Skip to main content

Aconitase 1 Antibody - BSA Free

Novus Biologicals, part of Bio-Techne | Catalog # NBP1-87677

Novus Biologicals, part of Bio-Techne
Catalog #
Availability
Size / Price
Qty
Loading...
NBP1-87677-25ul
NBP1-87677

Key Product Details

Validated by

Orthogonal Validation

Species Reactivity

Validated:

Human, Mouse, Rat

Cited:

Human, Rat

Applications

Validated:

Immunohistochemistry, Immunohistochemistry-Paraffin, Western Blot, Immunocytochemistry/ Immunofluorescence

Cited:

Western Blot

Label

Unconjugated

Antibody Source

Polyclonal Rabbit IgG

Format

BSA Free

Concentration

Concentrations vary lot to lot. See vial label for concentration. If unlisted please contact technical services.

Product Specifications

Immunogen

This antibody was developed against Recombinant Protein corresponding to amino acids: YERIHRSNLVGMGVIPLEYLPGENADALGLTGQERYTIIIPENLKPQMKVQVKLDTGKTFQAVMRFDTDVELTYFLNGGILNYMIRKMAK

Clonality

Polyclonal

Host

Rabbit

Isotype

IgG

Description

Novus Biologicals Rabbit Aconitase 1 Antibody - BSA Free (NBP1-87677) is a polyclonal antibody validated for use in IHC, WB and ICC/IF. Anti-Aconitase 1 Antibody: Cited in 3 publications. All Novus Biologicals antibodies are covered by our 100% guarantee.

Scientific Data Images for Aconitase 1 Antibody - BSA Free

Aconitase 1 Antibody

Immunohistochemistry-Paraffin: Aconitase 1 Antibody [NBP1-87677] -

Immunohistochemistry-Paraffin: Aconitase 1 Antibody [NBP1-87677] -Analysis in human kidney and skeletal muscle tissues using NBP1-87677 antibody. Corresponding ACO1 RNA-seq data are presented for the same tissues.
Western Blot: Aconitase 1 Antibody [NBP1-87677]

Western Blot: Aconitase 1 Antibody [NBP1-87677]

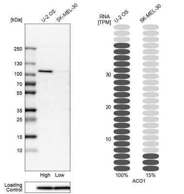
Western Blot: Aconitase 1 Antibody [NBP1-87677] - Analysis in human cell lines U2OS and SK-MEL-30. Corresponding RNA-seq data are presented for the same cell lines. Loading control: Anti-PPIB.
Western Blot: Aconitase 1 Antibody [NBP1-87677]

Western Blot: Aconitase 1 Antibody [NBP1-87677]

Aconitase-1-Antibody-Western-Blot-NBP1-87677-img0023.jpg

Applications for Aconitase 1 Antibody - BSA Free

Application
Recommended Usage

Immunocytochemistry/ Immunofluorescence

0.25 - 2 ug/mL

Immunohistochemistry

1:50 - 1:200

Immunohistochemistry-Paraffin

1:50 - 1:200

Western Blot

0.04 - 0.4 ug/mL
Application Notes
For IHC-Paraffin, HIER pH 6 retrieval is recommended. ICC/IF Fixation Permeabilization, Use PFA/Triton X-100.

Reviewed Applications

Read 2 reviews rated 2.5 using NBP1-87677 in the following applications:

Formulation, Preparation, and Storage

Purification

Immunogen affinity purified

Formulation

PBS (pH 7.2), 40% Glycerol

Format

BSA Free

Preservative

0.02% Sodium Azide

Concentration

Concentrations vary lot to lot. See vial label for concentration. If unlisted please contact technical services.

Shipping

The product is shipped with polar packs. Upon receipt, store it immediately at the temperature recommended below.

Stability & Storage

Store at 4C short term. Aliquot and store at -20C long term. Avoid freeze-thaw cycles.

Background: Aconitase 1

Aconitase 1, also known as iron regulatory element binding protein 1 (IREB1), is a cytosolic protein which binds to iron-responsive elements (IREs). IREs are stem-loop structures found in the 5' UTR of ferritin mRNA, and in the 3' UTR of transferrin receptor mRNA. The iron-induced binding to the IRE results in repression of translation of ferritin mRNA, and inhibition of degradation of the otherwise rapidly degrading transferrin receptor mRNA. Thus, IREB1 plays a central role in cellular iron homeostasis. It was also shown to have aconitase activity, and hence grouped with the aconitase family of enzymes.

Alternate Names

Aconitase, aconitase 1, soluble, aconitate hydratase, Citrate hydro-lyase, cytoplasmic aconitate hydratase, EC 4.2.1, EC 4.2.1.3, Ferritin repressor protein, IREB1IREBP1, IREBP, IRE-BP 1, Iron regulatory protein 1, iron-responsive element binding protein 1, Iron-responsive element-binding protein 1, IRP1ACONS

Gene Symbol

ACO1

Additional Aconitase 1 Products

Product Documents for Aconitase 1 Antibody - BSA Free

Certificate of Analysis

To download a Certificate of Analysis, please enter a lot number in the search box below.

Product Specific Notices for Aconitase 1 Antibody - BSA Free

This product is for research use only and is not approved for use in humans or in clinical diagnosis. Primary Antibodies are guaranteed for 1 year from date of receipt.

Loading...
Loading...
Loading...
Loading...