VECTASTAIN(R) ABC anti-Mouse IgG AP Immunodetection Kit
Novus Biologicals, part of Bio-Techne | Catalog # AK-5002-NB
Key Product Details
Species
Mouse
Applications
ELISA, Functional Assay, Immunocytochemistry/ Immunofluorescence, Immunohistochemistry, Western Blot
Kit Type
AP Immunodetection Kit
Product Summary for VECTASTAIN(R) ABC anti-Mouse IgG AP Immunodetection Kit
Features:
Alkaline phosphatase enzyme detection system
Avidin/biotin technology
High sensitivity/low background
Preferred for tissues that have high endogenous peroxidase activity
Offers additional substrate choices
Used as a second label in multiple antigen labeling applications
Product Specifications
Application Notes
This kit is sufficient to stain approximately 1000-2000 sections or fifty 100 cm^2 blots..
Scientific Data Images for VECTASTAIN(R) ABC anti-Mouse IgG AP Immunodetection Kit
Immunohistochemistry: VECTASTAIN(R) ABC anti-Mouse IgG AP Immunodetection Kit [AK-5002-NB]
Immunohistochemistry: Vectastain(R) ABC anti-Mouse IgG AP Immunodetection Kit [AK-5002-NB] - Tumor (double label): p53 (m), VECTASTAIN ABC-AP Kit, Vector Blue substrate (blue); Multi-Cytokeratin (m), VECTASTAIN Elite ABC Kit, AEC substrate (red).Immunohistochemistry: VECTASTAIN(R) ABC anti-Mouse IgG AP Immunodetection Kit [AK-5002-NB]
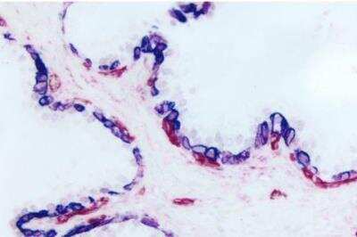
Immunohistochemistry: Vectastain(R) ABC anti-Mouse IgG AP Immunodetection Kit [AK-5002-NB] - Prostate (double label): Cytokeratin (m), VECTASTAIN ABC-AP Kit, Vector Blue (blue) substrate. CD34, VECTASTAIN ABC-AP Kit, Vector Red (red) substrate.Immunohistochemistry: VECTASTAIN(R) ABC anti-Mouse IgG AP Immunodetection Kit [AK-5002-NB]
Immunohistochemistry: Vectastain(R) ABC anti-Mouse IgG AP Immunodetection Kit [AK-5002-NB] - Tumor (double label): Cytokeratin, VECTASTAIN Elite ABC Kit, Vector NovaRED (red) substrate. CD34, VECTASTAIN ABC-AP Kit, BCIP/NBT (blue) substrate.Kit Contents for VECTASTAIN(R) ABC anti-Mouse IgG AP Immunodetection Kit
- Biotinylated horse anti-mouse IgG secondary antibody - 1 mL
- Blocking Serum (Normal Serum) - 3 mL
- Reagent A (Avidin DH) - 2 mL
- Reagent B (Biotinylated Alkaline Phosphatase H) - 2 mL
Formulation, Preparation, and Storage
Concentration
Concentration is not relevant for this product. Please see the protocols for proper use of this product.
Shipping
The product is shipped at ambient temperature. Upon receipt, store it immediately at the temperature recommended below.
Storage
Store at 4C. Do not freeze.
Background: VECTASTAIN(R) ABC anti-Mouse IgG
Additional VECTASTAIN(R) ABC anti-Mouse IgG Products
Product Documents for VECTASTAIN(R) ABC anti-Mouse IgG AP Immunodetection Kit
Product Specific Notices for VECTASTAIN(R) ABC anti-Mouse IgG AP Immunodetection Kit
This product is manufactured by Vector Laboratories and distributed by Novus Biologicals.
This product is for research use only and is not approved for use in humans or in clinical diagnosis. Kits are guaranteed for 6 months from date of receipt.
Loading...
Loading...
Loading...
Loading...