized using 0.05% DAB.Immunohistochemistry: Activin RIIB Antibody (7B10) [NBP3-15231]
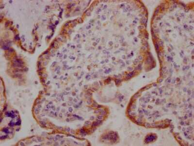
Immunohistochemistry: Activin RIIB Antibody (7B10) [NBP3-15231] - IHC image of Activin RIIB antibody diluted at 1:100 and staining in paraffin-embedded human placenta tissue. After dewaxing and hydration, antigen retrieval was mediated by high pressure in a citrate buffer (pH 6.0). Section was blocked with 10% normal goat serum 30 minutes at RT. Then primary antibody (1% BSA) was incubated at 4C overnight. The primary is detected by a Goat anti-rabbit IgG polymer labeled by HRP and visualized using 0.05% DAB.Applications for Activin RIIB Antibody (7B10) - BSA Free
Application
Recommended Usage
Immunohistochemistry
1:50-1:200
Formulation, Preparation, and Storage
Purification
Affinity purified
Formulation
PBS, pH 7.4, 150mM NaCl, and 50% glycerol
Format
BSA Free
Preservative
0.02% Sodium Azide
Concentration
Please see the vial label for concentration. If unlisted please contact technical services.
Shipping
The product is shipped with polar packs. Upon receipt, store it immediately at the temperature recommended below.
Stability & Storage
Store at -20 to -70C. Avoid freeze-thaw cycles.
Background: Activin RIIB
Long Name
Activin Receptor IIB
Alternate Names
ActivinRIIB, ACVR2B
Gene Symbol
ACVR2B
Additional Activin RIIB Products
Product Documents for Activin RIIB Antibody (7B10) - BSA Free
Product Specific Notices for Activin RIIB Antibody (7B10) - BSA Free
This product is for research use only and is not approved for use in humans or in clinical diagnosis. Primary Antibodies are guaranteed for 1 year from date of receipt.
Loading...
Loading...
Loading...
Loading...