Skip to main content

ABCC10 Antibody - BSA Free

Novus Biologicals, part of Bio-Techne | Catalog # NBP3-42023

Novus Biologicals, part of Bio-Techne
Catalog #
Availability
Size / Price
Qty
Loading...
NBP3-42023

Key Product Details

Species Reactivity

Human

Applications

Immunohistochemistry, Immunohistochemistry-Paraffin, Western Blot

Label

Unconjugated

Antibody Source

Polyclonal Rabbit

Format

BSA Free

Concentration

0.5 mg/ml

Product Specifications

Immunogen

Immunized with recombinant Human ABCC10 (Uniprot#: Q5T3U5; Val1246-Pro1492 (Uniprot#: Q5T3U5)

Clonality

Polyclonal

Host

Rabbit

Description

Novus Biologicals Rabbit ABCC10 Antibody - BSA Free (NBP3-42023) is a polyclonal antibody validated for use in IHC and WB. All Novus Biologicals antibodies are covered by our 100% guarantee.

Scientific Data Images for ABCC10 Antibody - BSA Free

ABCC10 Antibody

Immunohistochemistry-Paraffin: ABCC10 Antibody [NBP3-42023] -

Immunohistochemistry-Paraffin: ABCC10 Antibody [NBP3-42023] - DAB staining on IHC-P; Samples: Human Prostate Tissue; Primary Ab: 10ug/ml NBP3-42023; Second Ab: 2ug/mL HRP-Linked Caprine Anti-Rabbit IgG Polyclonal Antibody
ABCC10 Antibody

Western Blot: ABCC10 Antibody [NBP3-42023] -

Western Blot: ABCC10 Antibody [NBP3-42023] - Sample: Recombinant protein.
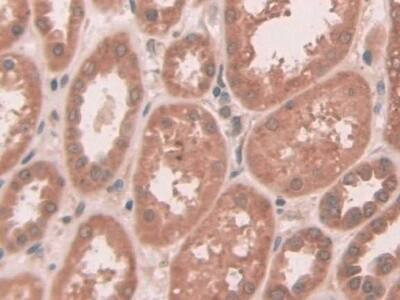
ABCC10 Antibody

Immunohistochemistry-Paraffin: ABCC10 Antibody [NBP3-42023] -

Immunohistochemistry-Paraffin: ABCC10 Antibody [NBP3-42023] - DAB staining on IHC-P; Samples: Human Kidney Tissue; Primary Ab: 10ug/ml NBP3-42023; Second Ab: 2ug/mL HRP-Linked Caprine Anti-Rabbit IgG Polyclonal Antibody

Applications for ABCC10 Antibody - BSA Free

Application
Recommended Usage

Immunohistochemistry

5-20ug/mL

Immunohistochemistry-Paraffin

5-20ug/mL

Western Blot

0.5-2ug/mL

Formulation, Preparation, and Storage

Purification

Antigen and protein A Affinity-purified

Formulation

0.01M PBS, pH7.4, 50% glycerol

Format

BSA Free

Preservative

0.05% Proclin 300

Concentration

0.5 mg/ml

Shipping

The product is shipped with polar packs. Upon receipt, store it immediately at the temperature recommended below.

Stability & Storage

Store at 4C short term. Aliquot and store at -20C long term. Avoid freeze-thaw cycles.

Background: ABCC10

ABCC10 is encoded by this gene is a member of the superfamily of ATP-binding cassette (ABC) transporters. ABC proteins transport various molecules across extra- and intra-cellular membranes. ABC genes are divided into seven distinct subfamilies (ABC1, MDR/TAP, MRP, ALD, OABP, GCN20, and White). This ABC full-transporter is a member of the MRP subfamily which is involved in multi-drug resistance. Alternative splicing of this gene results in multiple transcript variants; however, not all variants have been fully described. [provided by RefSeq]

Alternate Names

ATP-binding cassette sub-family C member 10, ATP-binding cassette, sub-family C (CFTR/MRP), member 10, MRP7SIMRP7EST182763, multidrug resistance-associated protein 7

Gene Symbol

ABCC10

Additional ABCC10 Products

Product Documents for ABCC10 Antibody - BSA Free

Certificate of Analysis

To download a Certificate of Analysis, please enter a lot number in the search box below.

Product Specific Notices for ABCC10 Antibody - BSA Free

This product is for research use only and is not approved for use in humans or in clinical diagnosis. Primary Antibodies are guaranteed for 1 year from date of receipt.

Loading...
Loading...
Loading...
Loading...