Skip to main content

ACOX1 Antibody - Azide and BSA Free

Novus Biologicals, part of Bio-Techne | Catalog # NBP2-99761

Novus Biologicals, part of Bio-Techne
Catalog #
Availability
Size / Price
Qty
Loading...
NBP2-99761-100ul
NBP2-99761-50ul
Conjugate
Catalog #

Key Product Details

Species Reactivity

Human

Applications

Immunohistochemistry, Immunohistochemistry-Paraffin, ELISA

Label

Unconjugated

Antibody Source

Polyclonal Rabbit IgG

Format

Azide and BSA Free

Concentration

Please see the vial label for concentration. If unlisted please contact technical services.

Product Specifications

Immunogen

Produced in rabbits immunized with purified, recombinant Human ACOX1 (Accession#: AAH08767.1; Met1-Leu660).

Clonality

Polyclonal

Host

Rabbit

Isotype

IgG

Description

This antibody can be stored at 2C to 8C for one month without detectable loss of activity. Antibody products are stable for twelve months from date of receipt when stored at -20C to -80C. Avoid repeated freeze-thaw cycles.

Scientific Data Images for ACOX1 Antibody - Azide and BSA Free

Immunohistochemistry-Paraffin: ACOX1 Antibody [NBP2-99761]

Immunohistochemistry-Paraffin: ACOX1 Antibody [NBP2-99761]

Immunohistochemistry-Paraffin: ACOX1 Antibody [NBP2-99761] - Immunochemical staining of human ACOX1 in human kidney with rabbit polyclonal antibody (1:1000, formalin-fixed paraffin embedded sections). Positive staining was localized to proximal tubule.
Immunohistochemistry-Paraffin: ACOX1 Antibody [NBP2-99761]

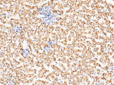
Immunohistochemistry-Paraffin: ACOX1 Antibody [NBP2-99761]

Immunohistochemistry-Paraffin: ACOX1 Antibody [NBP2-99761] - Immunochemical staining of human ACOX1 in human cirrhosis with rabbit polyclonal antibody (1:1000, formalin-fixed paraffin embedded sections). Positive staining was localized to hepatocyte.

Applications for ACOX1 Antibody - Azide and BSA Free

Application
Recommended Usage

ELISA

1:5000-1:10000

Immunohistochemistry-Paraffin

1:500-1:2000

Formulation, Preparation, and Storage

Purification

Antigen and protein A Affinity-purified

Formulation

0.2 um filtered solution in PBS

Format

Azide and BSA Free

Preservative

No Preservative

Concentration

Please see the vial label for concentration. If unlisted please contact technical services.

Shipping

The product is shipped with polar packs. Upon receipt, store it immediately at the temperature recommended below.

Stability & Storage

Store at 4C short term. Aliquot and store at -20C long term. Avoid freeze-thaw cycles.

Background: ACOX1

ACOX1 is encoded by this gene is the first enzyme of the fatty acid beta-oxidation pathway, which catalyzes the desaturation of acyl-CoAs to 2-trans-enoyl-CoAs. It donates electrons directly to molecular oxygen, thereby producing hydrogen peroxide. Defects in this gene result in pseudoneonatal adrenoleukodystrophy, a disease that is characterized by accumulation of very long chain fatty acids. Alternatively spliced transcript variants encoding different isoforms have been identified.

Alternate Names

ACOXEC 1.3.3.6, acyl-CoA oxidase 1, palmitoyl, acyl-CoA oxidase, straight-chain, acyl-Coenzyme A oxidase 1, palmitoyl, AOX, PALMCOX, Palmitoyl-CoA oxidase, peroxisomal acyl-coenzyme A oxidase 1, peroxisomal fatty acyl-CoA oxidase, SCOXMGC1198, Straight-chain acyl-CoA oxidase

Gene Symbol

ACOX1

Additional ACOX1 Products

Product Documents for ACOX1 Antibody - Azide and BSA Free

Certificate of Analysis

To download a Certificate of Analysis, please enter a lot number in the search box below.

Product Specific Notices for ACOX1 Antibody - Azide and BSA Free

This product is for research use only and is not approved for use in humans or in clinical diagnosis. Primary Antibodies are guaranteed for 1 year from date of receipt.

Loading...
Loading...
Loading...
Loading...