Recombinant Human GM-CSF (CHO) Biotinylated Protein, CF
R&D Systems, part of Bio-Techne | Catalog # BT7954
Key Product Details
Source
CHO
Accession #
Structure / Form
Biotinylated via amines
Conjugate
Biotin
Applications
Bioactivity
Product Specifications
Source
Chinese Hamster Ovary cell line, CHO-derived human GM-CSF protein
Ala18-Glu144
Ala18-Glu144
Purity
>95%, by SDS-PAGE under reducing conditions and visualized by silver stain.
Endotoxin Level
<0.10 EU per 1 μg of the protein by the LAL method.
N-terminal Sequence Analysis
Ala18
Predicted Molecular Mass
14.5 kDa
SDS-PAGE
14-28 kDa, under reducing conditions.
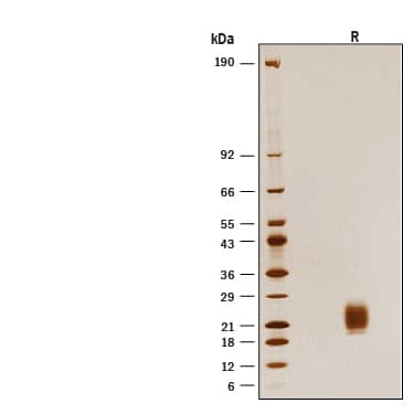
Scientific Data Images for Recombinant Human GM-CSF (CHO) Biotinylated Protein, CF
Biotinylated Recombinant Human GM‑CSF Protein SDS-PAGE.
1 μg/lane of Biotinylated Recombinant Human GM‑CSF Protein (Catalog # BT7954) was resolved with SDS-PAGE under reducing (R) condition and visualized by silver staining, showing bands at 14-28 kDa.Formulation, Preparation and Storage
BT7954
| Formulation | Lyophilized from a 0.2 μm filtered solution in PBS with Trehalose. |
| Reconstitution | Reconstitute at 250 μg/mL in water. |
| Shipping | The product is shipped at ambient temperature. Upon receipt, store it immediately at the temperature recommended below. |
| Stability & Storage | Use a manual defrost freezer and avoid repeated freeze-thaw cycles.
|
Background: GM-CSF
References
- Martinez-Moczygemba, M. and D.P. Huston (2003) J. Allergy Clin. Immunol. 112:653.
- Barreda, D.R. et al. (2004) Dev. Comp. Immunol. 28:509.
- Eksioglu, E.A. et al. (2007) Exp. Hematol. 35:1163.
- Cao, Y. (2007) J. Clin. Invest. 117:2362.
- Fleetwood, A.J. et al. (2005) Crit. Rev. Immunol. 25:405.
- Heuser, M. et al. (2007) Semin. Hematol. 44:148.
- Hege, K.M. et al. (2006) Int. Rev. Immunol. 25:321.
- Kaushansky, K. et al. (1992) Biochemistry 31:1881.
- Diederichs, K. et al. (1991) Science 254:1779.
- Cantrell, M.A. et al. (1985) Proc. Natl. Acad. Sci. 82:6250.
- Lee, F. et al. (1985) Proc. Natl. Acad. Sci. 82:4360.
- Wong, G.G. et al. (1985) Science 228:810.
- Onetto-Pothier, N. et al. (1990) Blood 75:59.
- Hayashida, K. et al. (1990) Proc. Natl. Acad. Sci. 87:9655.
- Pelley, J.L. et al. (2007) Exp. Hematol. 35:1483.
- Hogge, G.S. et al. (1990) Cancer Gene Ther. 6:26.
- Sprague, W.S. et al. (2005) J. Comp. Pathol. 133:136.
- Shanafelt, A.B. et al. (1991) J. Biol. Chem. 266:13804.
Long Name
Granulocyte Macrophage Growth Factor
Alternate Names
CSF-2, CSF2, GMCSF, Molgramostim, Sargramostim
Entrez Gene IDs
Gene Symbol
CSF2
UniProt
Additional GM-CSF Products
Product Documents for Recombinant Human GM-CSF (CHO) Biotinylated Protein, CF
Product Specific Notices for Recombinant Human GM-CSF (CHO) Biotinylated Protein, CF
For research use only
Loading...
Loading...
Loading...