60S ribosomal protein L23 Antibody - BSA Free
Novus Biologicals, part of Bio-Techne | Catalog # NBP1-87847
Key Product Details
Species Reactivity
Validated:
Human
Predicted:
Mouse (100%), Rat (100%). Backed by our 100% Guarantee.
Applications
Immunohistochemistry, Immunohistochemistry-Paraffin, Western Blot, Immunocytochemistry/ Immunofluorescence
Label
Unconjugated
Antibody Source
Polyclonal Rabbit IgG
Format
BSA Free
Concentration
Concentrations vary lot to lot. See vial label for concentration. If unlisted please contact technical services.
Product Specifications
Immunogen
This antibody was developed against Recombinant Protein corresponding to amino acids: ISLGLPVGAVINCADNTGAKNLYIISVKGIKGRLNRLPAAGVGDMVMATVKKGKPELRKKVHPAVVIRQRKSYRRKDGV
Clonality
Polyclonal
Host
Rabbit
Isotype
IgG
Description
Novus Biologicals Rabbit 60S ribosomal protein L23 Antibody - BSA Free (NBP1-87847) is a polyclonal antibody validated for use in IHC, WB and ICC/IF. All Novus Biologicals antibodies are covered by our 100% guarantee.
Scientific Data Images for 60S ribosomal protein L23 Antibody - BSA Free
Immunocytochemistry/ Immunofluorescence: 60S ribosomal protein L23 Antibody [NBP1-87847]
Immunocytochemistry/Immunofluorescence: 60S ribosomal protein L23 Antibody [NBP1-87847] - Immunofluorescent staining of human cell line A-431 shows localization to cytosol.Immunohistochemistry-Paraffin: 60S ribosomal protein L23 Antibody [NBP1-87847]
Immunohistochemistry-Paraffin: 60S ribosomal protein L23 Antibody [NBP1-87847] - Staining of human kink shows weak to moderate cytoplasmic positivity in squamous epithelial cells.Immunohistochemistry-Paraffin: 60S ribosomal protein L23 Antibody [NBP1-87847]
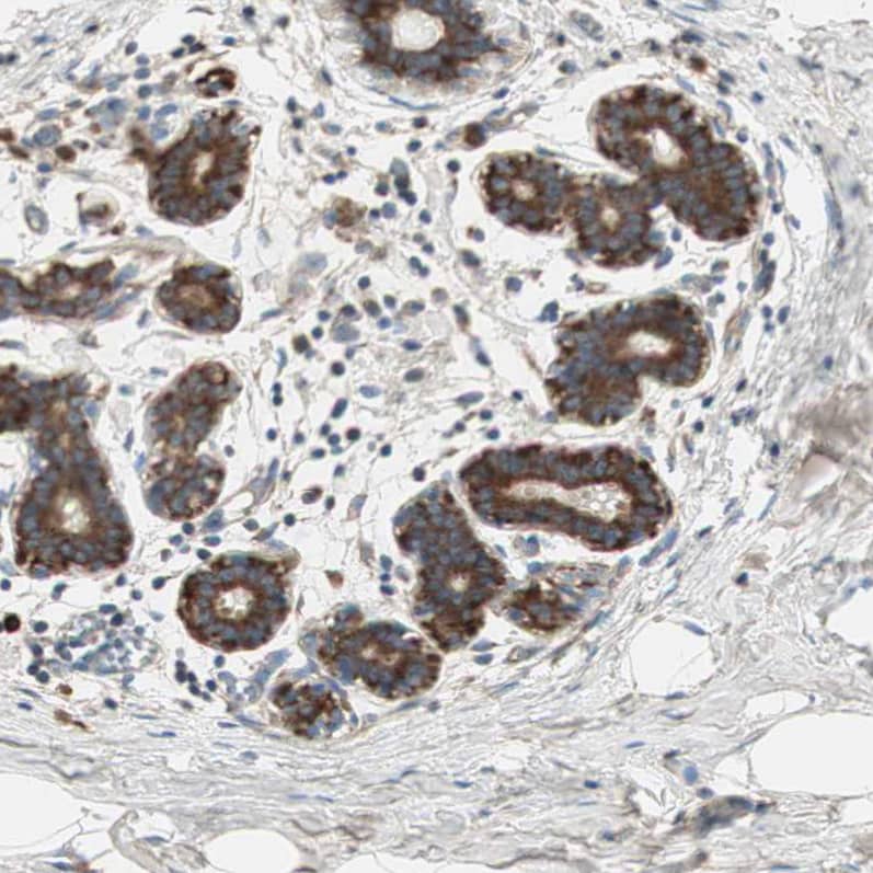
Immunohistochemistry-Paraffin: 60S ribosomal protein L23 Antibody [NBP1-87847] - Staining of human breast shows strong cytoplasmic positivity in glandular cells.Applications for 60S ribosomal protein L23 Antibody - BSA Free
Application
Recommended Usage
Immunocytochemistry/ Immunofluorescence
0.25-2 ug/ml
Immunohistochemistry
1:20 - 1:50
Immunohistochemistry-Paraffin
1:20 - 1:50
Western Blot
0.04-0.4 ug/ml
Application Notes
For IHC-Paraffin, HIER pH 6 retrieval is recommended. ICC/IF Fixation Permeabilization: Use PFA/Triton X-100.
Formulation, Preparation, and Storage
Purification
Affinity purified
Formulation
PBS (pH 7.2) and 40% Glycerol
Format
BSA Free
Preservative
0.02% Sodium Azide
Concentration
Concentrations vary lot to lot. See vial label for concentration. If unlisted please contact technical services.
Shipping
The product is shipped with polar packs. Upon receipt, store it immediately at the temperature recommended below.
Stability & Storage
Store at 4C short term. Aliquot and store at -20C long term. Avoid freeze-thaw cycles.
Background: 60S ribosomal protein L23
Alternate Names
MGC111167, MGC117346, MGC72008,60S ribosomal protein L17,60S ribosomal protein L23, ribosomal protein L17, ribosomal protein L23, rpL17
Gene Symbol
RPL23
Additional 60S ribosomal protein L23 Products
Product Documents for 60S ribosomal protein L23 Antibody - BSA Free
Product Specific Notices for 60S ribosomal protein L23 Antibody - BSA Free
This product is for research use only and is not approved for use in humans or in clinical diagnosis. Primary Antibodies are guaranteed for 1 year from date of receipt.
Loading...
Loading...
Loading...
Loading...