Skip to main content

Key Product Details

Species Reactivity

Human

Applications

ELISA, Electron Microscopy, Immunocytochemistry/ Immunofluorescence, Immunohistochemistry, Immunohistochemistry-Paraffin, Western Blot

Label

Unconjugated

Antibody Source

Polyclonal Goat IgG

Concentration

1.0 mg/ml

Product Specifications

Immunogen

Human IgG-Fc Fragment

Specificity

By immunoelectrophoresis and ELISA this reacts specifically with human IgG. This may cross react with IgG from other species.

Clonality

Polyclonal

Host

Goat

Isotype

IgG

Description

Antiserum was solid phase adsorbed to ensure class specificity. The antibody was isolated by affinity chromatography using antigen coupled to agarose beads. Antibody concentration was determined by extinction coefficient: absorbance at 280 nm of 1.4 equals 1.0 mg of IgG. By immunoelectrophoresis and ELISA this antibody reacts specifically with human IgG. Cross reactivity with IgA, IgM and light chains is less than 0.1%. This antibody may cross react with IgG from other species.

Scientific Data Images for Goat anti-Human IgG Fc Secondary Antibody

Immunohistochemistry: Goat anti-Human IgG Fc Secondary Antibody [NB7446]

Immunohistochemistry: Goat anti-Human IgG Fc Secondary Antibody [NB7446]

Goat-anti-Human-IgG-Fc-fragment-Secondary-Antibody-Immunohistochemistry-NB7446-img0002.jpg
Western Blot: Goat anti-Human IgG Fc Secondary Antibody [NB7446]

Western Blot: Goat anti-Human IgG Fc Secondary Antibody [NB7446]

Western Blot: Goat anti-Human IgG Fc Secondary Antibody [NB7446] - Image from verified customer review. Image using the HRP form of this antibody.
Goat anti-Human IgG Fc Secondary Antibody

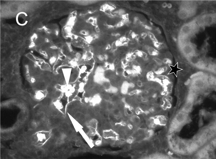
Immunohistochemistry: Goat anti-Human IgG Fc Secondary Antibody [NB7446] -

Immunohistochemistry: Goat anti-Human IgG Fc Secondary Antibody [NB7446] - Immune fluorescent photomicrographs of glomeruli from control (A), aflibercept-treated (B–D) & ranibizumab-treated (E–F) monkeys eyes.In all figures, the asterisks label the spaces of the Bowman capsule. A) Kidney sections from the control animal did not show any specific staining with anti-human IgG-Fc antibody in the glomeruli. Only the erythrocytes (arrow) within the capillaries showed a weak fluorescence. B) One day after aflibercept injection, the endothelium cell layer & material within the capillaries of a glomerulus were highly fluorescent (white arrow) after labelling with an antibody against the Fc region of IgG. In an adjacent glomerulus, only the endothelium was stained (white arrowhead) whereas the lumina of the vessels did not contain IgG-Fc positive material (black arrow). C) Erythrocytes within the glomeruli (arrowhead) as well as the endothelium (arrow) were highly fluorescent. D) Seven days after aflibercept injection, the fluorescent material within the capillaries (arrowhead) & the fluorescence intensity of the endothelium became weaker. E) One day after ranibizumab injection, the endothelium cell layer (white arrow) & erythrocytes (arrowhead & black arrow in the inset) were fluorescent after staining with an antibody against human Fab of IgG. F) The specific fluorescence of the endothelium (arrow) & erythrocytes (arrowhead) was nearly lost seven days after injection of ranibizumab. Image collected & cropped by CiteAb from the following publication (https://pubmed.ncbi.nlm.nih.gov/25415380), licensed under a CC-BY license. Not internally tested by Novus Biologicals.

Applications for Goat anti-Human IgG Fc Secondary Antibody

Application
Recommended Usage

Electron Microscopy

1:1000 - 1:30000

Immunocytochemistry/ Immunofluorescence

1:200 - 1:2000

Immunohistochemistry

1:10-1:500

Immunohistochemistry-Paraffin

1:200 - 1:2000

Western Blot

1:1000 - 1:30000

Reviewed Applications

Read 1 review rated 5 using NB7446 in the following applications:

Formulation, Preparation, and Storage

Purification

Immunogen affinity purified

Formulation

Phosphate Buffered Saline (PBS)

Preservative

0.09% Sodium Azide

Concentration

1.0 mg/ml

Shipping

The product is shipped with polar packs. Upon receipt, store it immediately at the temperature recommended below.

Stability & Storage

Store at 4C. Do not freeze.

Product Documents for Goat anti-Human IgG Fc Secondary Antibody

Certificate of Analysis

To download a Certificate of Analysis, please enter a lot number in the search box below.

Product Specific Notices for Goat anti-Human IgG Fc Secondary Antibody

Antiserum was solid phase adsorbed to ensure class specificity. The antibody was isolated by affinity chromatography using antigen coupled to agarose beads. Antibody concentration was determined by extinction coefficient: absorbance at 280 nm of 1.4 equals 1.0 mg of IgG. By immunoelectrophoresis and ELISA this antibody reacts specifically with human IgG. Cross reactivity with IgA, IgM and light chains is less than 0.1%. This antibody may cross react with IgG from other species.

This product is for research use only and is not approved for use in humans or in clinical diagnosis. Secondary Antibodies are guaranteed for 1 year from date of receipt.

Loading...
Loading...
Loading...
Loading...