Human Prostate Tissue MicroArray (Cancer)
Novus Biologicals, part of Bio-Techne | Catalog # NBP2-30169
Key Product Details
Species
Human
Applications
Endotoxin, Immunohistochemistry
Product Summary for Human Prostate Tissue MicroArray (Cancer)
Microarray Panel:
Prostate cancer-normal
No. of samples: 49
No. of patients: 40
Core diameter: 2.0 mm
Section thickness: 4 micrometer
Please see manual for tissue information and location.
All tissues are fixed in 10% neutral buffered formalin for 12 to 24 hours, dehydrated with gradient ethanol, cleared with xylene, and embedded in paraffin. Then each slide is tested for immunohistochemistry on multiple antibodies including the p53 protein. Quality control is ensured as every tissue block is collected and arranged by certified pathologists, who used an identical process for their own research.
About 100,000 cells are included in each sample with 2 mm core diameter. Some slides may have less than 60 cores due to sample loss when obtaining multiple sections. Maximum number of missing cores in a slide is less than 10%.
Prostate cancer-normal
No. of samples: 49
No. of patients: 40
Core diameter: 2.0 mm
Section thickness: 4 micrometer
Please see manual for tissue information and location.
All tissues are fixed in 10% neutral buffered formalin for 12 to 24 hours, dehydrated with gradient ethanol, cleared with xylene, and embedded in paraffin. Then each slide is tested for immunohistochemistry on multiple antibodies including the p53 protein. Quality control is ensured as every tissue block is collected and arranged by certified pathologists, who used an identical process for their own research.
About 100,000 cells are included in each sample with 2 mm core diameter. Some slides may have less than 60 cores due to sample loss when obtaining multiple sections. Maximum number of missing cores in a slide is less than 10%.
Product Specifications
Application Notes
These slides are paraffin coated to prevent sample oxidization, it is recommended that slides are first de-paraffinized by baking at 62 degrees C for 1 hour in a vertical orientation prior to performing antigen retrieval procedures.
Type
Tissue
Tissue Condition
Cancer
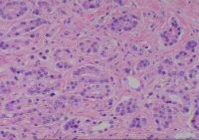
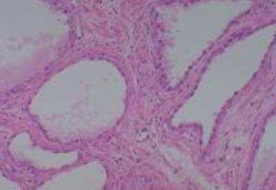
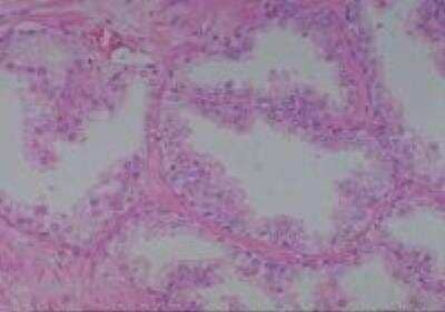
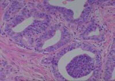
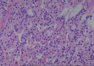
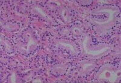
Scientific Data Images for Human Prostate Tissue MicroArray (Cancer)
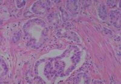
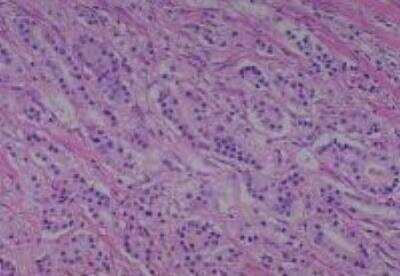
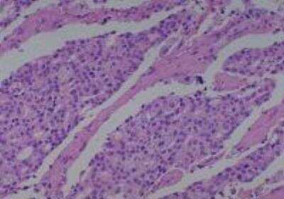
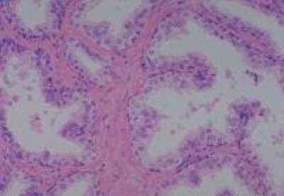
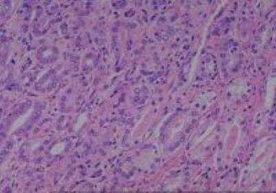
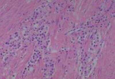
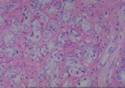
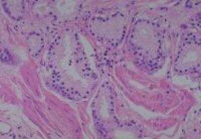
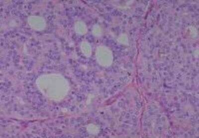
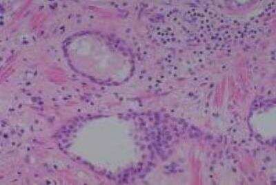
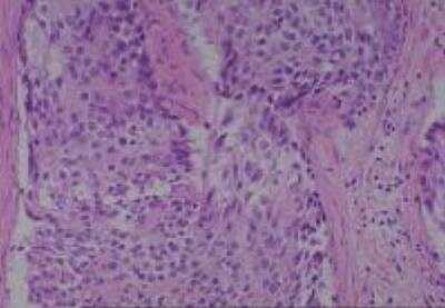
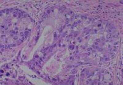
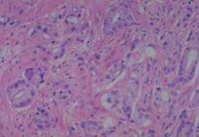
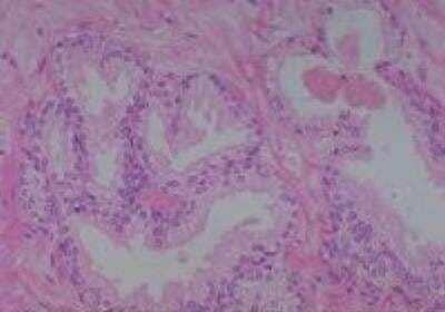
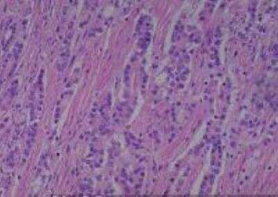
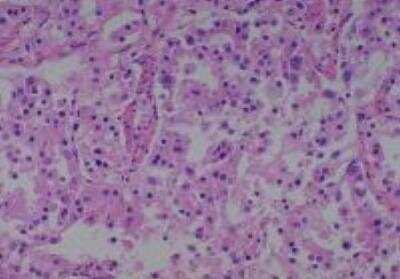
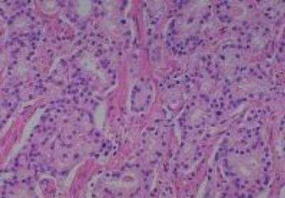
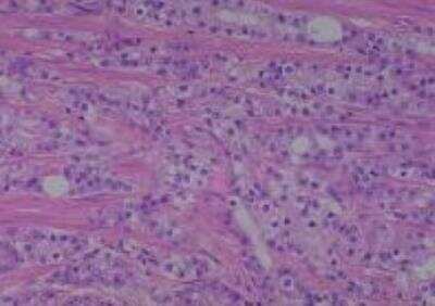
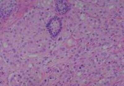
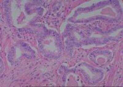
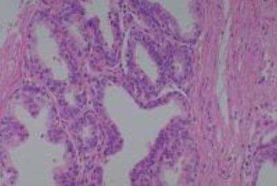
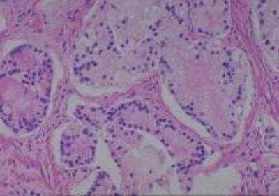
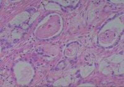
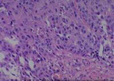
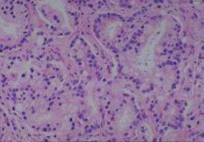
Immunohistochemistry: Human Prostate Tissue MicroArray (Cancer) [NBP2-30169]
Immunohistochemistry: Human Prostate Tissue MicroArray (Cancer) [NBP2-30169] - Adenocarcinoma patient - Gleason score 7. RED: HDAC6. BLUE: DAPI, nucleus. IHC image submitted by a verified customer review.Immunohistochemistry: Human Prostate Tissue MicroArray (Cancer) [NBP2-30169]
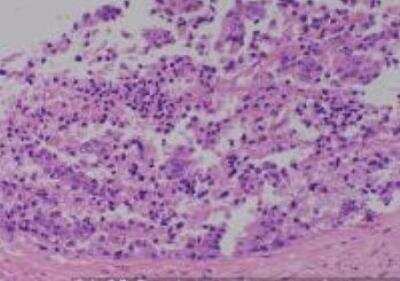
Immunohistochemistry: Human Prostate Tissue MicroArray (Cancer) [NBP2-30169] - Human prostate cancer tissue stained with rabbit anti-ALDH1A1 antibody. Gleason score 7. Image taken with EVOS M5000 Imaging System. IHC image submitted by a verified customer review.Immunohistochemistry: Human Prostate Tissue MicroArray (Cancer) [NBP2-30169]
Immunohistochemistry: Human Prostate Tissue MicroArray (Cancer) [NBP2-30169] - Prostate cancer tissue IHC stained with anti-E-cadherin antibody - brown, nucleus is stained by hematoxylin. Image from verified customer review.Formulation, Preparation, and Storage
Concentration
Concentration is not relevant for this product. Please see the protocols for proper use of this product.
Shipping
The product is shipped with polar packs. Upon receipt, store it immediately at the temperature recommended below.
Storage
Store at 4C. Do not freeze.
Background: Prostate
Additional Prostate Products
Product Documents for Human Prostate Tissue MicroArray (Cancer)
Product Specific Notices for Human Prostate Tissue MicroArray (Cancer)
This product is for research use only and is not approved for use in humans or in clinical diagnosis. Tissue Micro Arrays are guaranteed for 1 year from date of receipt.
Loading...
Loading...
Loading...
Loading...
Loading...