Skip to main content

ABCB11 Antibody (BSEP/7534) - Azide and BSA Free

Novus Biologicals, part of Bio-Techne | Catalog # NBP3-27037

Novus Biologicals, part of Bio-Techne
Catalog #
Availability
Size / Price
Qty
Loading...
NBP3-27037
Conjugate
Catalog #

Key Product Details

Species Reactivity

Human

Applications

Immunohistochemistry-Paraffin, Western Blot

Label

Unconjugated

Antibody Source

Monoclonal Mouse IgG Clone # BSEP/7534

Format

Azide and BSA Free

Concentration

1 mg/ml

Product Specifications

Immunogen

Recombinant fragment (around aa600-800) of human ABCB11 protein (exact sequence is proprietary)

Localization

Membrane

Clonality

Monoclonal

Host

Mouse

Isotype

IgG

Description

Antibody without azide - store at -20 to -80C. Non-hazardous. No MSDS required.

Scientific Data Images for ABCB11 Antibody (BSEP/7534) - Azide and BSA Free

ABCB11 Antibody (BSEP/7534)

Western Blot: ABCB11 Antibody (BSEP/7534) - Azide and BSA Free [NBP3-27037] -

Western blot analysis of THP-1 cell lysate using ABCB11 Antibody (BSEP/7534) - Azide and BSA Free.
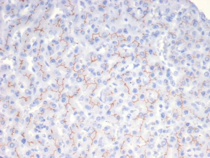
ABCB11 Antibody (BSEP/7534)

Immunohistochemistry-Paraffin: ABCB11 Antibody (BSEP/7534) - Azide and BSA Free [NBP3-27037] -

Formalin-fixed, paraffin-embedded human liver stained with ABCB11 Antibody (BSEP/7534) - Azide and BSA Free. HIER: Tris/EDTA, pH9.0, 45min. 2°C: HRP-polymer, 30min. DAB, 5min.

Applications for ABCB11 Antibody (BSEP/7534) - Azide and BSA Free

Application
Recommended Usage

Immunohistochemistry-Paraffin

1-2ug/ml for 30 minutes at RT

Western Blot

1-2ug/ml
Application Notes
Immunohistochemistry-Paraffin 1-2ug/ml for 30 minutes at RT. Optimal dilution for a specific application should be determined.. Staining of formalin-fixed tissues requires heating tissue sections in 10mM Tris with 1mM EDTA, pH 9.0, for 45 min at 95C followed by cooling at RT for 20 minutes

Formulation, Preparation, and Storage

Purification

Protein A or G purified

Formulation

10mM PBS

Format

Azide and BSA Free

Preservative

No Preservative

Concentration

1 mg/ml

Shipping

The product is shipped with polar packs. Upon receipt, store it immediately at the temperature recommended below.

Stability & Storage

Store at -20 to -80C. Avoid freeze-thaw cycles.

Background: ABCB11

The membrane-associated protein encoded by this gene is a member of the superfamily of ATP-binding cassette (ABC) transporters. ABC proteins transport various molecules across extra- and intra-cellular membranes. ABC genes are divided into seven distinct subfamilies (ABC1, MDR/TAP, MRP, ALD, OABP, GCN20, White). This protein is a member of the MDR/TAP subfamily. Members of the MDR/TAP subfamily are involved in multidrug resistance. The protein encoded by this gene is the major canalicular bile salt export pump in man. Mutations in this gene cause a form of progressive familial intrahepatic cholestases which are a group of inherited disorders with severe cholestatic liver disease from early infancy. (provided by RefSeq)

Alternate Names

ABC member 16, MDR/TAP subfamily, ABC16, ATP-binding cassette sub-family B member 11, ATP-binding cassette, sub-family B (MDR/TAP), member 11, bile salt export pump, BSEP, BSEPPFIC2, EC 3.6.3, EC 3.6.3.44, PFIC-2, PGY4, progressive familial intrahepatic cholestasis 2, sister p-glycoprotein, SPGPBRIC2

Gene Symbol

ABCB11

Additional ABCB11 Products

Product Documents for ABCB11 Antibody (BSEP/7534) - Azide and BSA Free

Certificate of Analysis

To download a Certificate of Analysis, please enter a lot number in the search box below.

Product Specific Notices for ABCB11 Antibody (BSEP/7534) - Azide and BSA Free

This product is for research use only and is not approved for use in humans or in clinical diagnosis. Primary Antibodies are guaranteed for 1 year from date of receipt.

Loading...
Loading...
Loading...
Loading...