Skip to main content

A2BP1 Antibody (OTI4F9)

Novus Biologicals, part of Bio-Techne | Catalog # NBP2-45532

Novus Biologicals, part of Bio-Techne
Catalog #
Availability
Size / Price
Qty
Loading...
NBP2-45532

Key Product Details

Species Reactivity

Human, Mouse, Rat

Applications

Immunohistochemistry, Immunohistochemistry-Paraffin, Western Blot

Label

Unconjugated

Antibody Source

Monoclonal Mouse IgG1 Clone # OTI4F9

Concentration

1 mg/ml

Product Specifications

Immunogen

Human recombinant protein fragment corresponding to amino acids 1-210 of human RBFOX1 (NP_061193) produced in E.coli.

Reactivity Notes

Please note that this antibody is reactive to Mouse and derived from the same host, Mouse. Mouse-On-Mouse blocking reagent may be needed for IHC and ICC experiments to reduce high background signal. You can find these reagents under catalog numbers PK-2200-NB and MP-2400-NB. Please contact Technical Support if you have any questions.

Clonality

Monoclonal

Host

Mouse

Isotype

IgG1

Description

Novus Biologicals Mouse A2BP1 Antibody (OTI4F9) (NBP2-45532) is a monoclonal antibody validated for use in IHC and WB. All Novus Biologicals antibodies are covered by our 100% guarantee.

Scientific Data Images for A2BP1 Antibody (OTI4F9)

Western Blot: A2BP1 Antibody (OTI4F9) [NBP2-45532]

Western Blot: A2BP1 Antibody (OTI4F9) [NBP2-45532]

Western Blot: A2BP1 Antibody (4F9) [NBP2-45532] - Analysis of HEK293T cells were transfected with the pCMV6-ENTRY control (Left lane) or pCMV6-ENTRY A2BP1.
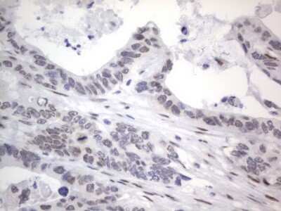
Immunohistochemistry: A2BP1 Antibody (OTI4F9) [NBP2-45532]

Immunohistochemistry: A2BP1 Antibody (OTI4F9) [NBP2-45532]

Immunohistochemistry: A2BP1 Antibody (4F9) [NBP2-45532] - Analysis of Human tonsil tissue. (Heat-induced epitope retrieval by 1 mM EDTA in 10mM Tris, pH8.5, 120C for 3min)
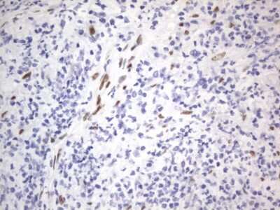
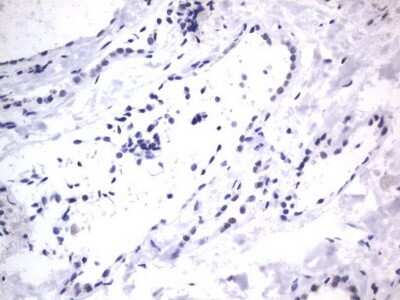
Immunohistochemistry: A2BP1 Antibody (OTI4F9) [NBP2-45532]

Immunohistochemistry: A2BP1 Antibody (OTI4F9) [NBP2-45532]

Immunohistochemistry: A2BP1 Antibody (4F9) [NBP2-45532] - Analysis of Adenocarcinoma of Human breast tissue. (Heat-induced epitope retrieval by 1 mM EDTA in 10mM Tris, pH8.5, 120C for 3min)

Applications for A2BP1 Antibody (OTI4F9)

Application
Recommended Usage

Immunohistochemistry

1:150

Western Blot

1:2000

Formulation, Preparation, and Storage

Purification

Immunogen affinity purified

Formulation

PBS (pH 7.3), 1.0% BSA and 50% Glycerol

Preservative

0.02% Sodium Azide

Concentration

1 mg/ml

Shipping

The product is shipped with polar packs. Upon receipt, store it immediately at the temperature recommended below.

Stability & Storage

Store at -20C. Avoid freeze-thaw cycles.

Background: A2BP1

Ataxin-2 binding protein 1 has an RNP motif that is highly conserved among RNA-binding proteins. This protein binds to the C-terminus of ataxin-2 and may contribute to the restricted pathology of spinocerebellar ataxia type 2 (SCA2). Ataxin-2 is the gene product of the SCA2 gene which causes familial neurodegenerative diseases. Ataxin-2 binding protein 1 and ataxin-2 are both localized in the trans-Golgi network. Several alternatively spliced transcript variants encoding different isoforms have been found for this gene. Additional transcript variants have been found but their full length nature has not been determined. (provided by RefSeq)

Alternate Names

2BP1, A2BP, A2BP1 Hexaribonucleotide-binding protein 1, Ataxin-2-binding protein 1, FOX-1, FOX1 hexaribonucleotide binding protein 1, Fox-1 homolog A, HRNBP1 ataxin 2-binding protein 1, RNA binding protein fox-1 homolog 1, RNA binding protein, fox-1 homolog (C. elegans) 1

Gene Symbol

RBFOX1

Additional A2BP1 Products

Product Documents for A2BP1 Antibody (OTI4F9)

Certificate of Analysis

To download a Certificate of Analysis, please enter a lot number in the search box below.

Product Specific Notices for A2BP1 Antibody (OTI4F9)

This product is for research use only and is not approved for use in humans or in clinical diagnosis. Primary Antibodies are guaranteed for 1 year from date of receipt.

Loading...
Loading...
Loading...
Loading...