Skip to main content

A20/TNFAIP3 Antibody - BSA Free

Novus Biologicals, part of Bio-Techne | Catalog # NBP1-77024

Novus Biologicals, part of Bio-Techne

Key Product Details

Species Reactivity

Validated:

Human, Mouse, Rat

Cited:

Rat

Applications

Validated:

Immunohistochemistry, Immunohistochemistry-Paraffin, Western Blot, ELISA, Immunocytochemistry/ Immunofluorescence

Cited:

Western Blot

Label

Unconjugated

Antibody Source

Polyclonal Rabbit IgG

Format

BSA Free

Concentration

1 mg/ml

Product Specifications

Immunogen

Antibody was raised against a 17 amino acid synthetic peptide near the center of human A20/TNFAIP3 . The immunogen is located within amino acids 340 - 390 of A20/TNFAIP3 Antibody. Amino Acid Squence: VQHEYKKWQENSDQARR

Clonality

Polyclonal

Host

Rabbit

Isotype

IgG

Theoretical MW

95 kDa.
Disclaimer note: The observed molecular weight of the protein may vary from the listed predicted molecular weight due to post translational modifications, post translation cleavages, relative charges, and other experimental factors.

Description

Novus Biologicals Rabbit A20/TNFAIP3 Antibody - BSA Free (NBP1-77024) is a polyclonal antibody validated for use in IHC, WB, ELISA and ICC/IF. Anti-A20/TNFAIP3 Antibody: Cited in 1 publication. All Novus Biologicals antibodies are covered by our 100% guarantee.

Scientific Data Images for A20/TNFAIP3 Antibody - BSA Free

Western Blot: A20/TNFAIP3 AntibodyBSA Free [NBP1-77024]

Western Blot: A20/TNFAIP3 AntibodyBSA Free [NBP1-77024]

Western Blot: A20/TNFAIP3 Antibody [NBP1-77024] - Analysis of TNFAIP3 in Jurkat cell lysate with TNFAIP3 antibody at (A) 1 and (B) 2 ug/mL.
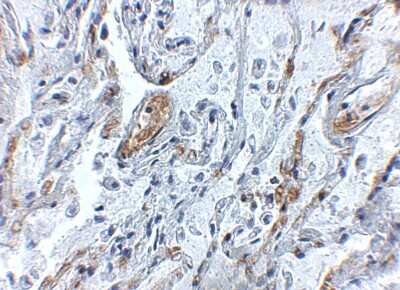
Immunohistochemistry-Paraffin: A20/TNFAIP3 Antibody - BSA Free [NBP1-77024]

Immunohistochemistry-Paraffin: A20/TNFAIP3 Antibody - BSA Free [NBP1-77024]

Immunohistochemistry-Paraffin: A20/TNFAIP3 Antibody [NBP1-77024] - Human lung tissue with TNFAIP3 antibody at 5 ug/ml.
A20/TNFAIP3 Antibody - BSA Free

Immunocytochemistry/ Immunofluorescence: A20/TNFAIP3 Antibody - BSA Free [NBP1-77024] -

Immunocytochemistry/ Immunofluorescence: A20/TNFAIP3 Antibody - BSA Free [NBP1-77024] - Immunofluorescence of A20/TNFAIP3 in Human Lung cells with A20/TNFAIP3 antibody at 20 ug/mL.

Applications for A20/TNFAIP3 Antibody - BSA Free

Application
Recommended Usage

ELISA

1:100-1:2000

Immunocytochemistry/ Immunofluorescence

20 ug/mL

Immunohistochemistry

5 ug/ml

Immunohistochemistry-Paraffin

5 ug/ml

Western Blot

1-2 ug/ml

Formulation, Preparation, and Storage

Purification

Peptide affinity purified

Formulation

PBS

Format

BSA Free

Preservative

0.02% Sodium Azide

Concentration

1 mg/ml

Shipping

The product is shipped with polar packs. Upon receipt, store it immediately at the temperature recommended below.

Stability & Storage

Store at 4C short term. Aliquot and store at -20C long term. Avoid freeze-thaw cycles.

Background: A20/TNFAIP3

A20, TNFalpha-induced protein 3, TNFAIP3 (theoretical molecular weight 95 kDa) is an important regulator of pro-inflammatory signaling pathways such as NF-kB activation and tumor necrosis factor (TNF)-mediated programmed cell death (1, 2). In macrophages, A20/TNFAIP3 controls the release of IL-1 beta/IL-18 by regulating NLRP3 inflammasome activity and CXCL9/CXCL10 production via STAT1 signaling. By regulating the expression of inflammatory molecules such as IL-6 and anti-apoptotic proteins in dendritic cells, A20/TNFAIP3 maintains T-cell and B-cell homeostasis.

A20/TNFAIP3 is a highly conserved protein sharing >90% amino acid sequence identity across various mammalian species and is highly expressed in T-cell and B-cells. Coding and non-coding single nucleotide polymorphisms (SNPs) of A20/TNFAIP3 have been associated with multiple autoinflammatory and autoimmune diseases including type 1 diabetes, rheumatoid arthritis, Crohn's disease, and systemic lupus erythematosus (SLE) (3). The two domains of A20/TNFAIP3 cooperate to regulate NF-kB signaling. Its N-terminal ovarian tumor (OTU) domain contains a catalytic cysteine (C103) which functions as a K63 deubiquitinase, whereas the 7 zinc fingers that make up the C-terminal domain mediate K48 polyubiquitination. To regulate NF-kB signaling, A20/TNFAIP3 removes K63-polyubiquitin chains from receptor-interacting protein 1 (RIP1) and NF-kB essential modulator (NEMO), thus preventing interactions with downstream partners. A20/TNFAIP3 also contributes to the degradation of RIP1 and Ubc13 through the addition of K48 polyubiquitin chains (4).

References

1.Dixit VM1, Green S, Sarma V, Holzman LB, Wolf FW, O'Rourke K, Ward PA, Prochownik EV, Marks RM. (1990) Tumor necrosis factor-alpha induction of novel gene products in human endothelial cells including a macrophage-specific chemotaxin. J Biol Chem. 265(5):2973-8. PMID: 2406243

2.Verstrepen L, Verhelst K, van Loo G, Carpentier I, Ley SC, Beyaert R. (2010) Expression, biological activities and mechanisms of action of A20 (TNFAIP3). Biochem Pharmacol. 80(12):2009-20. PMID: 20599425

3.Mele A, Cervantes JR, Chien V, Friedman D, Ferran C. (2014) Single nucleotide polymorphisms at the TNFAIP3/A20 locus and susceptibility/resistance to inflammatory and autoimmune diseases. Adv Exp Med Biol. 809:163-83. PMID: 25302371

4.Das T, Chen Z, Hendriks RW, Kool M. (2018) A20/Tumor Necrosis Factor alpha-Induced Protein 3 in Immune Cells Controls Development of Autoinflammation and Autoimmunity: Lessons from Mouse Models. Front Immunol. 9:104. PMID: 29515565

Alternate Names

OTUD7C, TNFA1P2, TNFAIP3

Gene Symbol

TNFAIP3

UniProt

Additional A20/TNFAIP3 Products

Product Documents for A20/TNFAIP3 Antibody - BSA Free

Certificate of Analysis

To download a Certificate of Analysis, please enter a lot number in the search box below.

Product Specific Notices for A20/TNFAIP3 Antibody - BSA Free

This product is for research use only and is not approved for use in humans or in clinical diagnosis. Primary Antibodies are guaranteed for 1 year from date of receipt.

Loading...
Loading...
Loading...
Loading...
Loading...