Skip to main content

Key Product Details

Species Reactivity

Mouse

Applications

ELISA

Label

Unconjugated

Antibody Source

Monoclonal Rabbit IgG Clone # 20

Concentration

Please see the vial label for concentration. If unlisted please contact technical services.

Product Specifications

Immunogen

Recombinant Mouse IgG1 Fc Protein

Specificity

This antibody recognizes mouse IgG1, but has almost no reactivity to Mouse IgG2a, IgG2b, IgG3, IgM.

Clonality

Monoclonal

Host

Rabbit

Isotype

IgG

Scientific Data Images for Rabbit anti-Mouse IgG1 Secondary Antibody (20)

Rabbit anti-Mouse IgG1 Secondary Antibody (20)

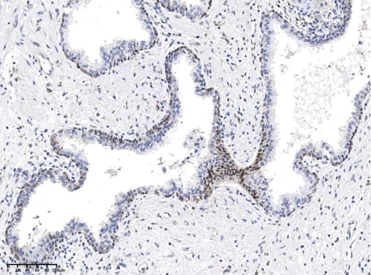
Immunohistochemistry-Paraffin: Rabbit anti-Mouse IgG1 Secondary Antibody (20) [NBP3-43768] -

Immunohistochemistry-Paraffin: Rabbit anti-Mouse IgG1 Secondary Antibody (20) [NBP3-43768] - Immunohistochemical analysis of PFA-fixed paraffin-embedded human prostate tissue sections, with NBP3-43768 (1:60) for 1 hours at 37C. An HRP-conjugated Rabbit Anti-Mouse IgG1 Secondary Antibody (1:1600) was used as the secondary antibody.
Rabbit anti-Mouse IgG1 Secondary Antibody (20)

Immunohistochemistry-Paraffin: Rabbit anti-Mouse IgG1 Secondary Antibody (20) [NBP3-43768] -

Immunohistochemistry-Paraffin: Rabbit anti-Mouse IgG1 Secondary Antibody (20) [NBP3-43768] - Immunohistochemical analysis of PFA-fixed paraffin-embedded human stomach carcinoma tissue sections, with NBP3-43768 (1:200) for 1 hours at 37C. An HRP-conjugated Rabbit Anti-Mouse IgG1 Secondary Antibody (1:1600) was used as the secondary antibody.

Applications for Rabbit anti-Mouse IgG1 Secondary Antibody (20)

Application
Recommended Usage

ELISA

1:5000-1:10000

Formulation, Preparation, and Storage

Purification

Protein A purified

Formulation

0.2 um filtered solution in PBS

Preservative

No Preservative

Concentration

Please see the vial label for concentration. If unlisted please contact technical services.

Shipping

The product is shipped with polar packs. Upon receipt, store it immediately at the temperature recommended below.

Stability & Storage

Store at 4C short term. Store at -20C long term. Avoid freeze-thaw cycles.

Background: IgG1

IgG is a monomeric immunoglobulin composed of two heavy chains and two light chains. There are four subclasses of the IgG: IgG1, IgG2, IgG3 and IgG4. Each molecule has two antigen binding sites. IgG is the most abundant immunoglobulin as well as the only isotype that can pass through the placent,a thereby providing protection to the fetus in its first weeks of life before, its own immune system has developed. IgG can bind to several different kinds of pathogens, for example viruses, bacteria and fungi, and it protects the body against them by complement activation (the classic pathway), opsonization for phagocytosis and neutralization of their toxins.

Long Name

Immunoglobulin G1

Alternate Names

IgG1, Igh-4, RGD1359539, VH7183

Additional IgG1 Products

Product Documents for Rabbit anti-Mouse IgG1 Secondary Antibody (20)

Certificate of Analysis

To download a Certificate of Analysis, please enter a lot number in the search box below.

Product Specific Notices for Rabbit anti-Mouse IgG1 Secondary Antibody (20)

This product is for research use only and is not approved for use in humans or in clinical diagnosis. Secondary Antibodies are guaranteed for 1 year from date of receipt.

Loading...
Loading...
Loading...
Loading...