Skip to main content

ABCF2 Antibody (1D11) - Azide and BSA Free

Novus Biologicals, part of Bio-Techne | Catalog # H00010061-M01

Novus Biologicals, part of Bio-Techne
Catalog #
Availability
Size / Price
Qty
Loading...
H00010061-M01

Key Product Details

Species Reactivity

Human

Applications

Immunohistochemistry, Immunohistochemistry-Paraffin, Western Blot, ELISA, Sandwich ELISA, Immunoprecipitation, Knockdown Validated

Label

Unconjugated

Antibody Source

Monoclonal Mouse IgG2a Kappa Clone # 1D11

Format

Azide and BSA Free

Concentration

Concentrations vary lot to lot. See vial label for concentration. If unlisted please contact technical services.

Product Specifications

Immunogen

ABCF2 (AAH01661, 1 a.a. ~ 110 a.a) partial recombinant protein with GST tag. MW of the GST tag alone is 26 KDa. MPSDLAKKKAAKKKEAAKARQRPRKGHEENGDVVTEPQVAEKNEANGRETTEVDLLTKELEDFEMKKAAARAVTGVLASHPNSTDVHIINLSLTFHGQELLSDTKLELNS

Reactivity Notes

Human. Other species not tested.

Specificity

ABCF2 - ATP-binding cassette, sub-family F (GCN20), member 2

Clonality

Monoclonal

Host

Mouse

Isotype

IgG2a Kappa

Scientific Data Images for ABCF2 Antibody (1D11) - Azide and BSA Free

Western Blot: ABCF2 Antibody (1D11) [H00010061-M01]

Western Blot: ABCF2 Antibody (1D11) [H00010061-M01]

Western Blot: ABCF2 Antibody (1D11) [H00010061-M01] - ABCF2 monoclonal antibody (M01), clone 1D11 Analysis of ABCF2 expression in Hela.
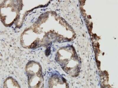
Immunohistochemistry-Paraffin: ABCF2 Antibody (1D11) [H00010061-M01]

Immunohistochemistry-Paraffin: ABCF2 Antibody (1D11) [H00010061-M01]

Immunohistochemistry-Paraffin: ABCF2 Antibody (1D11) [H00010061-M01] - Analysis of monoclonal antibody to ABCF2 on formalin-fixed paraffin-embedded human prostate. Antibody concentration 3 ug/ml.
Western Blot: ABCF2 Antibody (1D11) [H00010061-M01]

Western Blot: ABCF2 Antibody (1D11) [H00010061-M01]

Western Blot: ABCF2 Antibody (1D11) [H00010061-M01] - Analysis of ABCF2 over-expressed 293 cell line, cotransfected with ABCF2 Validated Chimera RNAi ( Cat # H00010061-R01V ) (Lane 2) or non-transfected control (Lane 1). Blot probed with ABCF2 monoclonal antibody (M01), clone 1D11 (Cat # H00010061-M01 ). GAPDH ( 36.1 kDa ) used as specificity and loading control.

Applications for ABCF2 Antibody (1D11) - Azide and BSA Free

Application
Recommended Usage

Western Blot

1:500
Application Notes
Antibody reactive against cell lysate and recombinant protein for Western Blot. Has also been used for RNAi validation, immunohistochemistry (paraffin) and ELISA.

Formulation, Preparation, and Storage

Purification

IgG purified

Formulation

In 1x PBS, pH 7.4

Format

Azide and BSA Free

Preservative

No Preservative

Concentration

Concentrations vary lot to lot. See vial label for concentration. If unlisted please contact technical services.

Shipping

The product is shipped with polar packs. Upon receipt, store it immediately at the temperature recommended below.

Stability & Storage

Aliquot and store at -20C or -80C. Avoid freeze-thaw cycles.

Background: ABCF2

The protein encoded by this gene is a member of the superfamily of ATP-binding cassette (ABC) transporters. ABC proteins transport various molecules across extra- and intracellular membranes. ABC genes are divided into seven distinct subfamilies (ABC1, MDR/TAP, MRP, ALD, OABP, GCN20, and White). This protein is a member of the GCN20 subfamily. Alternative splicing of this gene results in multiple transcript variants.

Alternate Names

ABC28, ABC-type transport protein, ATP-binding cassette sub-family F member 2, ATP-binding cassette, sub-family F (GCN20), member 2, DKFZp586K1823, EC 3.6.3, EC 3.6.3.17, EST133090, HUSSY18, HUSSY-18, Iron inhibited ABC transporter 2, Iron-inhibited ABC transporter 2, M-ABC1

Entrez Gene IDs

10061 (Human)

Gene Symbol

ABCF2

Additional ABCF2 Products

Product Documents for ABCF2 Antibody (1D11) - Azide and BSA Free

Certificate of Analysis

To download a Certificate of Analysis, please enter a lot number in the search box below.

Product Specific Notices for ABCF2 Antibody (1D11) - Azide and BSA Free

This product is produced by and distributed for Abnova, a company based in Taiwan.

This product is for research use only and is not approved for use in humans or in clinical diagnosis. Primary Antibodies are guaranteed for 1 year from date of receipt.

Loading...
Loading...
Loading...
Loading...