Skip to main content

Recombinant Human/Mouse/Rat GDF-8/Myostatin GMP Protein, CF GMP

R&D Systems, part of Bio-Techne | Catalog # 788-GMP

R&D Systems, part of Bio-Techne
Catalog #
Availability
Size / Price
Qty
Loading...
788-GMP-01M
788-GMP-010

Key Product Details

Source

NS0

Accession #

Structure / Form

Disulfide-linked homodimer

Conjugate

Unconjugated

Applications

Bioactivity

Product Specifications

Source

Mouse myeloma cell line, NS0-derived GDF-8/Myostatin protein
Asp268-Ser376
Manufactured and tested under current Good Manufacturing Practice (GMP) guidelines.

Purity

>90%, by SDS-PAGE with silver staining.

Endotoxin Level

<0.10 EU per 1 μg of the protein by the LAL method.

N-terminal Sequence Analysis

Asp-Phe-Gly-Leu-Asp-(Cys)-Asp-Glu-His-Ser

Predicted Molecular Mass

12.4 kDa

SDS-PAGE

12 kDa, reducing conditions
24 kDa, non-reducing conditions

Activity

Measured by its ability to induce hemoglobin expression in K562 human chronic myelogenous leukemia cells. Schwall, R.H. et al. (1991) Method Enzymol. 198:340.
The ED50 for this effect is 2-10 ng/mL.

Host Cell Protein

< 5.0 ng per µg of protein when tested by ELISA.

Mycoplasma

Negative for Mycoplasma.

Scientific Data Images for Recombinant Human/Mouse/Rat GDF-8/Myostatin GMP Protein, CF

Recombinant Human/Mouse/Rat GDF-8/Myostatin GMP Protein Bioactivity

Recombinant Human/Mouse/Rat GDF-8/Myostatin GMP Protein Bioactivity

GMP-grade Recombinant Human/Mouse/Rat GDF-8/Myostatin (Catalog # 788-GMP) induces hemoglobin expression in the K562 human chronic myelogenous leukemia cell line. The ED50 for this effect is 2‑10 ng/mL.
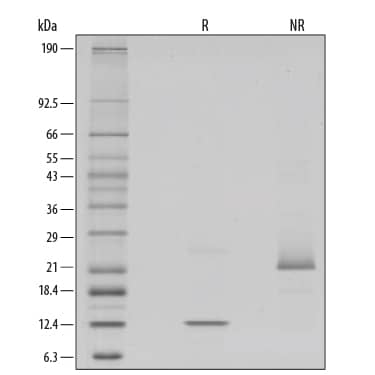
Recombinant Human/Mouse/Rat GDF-8/Myostatin GMP Protein SDS-PAGE

Recombinant Human/Mouse/Rat GDF-8/Myostatin GMP Protein SDS-PAGE

1 μg/lane of GMP-grade Recombinant Human/Mouse/Rat GDF-8/Myostatin (Catalog # 788-GMP) was resolved with SDS-PAGE under reducing (R) and non-reducing (NR) conditions and visualized by silver staining, showing the main bands at 12 kDa and 24 kDa, respectively.

Formulation, Preparation and Storage

788-GMP
Formulation Lyophilized from a 0.2 μm filtered solution in Acetonitrile and TFA.
Reconstitution Reconstitute at 100 μg/mL in 4 mM HCl.
Shipping The product is shipped with polar packs. Upon receipt, store it immediately at the temperature recommended below.
Stability & Storage Use a manual defrost freezer and avoid repeated freeze-thaw cycles.
  • A minimum of 12 months when stored at ≤ -20 °C as supplied. Refer to lot specific COA for the Use by Date.
  • 1 month, 2 to 8 °C under sterile conditions after reconstitution.
  • 3 months, ≤ -20 °C under sterile conditions after reconstitution.

Background: GDF-8/Myostatin

Growth Differentiation Factor 8 (GDF-8), also known as myostatin, is a member of the TGF-beta superfamily that is expressed specifically in developing and adult skeletal muscle. GDF-8 cDNA encodes a 376 amino acid (aa) prepropeptide with a 24 aa residue signal peptide, a 223 aa residue amino-terminal propeptide, and a 109 aa residue carboxy-terminal mature protein. Mature GDF-8 contains the canonical 7-cysteine motif common to other TGF-beta superfamily members. Similar to the TGF‑ betas, activins and BMP-11, GDF-8 also contains one extra pair of cysteine residues that is not found in other family members. The bioactive form of GDF-8 is a homodimer with an apparent molecular weight of approximately 25 kDa. GDF-8 is highly conserved across species. At the amino acid sequence level, mature human, mouse, rat and cow GDF-8 are 100% identical. Within the TGF-beta superfamily, GDF-8 is most closely related to BMP-11, a mammalian protein that acts as a dorsal mesoderm and neural inducer in Xenopus explants. The two proteins share 90% amino acid sequence identity within their mature chain. A targeted disruption of GDF-8 in mouse results in large mice with a widespread increase in skeletal muscle mass, indicating that GDF-8 is a negative regulator of skeletal muscle growth. A mutation in the bovine GDF-8 gene has been shown to be responsible for the double-muscled phenotype in cattle breeds such as Belgian Blue cattle that is characterized by an increase in muscle mass. GDF-8 has also been shown to inhibit preadipocyte differentiation to adipocytes. Mature GDF-8 binds to activin type II receptors and the binding is antagonized by the activin-binding protein, follistatin. R&D Systems recombinant GDF-8 preparations have been shown to act similarly to Activin A in both the Xenopus animal cap and the K562 assays.

References

  1. Storm, E.E. et al. (1994) Nature 368:639.
  2. Sharma, M. et al. (1999) J. Cell Physiol. 180:1.
  3. McPherron, A.C. et al. (1997) Nature 387:83.
  4. Lee, S.J. et al. (2001) Proc. Natl. Acad. Sci. USA 98:9306.
  5. Kim, H.S. et al. (2001) Biochem. Biophys. Res. Commun. 281:902.

Long Name

Growth Differentiation Factor 8

Alternate Names

GDF8, MSLHP, MSTN, Myostatin

Entrez Gene IDs

2660 (Human); 17700 (Mouse)

Gene Symbol

MSTN

UniProt

Additional GDF-8/Myostatin Products

Product Documents for Recombinant Human/Mouse/Rat GDF-8/Myostatin GMP Protein, CF

Certificate of Analysis

To download a Certificate of Analysis, please enter a lot number in the search box below.

Note: Certificate of Analysis not available for kit components.

Manufacturing Specifications

GMP Proteins
R&D Systems, a Bio-Techne Brand's GMP proteins are produced according to relevant sections of the following documents: USP Chapter 1043, Ancillary Materials for Cell, Gene and Tissue-Engineered Products and Eu. Ph. 5.2.12, Raw Materials of Biological Origin for the Production of Cell-based and Gene Therapy Medicinal Products.

R&D Systems' quality focus includes:

  • Designed, manufactured and tested under an ISO 9001:2015 and ISO 13485:2016 certified quality system
  • Documented and controlled manufacturing process
  • Control of documentation and process changes by QA
  • Personnel training programs
  • Raw material inspection and vendor qualification/monitoring program
  • Validated equipment, processes and test methods
  • Equipment calibration and maintenance schedules using a Regulatory Asset Manager
  • Facility/Utilities maintenance, contamination controls, safety and pest control programs
  • Material review process for variances
  • Robust product stability program following relevant ICH guidelines

R&D Systems strives to provide our customers with the analytical characteristics of each product so that customers may determine whether our products are appropriate for their application. Each product is provided with a lot-specific Certificate of Analysis that contains the product's specifications and test results. Quality control testing may include, but is not limited to:

  • N-terminal amino acid analysis
  • SDS-PAGE purity analysis
  • Molecular weight analysis via mass spectrometry
  • Endotoxin assessment per USP <85> and Ph. Eur. 2.6.14 guidelines
  • Bioassay analysis
  • Microbial testing per USP <71> and Ph. Eur. 2.6.1 guidelines
  • Host cell protein assessment
  • Host cell DNA assessment
  • Mycoplasma assessment

Additional testing and documentation requested by the customer can be arranged at an additional cost. 

Production records and facilities are available for examination by appropriate personnel on-site at R&D Systems in Minneapolis and St. Paul, Minnesota USA.

R&D Systems sells GMP grade products for preclinical or clinical ex vivo use. They are not for in vivo use. Please read the following End User Terms prior to using this product.

Product Specific Notices for Recombinant Human/Mouse/Rat GDF-8/Myostatin GMP Protein, CF

Full terms and conditions of sale can be found online in the Protein Sciences Segment T&Cs at: Terms & Conditions.

For preclinical, or clinical ex vivo use

Loading...
Loading...
Loading...