Skip to main content

ACOT7 Antibody - BSA Free

Novus Biologicals, part of Bio-Techne | Catalog # NBP3-48233

Novus Biologicals, part of Bio-Techne
Catalog #
Availability
Size / Price
Qty
Loading...
NBP3-48233

Key Product Details

Species Reactivity

Human, Mouse, Rat

Applications

Immunohistochemistry, Western Blot, ELISA

Label

Unconjugated

Antibody Source

Polyclonal Rabbit IgG

Format

BSA Free

Concentration

Please see the vial label for concentration. If unlisted please contact technical services.

Product Specifications

Immunogen

acyl-CoA thioesterase 7. (Uniprot# O00154)

Clonality

Polyclonal

Host

Rabbit

Isotype

IgG

Theoretical MW

40 kDa.
Disclaimer note: The observed molecular weight of the protein may vary from the listed predicted molecular weight due to post translational modifications, post translation cleavages, relative charges, and other experimental factors.

Description

Novus Biologicals Rabbit ACOT7 Antibody - BSA Free (NBP3-48233) is a polyclonal antibody validated for use in IHC, WB and ELISA. All Novus Biologicals antibodies are covered by our 100% guarantee.

Scientific Data Images for ACOT7 Antibody - BSA Free

ACOT7 Antibody - BSA Free

Western Blot: ACOT7 Antibody - BSA Free [NBP3-48233] -

Western Blot: ACOT7 Antibody - BSA Free [NBP3-48233] - Mouse brain tissue were subjected to SDS PAGE followed by western blot with (ACOT7 antibody) at dilution of 1:5000
ACOT7 Antibody - BSA Free

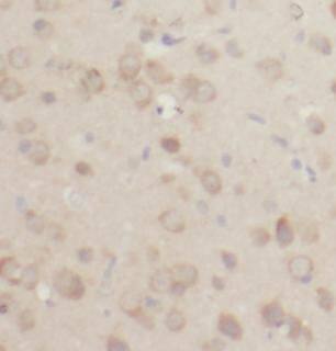
Immunohistochemistry: ACOT7 Antibody - BSA Free [NBP3-48233] -

Immunohistochemistry: ACOT7 Antibody - BSA Free [NBP3-48233] - Immunohistochemistry of paraffin-embedded human brain using (ACOT7 antibody) at dilution of 1:100

Applications for ACOT7 Antibody - BSA Free

Application
Recommended Usage

Immunohistochemistry

1:20-1:200

Western Blot

1:1000-1:5000

Formulation, Preparation, and Storage

Purification

Immunogen affinity purified

Formulation

PBS, 50% Glycerol, pH (7.3)

Format

BSA Free

Preservative

0.02% Sodium Azide

Concentration

Please see the vial label for concentration. If unlisted please contact technical services.

Shipping

The product is shipped with polar packs. Upon receipt, store it immediately at the temperature recommended below.

Stability & Storage

Store at -20C. Avoid freeze-thaw cycles.

Background: ACOT7

The ACOT7 gene encodes a member of the acyl coenzyme family. The encoded protein hydrolyzes the CoA thioester ofpalmitoyl-CoA and other long-chain fatty acids. Decreased expression of this gene may be associated with mesialtemporal lobe epilepsy. Alternatively

Alternate Names

ACH1, acyl-CoA thioesterase 7CTE-IIa, BACHEC 3.1.2.2, brain acyl CoA hydrolase, Brain acyl-CoA hydrolase, CTE-IILACH, cytosolic acyl coenzyme A thioester hydrolase, hBACH, long chain, Long chain acyl-CoA thioester hydrolase

Gene Symbol

ACOT7

Additional ACOT7 Products

Product Documents for ACOT7 Antibody - BSA Free

Certificate of Analysis

To download a Certificate of Analysis, please enter a lot number in the search box below.

Product Specific Notices for ACOT7 Antibody - BSA Free

This product is for research use only and is not approved for use in humans or in clinical diagnosis. Primary Antibodies are guaranteed for 1 year from date of receipt.

Loading...
Loading...
Loading...
Loading...