Skip to main content

Abraxas Antibody - BSA Free

Novus Biologicals, part of Bio-Techne | Catalog # NBP1-22978

Novus Biologicals, part of Bio-Techne

Key Product Details

Species Reactivity

Human

Applications

Immunohistochemistry, Immunohistochemistry-Paraffin, Immunoprecipitation, Western Blot (Negative)

Label

Unconjugated

Antibody Source

Polyclonal Rabbit IgG

Format

BSA Free

Concentration

1.0 mg/ml

Product Specifications

Immunogen

The immunogen recognized by this antibody maps to a region between residue 400 and 409 of human Abraxas (coiled-coil domain containing 98) using the numbering given in entry NP_620775.2 (GeneID 84142).

Clonality

Polyclonal

Host

Rabbit

Isotype

IgG

Theoretical MW

47 kDa.
Disclaimer note: The observed molecular weight of the protein may vary from the listed predicted molecular weight due to post translational modifications, post translation cleavages, relative charges, and other experimental factors.

Description

Novus Biologicals Rabbit Abraxas Antibody - BSA Free (NBP1-22978) is a polyclonal antibody validated for use in IHC and IP. All Novus Biologicals antibodies are covered by our 100% guarantee.

Scientific Data Images for Abraxas Antibody - BSA Free

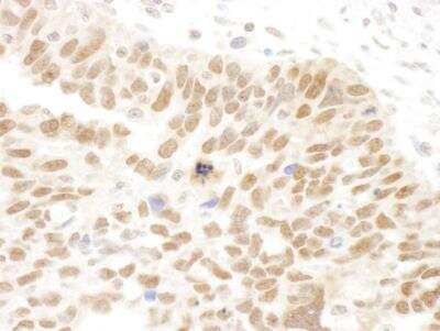
Immunohistochemistry: Abraxas Antibody [NBP1-22978]

Immunohistochemistry: Abraxas Antibody [NBP1-22978]

Immunohistochemistry: Abraxas Antibody [NBP1-22978] - Sample: FFPE section of human ovarian carcinoma. Antibody: Affinity purified rabbit anti-Abraxas used at a dilution of 1:1,000 ( 1ug/ml). Detection: DAB staining using Immunohistochemistry Accessory Kit .
Immunohistochemistry: Abraxas Antibody [NBP1-22978]

Immunohistochemistry: Abraxas Antibody [NBP1-22978]

Immunohistochemistry: Abraxas Antibody [NBP1-22978] - Sample: FFPE section of human ovarian carcinoma. Antibody used at a dilution of 1:250. Detection: DAB staining using Immunohistochemistry Accessory Kit
Immunoprecipitation: Abraxas Antibody [NBP1-22978]

Immunoprecipitation: Abraxas Antibody [NBP1-22978]

Immunoprecipitation: Abraxas Antibody [NBP1-22978] - Whole cell lysate from HeLa cells. Affinity purified rabbit anti-Abraxas antibody used for IP at 10 mcg/mg lysate. Antibody was also immunoprecipitated by rabbit anti-Abraxas antibody NBP1-22977.

Applications for Abraxas Antibody - BSA Free

Application
Recommended Usage

Immunohistochemistry

1:10-1:500

Immunohistochemistry-Paraffin

1:10-1:500

Immunoprecipitation

5-15 ug/mg lysate
Application Notes
It is not recommended for western analysis.

Formulation, Preparation, and Storage

Purification

Immunogen affinity purified

Formulation

Tris-Citrate/Phosphate (pH 7.0 - 8.0)

Format

BSA Free

Preservative

0.09% Sodium Azide

Concentration

1.0 mg/ml

Shipping

The product is shipped with polar packs. Upon receipt, store it immediately at the temperature recommended below.

Stability & Storage

Store at 4C. Do not freeze.

Background: Abraxas

Abraxas was identified in a phosphopeptide affinity proteomic and mass spec analysis as a protein that bound directly to the BRCA1 BRCT repeat. Along with RAP80, Abraxas was required to form a complex with BRCA1 for the DNA damage response.

Alternate Names

ABRA1, BRCA1-A complex subunit Abraxas, CCDC98, family with sequence similarity 175, member A

Entrez Gene IDs

84142 (Human)

Gene Symbol

ABRAXAS1

UniProt

Additional Abraxas Products

Product Documents for Abraxas Antibody - BSA Free

Certificate of Analysis

To download a Certificate of Analysis, please enter a lot number in the search box below.

Product Specific Notices for Abraxas Antibody - BSA Free

This product is for research use only and is not approved for use in humans or in clinical diagnosis. Primary Antibodies are guaranteed for 1 year from date of receipt.

Loading...
Loading...
Loading...
Loading...