Skip to main content

Recombinant Human GDNF GMP Protein, CF GMP

R&D Systems, part of Bio-Techne | Catalog # BT-GDNF-GMP

R&D Systems, part of Bio-Techne
Catalog #
Availability
Size / Price
Qty
Loading...
BT-GDNF-GMP-01M
BT-GDNF-GMP-050

Key Product Details

  • GDNF Manufactured in Bio-Techne's new GMP facility
  • Lot-to-lot consistency
  • Stringent guidelines for patient safety
  • Scalability necessary to support successful therapeutics
  • Learn more about manufacturing in our new GMP facility
  • Test it in your process! Request a sample of GMP GDNF
  • DMF is on file for this protein

Source

E. coli

Accession #

Structure / Form

Disulfide-linked homodimer

Conjugate

Unconjugated

Applications

Bioactivity

Product Specifications

Source

E. coli-derived human GDNF protein
Gly113 - Ile211 with & without an N-terminal Met
Produced using non-animal reagents in an animal-free laboratory.Manufactured and tested under cGMP guidelines.

Purity

>97%, by SDS-PAGE with quantitative densitometry by Coomassie® Blue Staining. The molecular weight by mass spectrometry is 22225 Da ± 5 Da, N-terminal Met species are also present (22356 ± 5 Da).

Endotoxin Level

<0.10 EU per 1 μg of the protein by the LAL method.

N-terminal Sequence Analysis

Gly113-Lys-Asn-Arg-Gly-(Cys)-Val-Leu-Thr-Ala & Met-Gly113-Lys-Asn-Arg-Gly-(Cys)-Val-Leu-Thr

Predicted Molecular Mass

11.3 kDa

SDS-PAGE

8 kDa, under reducing conditions.

Activity

Measured in a cell proliferation assay using SH-SY5Y human neuroblastoma cells.
The ED50 for this effect is 0.750-9.00 ng/mL in the presence of Recombinant Human GFR alpha-1/GDNF R alpha 1 Fc Chimera (Catalog # 714-GR).

The specific activity of recombinant human GDNF is >5.0 x 105 units/mg, which is calibrated against the human GDNF Reference Standard (NIBSC code: 09/266).

Host Cell Protein

<0.500 ng per μg of protein when tested by ELISA.

Mycoplasma

Negative for Mycoplasma.

Host Cell DNA

<0.00150 ng per µg of protein when tested by PCR.

Scientific Data Images for Recombinant Human GDNF GMP Protein, CF

Recombinant Human GDNF GMP Protein Bioactivity.

The bioactivity of Recombinant Human GDNF GMP Protein (Catalog # BT-GDNF-GMP) was measured in a cell proliferation assay using the cell proliferation of SH-SY5Y cells. Three independent lots weretested for bioactivity and plotted on the same graph to show lot-to-lot consistency of GMP GDNF protein.

Equivalent Bioactivity of GMP and Animal-Free grades of Recombinant Human GDNF.

Equivalent bioactivity of GMP (Catalog # BT-GDNF-GMP) and Animal-Free (BT-GDNF-AFL) grades of Recombinant HumanGDNF as measured in a cell proliferation assay using the cell proliferation of SH-SY5Y cells (orange and green, respectively).

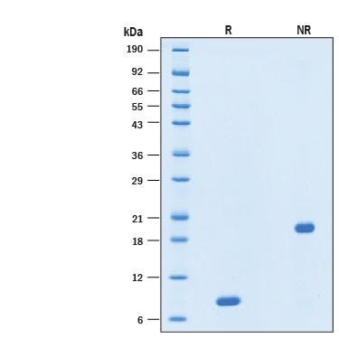
Recombinant Human GDNF GMP Protein SDS-PAGE.

2 μg/lane of Recombinant Human GDNF GMP Protein (Catalog # BT-GDNF-GMP) was resolved with SDS-PAGE under reducing (R) and non-reducing (NR) conditions and visualized by Coomassie® Blue staining, showing a band at 8 kDa under reducing conditions.

Formulation, Preparation and Storage

BT-GDNF-GMP
Formulation Lyophilized from a 0.2 μm filtered solution in PBS with Trehalose.
Reconstitution Reconstitute at 500 μg/mL in sterile water.
Shipping The product is shipped with polar packs. Upon receipt, store it immediately at the temperature recommended below.
Stability & Storage Use a manual defrost freezer and avoid repeated freeze-thaw cycles.
  • A minimum of 12 months when stored at ≤ -20 °C as supplied. Refer to lot specific COA for the Use by Date.
  • 1 month, 2 to 8 °C under sterile conditions after reconstitution.
  • 3 months, ≤ -20 °C under sterile conditions after reconstitution.

Background: GDNF

Glial Cell Line-derived Neurotrophic Factor (GDNF) is a neurotrophic factor that has been shown to promote the survival of various neuronal subpopulations in both the central as well as the peripheral nervous systems at different stages of their development. Neuronal subpopulations that have been shown to be affected by GDNF include motoneurons, midbrain dopaminergic neurons, Purkinje cells and sympathetic neurons.

Native GDNF, a disulfide-linked homodimeric glycoprotein, is a novel member of the TGF-beta  superfamily. Human GDNF cDNA encodes a 211 amino acid residue prepropeptide that is processed to yield a dimeric protein. Mature human GDNF was predicted to contain two 134 amino acid residue subunits. NS0 expressed mature human GDNF lacks 31 residues from the amino-terminus of the predicted sequence. This glycosylated recombinant mature human GDNF still contains the seven conserved Cys residues found in all members of the TGF-beta superfamily and is biologically active. The GDNF sequence contains two potential glycosylation sites and insect cell‑expressed recombinant rat GDNF proteins are glycosylated. Mature rat and human GDNF exhibit approximately 93% amino acid sequence identity and show considerable species cross-reactivity. Cells known to express GDNF include Sertoli cells, type 1 astrocytes, Schwann cells, neurons, pinealocytes and skeletal muscle cells.

Long Name

Glial Cell line-derived Growth Factor

Alternate Names

ATF, HFB1-GDNF, HGDNF, HSCR3

Entrez Gene IDs

2668 (Human); 25453 (Rat)

Gene Symbol

GDNF

Additional GDNF Products

Product Documents for Recombinant Human GDNF GMP Protein, CF

Certificate of Analysis

To download a Certificate of Analysis, please enter a lot number in the search box below.

Note: Certificate of Analysis not available for kit components.

Manufacturing Specifications

GMP Proteins
R&D Systems, a Bio-Techne Brand's GMP proteins are produced according to relevant sections of the following documents: USP Chapter 1043, Ancillary Materials for Cell, Gene and Tissue-Engineered Products and Eu. Ph. 5.2.12, Raw Materials of Biological Origin for the Production of Cell-based and Gene Therapy Medicinal Products.

R&D Systems' quality focus includes:

  • Designed, manufactured and tested under an ISO 9001:2015 and ISO 13485:2016 certified quality system
  • Documented and controlled manufacturing process
  • Control of documentation and process changes by QA
  • Personnel training programs
  • Raw material inspection and vendor qualification/monitoring program
  • Validated equipment, processes and test methods
  • Equipment calibration and maintenance schedules using a Regulatory Asset Manager
  • Facility/Utilities maintenance, contamination controls, safety and pest control programs
  • Material review process for variances
  • Robust product stability program following relevant ICH guidelines

R&D Systems strives to provide our customers with the analytical characteristics of each product so that customers may determine whether our products are appropriate for their application. Each product is provided with a lot-specific Certificate of Analysis that contains the product's specifications and test results. Quality control testing may include, but is not limited to:

  • N-terminal amino acid analysis
  • SDS-PAGE purity analysis
  • Molecular weight analysis via mass spectrometry
  • Endotoxin assessment per USP <85> and Ph. Eur. 2.6.14 guidelines
  • Bioassay analysis
  • Microbial testing per USP <71> and Ph. Eur. 2.6.1 guidelines
  • Host cell protein assessment
  • Host cell DNA assessment
  • Mycoplasma assessment

Additional testing and documentation requested by the customer can be arranged at an additional cost. 

Production records and facilities are available for examination by appropriate personnel on-site at R&D Systems in Minneapolis and St. Paul, Minnesota USA.

R&D Systems sells GMP grade products for preclinical or clinical ex vivo use. They are not for in vivo use. Please read the following End User Terms prior to using this product.


Animal-Free Manufacturing Conditions
Our dedicated controlled-access animal-free laboratories ensure that at no point in production are the products exposed to potential contamination by animal components or byproducts. Every stage of manufacturing is conducted in compliance with R&D Systems' stringent Standard Operating Procedures (SOPs). Production and purification procedures use equipment and media that are confirmed animal-free.

Production

  • All molecular biology procedures use animal-free media and dedicated labware.
  • Dedicated fermentors are utilized in committed animal-free areas.

Purification

  • Protein purification columns are animal-free.
  • Bulk proteins are filtered using animal-free filters.
  • Purified proteins are stored in animal-free containers.

    Please read our complete Animal-Free Statement

    Product Specific Notices for Recombinant Human GDNF GMP Protein, CF

    Full terms and conditions of sale can be found online in the Protein Sciences Segment T&Cs at: Terms & Conditions.

    For preclinical, or clinical ex vivo use

    Loading...
    Loading...
    Loading...