Skip to main content

A20/TNFAIP3 Antibody (SN07-31)

Novus Biologicals, part of Bio-Techne | Catalog # NBP2-67676

Recombinant Monoclonal Antibody.
Novus Biologicals, part of Bio-Techne
Catalog #
Availability
Size / Price
Qty
Loading...
NBP2-67676

Key Product Details

Species Reactivity

Human

Applications

Flow Cytometry, Immunocytochemistry/ Immunofluorescence, Immunohistochemistry, Immunohistochemistry-Paraffin, Western Blot

Label

Unconjugated

Antibody Source

Recombinant Monoclonal Rabbit IgG Clone # SN07-31 expressed in HEK293

Concentration

1 mg/ml

Product Specifications

Immunogen

Synthetic peptide within Human A20/TNFAIP3 aa 491-540 / 790. (SwissProt: P21580 Human)

Localization

Cytoplasm, Nucleus, Lysosome.

Clonality

Monoclonal

Host

Rabbit

Isotype

IgG

Theoretical MW

90 kDa.
Disclaimer note: The observed molecular weight of the protein may vary from the listed predicted molecular weight due to post translational modifications, post translation cleavages, relative charges, and other experimental factors.

Description

Novus Biologicals Rabbit A20/TNFAIP3 Antibody (SN07-31) (NBP2-67676) is a recombinant monoclonal antibody validated for use in IHC, WB, Flow and ICC/IF. All Novus Biologicals antibodies are covered by our 100% guarantee.

Scientific Data Images for A20/TNFAIP3 Antibody (SN07-31)

Western Blot: A20/TNFAIP3 Antibody (SN07-31) [NBP2-67676]

Western Blot: A20/TNFAIP3 Antibody (SN07-31) [NBP2-67676]

Western Blot: A20/TNFAIP3 Antibody (SN07-31) [NBP2-67676] - Western blot analysis of A20/TNFAIP3 on Jurkat cell lysates. Proteins were transferred to a PVDF membrane and blocked with 5% BSA in PBS for 1 hour at room temperature. The primary antibody (1/500) was used in 5% BSA at room temperature for 2 hours. Goat
Immunocytochemistry/ Immunofluorescence: A20/TNFAIP3 Antibody (SN07-31) [NBP2-67676]

Immunocytochemistry/ Immunofluorescence: A20/TNFAIP3 Antibody (SN07-31) [NBP2-67676]

Immunocytochemistry/Immunofluorescence: A20/TNFAIP3 Antibody (SN07-31) [NBP2-67676] - Staining TNFAIP3 in HepG2 cells (green). The nuclear counter stain is DAPI (blue). Cells were fixed in paraformaldehyde, permeabilised with 0.25% Triton X100/PBS.
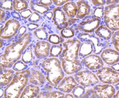
Immunohistochemistry-Paraffin: A20/TNFAIP3 Antibody (SN07-31) [NBP2-67676]

Immunohistochemistry-Paraffin: A20/TNFAIP3 Antibody (SN07-31) [NBP2-67676]

Immunohistochemistry-Paraffin: A20/TNFAIP3 Antibody (SN07-31) [NBP2-67676] - Analysis of paraffin-embedded human kidney tissue using anti-TNFAIP3 antibody. Counter stained with hematoxylin.

Applications for A20/TNFAIP3 Antibody (SN07-31)

Application
Recommended Usage

Flow Cytometry

1:50-1:100

Immunocytochemistry/ Immunofluorescence

1:100-1:500

Immunohistochemistry-Paraffin

1:50-1:200

Western Blot

1:500-1:1000

Formulation, Preparation, and Storage

Purification

Protein A purified

Formulation

TBS (pH7.4), 0.05% BSA, 40% Glycerol

Preservative

0.05% Sodium Azide

Concentration

1 mg/ml

Shipping

The product is shipped with polar packs. Upon receipt, store it immediately at the temperature recommended below.

Stability & Storage

Store at 4C short term. Aliquot and store at -20C long term. Avoid freeze-thaw cycles.

Background: A20/TNFAIP3

A20, TNFalpha-induced protein 3, TNFAIP3 (theoretical molecular weight 95 kDa) is an important regulator of pro-inflammatory signaling pathways such as NF-kB activation and tumor necrosis factor (TNF)-mediated programmed cell death (1, 2). In macrophages, A20/TNFAIP3 controls the release of IL-1 beta/IL-18 by regulating NLRP3 inflammasome activity and CXCL9/CXCL10 production via STAT1 signaling. By regulating the expression of inflammatory molecules such as IL-6 and anti-apoptotic proteins in dendritic cells, A20/TNFAIP3 maintains T-cell and B-cell homeostasis.

A20/TNFAIP3 is a highly conserved protein sharing >90% amino acid sequence identity across various mammalian species and is highly expressed in T-cell and B-cells. Coding and non-coding single nucleotide polymorphisms (SNPs) of A20/TNFAIP3 have been associated with multiple autoinflammatory and autoimmune diseases including type 1 diabetes, rheumatoid arthritis, Crohn's disease, and systemic lupus erythematosus (SLE) (3). The two domains of A20/TNFAIP3 cooperate to regulate NF-kB signaling. Its N-terminal ovarian tumor (OTU) domain contains a catalytic cysteine (C103) which functions as a K63 deubiquitinase, whereas the 7 zinc fingers that make up the C-terminal domain mediate K48 polyubiquitination. To regulate NF-kB signaling, A20/TNFAIP3 removes K63-polyubiquitin chains from receptor-interacting protein 1 (RIP1) and NF-kB essential modulator (NEMO), thus preventing interactions with downstream partners. A20/TNFAIP3 also contributes to the degradation of RIP1 and Ubc13 through the addition of K48 polyubiquitin chains (4).

References

1.Dixit VM1, Green S, Sarma V, Holzman LB, Wolf FW, O'Rourke K, Ward PA, Prochownik EV, Marks RM. (1990) Tumor necrosis factor-alpha induction of novel gene products in human endothelial cells including a macrophage-specific chemotaxin. J Biol Chem. 265(5):2973-8. PMID: 2406243

2.Verstrepen L, Verhelst K, van Loo G, Carpentier I, Ley SC, Beyaert R. (2010) Expression, biological activities and mechanisms of action of A20 (TNFAIP3). Biochem Pharmacol. 80(12):2009-20. PMID: 20599425

3.Mele A, Cervantes JR, Chien V, Friedman D, Ferran C. (2014) Single nucleotide polymorphisms at the TNFAIP3/A20 locus and susceptibility/resistance to inflammatory and autoimmune diseases. Adv Exp Med Biol. 809:163-83. PMID: 25302371

4.Das T, Chen Z, Hendriks RW, Kool M. (2018) A20/Tumor Necrosis Factor alpha-Induced Protein 3 in Immune Cells Controls Development of Autoinflammation and Autoimmunity: Lessons from Mouse Models. Front Immunol. 9:104. PMID: 29515565

Alternate Names

OTUD7C, TNFA1P2, TNFAIP3

Gene Symbol

TNFAIP3

Additional A20/TNFAIP3 Products

Product Documents for A20/TNFAIP3 Antibody (SN07-31)

Certificate of Analysis

To download a Certificate of Analysis, please enter a lot number in the search box below.

Product Specific Notices for A20/TNFAIP3 Antibody (SN07-31)

This product is for research use only and is not approved for use in humans or in clinical diagnosis. Primary Antibodies are guaranteed for 1 year from date of receipt.

Loading...
Loading...
Loading...
Loading...
Loading...
Loading...