Skip to main content

Recombinant Human Fc gamma RIIB/CD32b Avi-tag Protein, CF

R&D Systems, part of Bio-Techne | Catalog # AVI1875

Biotinylated
R&D Systems, part of Bio-Techne
Catalog #
Availability
Size / Price
Qty
Loading...
AVI1875-050

Key Product Details

  • R&D Systems HEK293-derived Recombinant Human Fc gamma RIIB/CD32b Avi-tag Protein (AVI1875)
  • Quality control testing to verify active proteins with lot specific assays by in-house scientists
  • All R&D Systems proteins are covered with a 100% guarantee

Source

HEK293

Accession #

Structure / Form

Biotinylated via Avi-tag

Conjugate

Biotin

Applications

Bioactivity

Product Specifications

Source

Human embryonic kidney cell, HEK293-derived human Fc gamma RIIB/C (CD32b/c) protein
Human Fc gamma RIIB/C (CD32b/c)
(Ala46-Pro217)
Accession # P31995.1
HHHHHH Avi-tag
N-terminus C-terminus

Purity

>95%, by SDS-PAGE visualized with Silver Staining and quantitative densitometry by Coomassie® Blue Staining.

Endotoxin Level

<0.10 EU per 1 μg of the protein by the LAL method.

Predicted Molecular Mass

22 kDa

SDS-PAGE

25-36 kDa, under reducing conditions

Activity

Measured by its binding ability in a functional ELISA.
When Normal Human IgG is immobilized at 10 μg/mL (100 µL/well), the concentration of Biotinylated Recombinant Human Fc gamma RIIB/C (CD32b/c) His-tag Avi-tag (Catalog # AVI1875) that produces 50% of the optimal binding response is found to be approximately 0.5-3.0 µg/mL.

Scientific Data Images for Recombinant Human Fc gamma RIIB/CD32b Avi-tag Protein, CF

Recombinant Human Fc gamma RIIB/CD32b Avi-tag Protein Binding Activity

Recombinant Human Fc gamma RIIB/CD32b Avi-tag Protein Binding Activity

When Normal Human IgG is immobilized at 10 μg/mL (100 μL/well), the concentration of Biotinylated Recombinant Human Fc gamma RIIB/CD32b His-tag Avi-tag (Catalog # AVI1875) that produces 50% of the optimal binding response is found to be approximately 0.5-3.0 μg/mL.
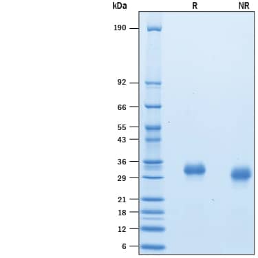
Recombinant Human Fc gamma RIIB/CD32b Avi-tag Protein SDS-PAGE

Recombinant Human Fc gamma RIIB/CD32b Avi-tag Protein SDS-PAGE

2 μg/lane of Biotinylated Recombinant Human Fc gamma RIIB/C (CD32b/c) His-tag Avi-tag (Catalog # AVI1875) was resolved with SDS-PAGE under reducing (R) and non-reducing (NR) conditions and visualized by Coomassie® Blue staining, showing bands at 28-36 kDa.

Formulation, Preparation and Storage

AVI1875
Formulation Lyophilized from a 0.2 μm filtered solution in PBS with Trehalose.
Reconstitution Reconstitute at 500 μg/mL in PBS.
Shipping The product is shipped at ambient temperature. Upon receipt, store it immediately at the temperature recommended below.
Stability & Storage Use a manual defrost freezer and avoid repeated freeze-thaw cycles.
  • 12 months from date of receipt, -20 to -70 °C as supplied.
  • 1 month, 2 to 8 °C under sterile conditions after reconstitution.
  • 3 months, -70 °C under sterile conditions after reconstitution.

Background: Fc gamma RIIB/C (CD32b/c)

Receptors for the Fc region of IgG (Fc gamma Rs) are members of the Ig superfamily that function in the activation or inhibition of immune responses such as degranulation, phagocytosis, ADCC (antibody-dependent cellular toxicity), cytokine release, and B cell proliferation (1-3). The Fc gamma Rs have been divided into three classes based on close relationships in their extracellular domains; these groups are designated Fc gamma RI (also known as CD64), Fc gamma RII (CD32), and Fc gamma RIII (CD16). Each group may be encoded by multiple genes and exist in different isoforms depending on species and cell type. The CD64 proteins are high affinity receptors (~10-8-10-9 M) capable of binding monomeric IgG, whereas the CD16 and CD32 proteins bind IgG with lower affinities (~10-6-10-7 M) only recognizing IgG aggregates surrounding multivalent antigens (1, 4). Fc gamma Rs that deliver an activating signal either have an intrinsic immunoreceptor tyrosine-based activation motif (ITAM) within their cytoplasmic domains or associate with one of the ITAM-bearing adapter subunits, FcR gamma or zeta (3, 5). The only inhibitory member in human and mouse, Fc gamma RIIB, has an intrinsic cytoplasmic immunoreceptor tyrosine-based inhibitory motif (ITIM). The coordinated functioning of activating and inhibitory receptors is necessary for successful initiation, amplification, and termination of immune responses (5).

Three distinct genes encode the human CD32 group, and the protein products are designated Fc gamma RIIA, B, and C (1). These receptors are glycoproteins of approximately 40 kDa having two extracellular Ig-like domains. The Fc gamma RII proteins share 94-99% amino acid identity in their extracellular domains but differ substantially in their transmembrane and cytoplasmic domains. Fc gamma RIIA associates with FcR gamma, and delivers an activating signal upon ligand binding (3, 5). In contrast, Fc gamma RIIB delivers an inhibitory signal. Fc gamma RIIC represents an unequal cross-over event between the IIA and IIB genes. Its extracellular domain shares 99% amino acid identity with Fc gamma RIIB, but a portion of the cytoplasmic domain is closely related to Fc gamma RIIA. Fc gamma RII proteins are expressed on cells of both myeloid and lymphoid lineages as well as on cells of non-hematopoietic origin.

References

  1. van de Winkel, J. and P. Capes (1993) Immunol. Today 14:215. 
  2. Raghaven, M. and P. Bjorkman (1996) Annu. Rev. Cell Dev. Biol. 12:181. 
  3. Ravetch, J. and S. Bolland (2001) Annu. Rev. Immunol. 19:275.
  4. Takai, T. (2002) Nature Rev. Immunol. 2:580.
  5. Ravetch, J. and L. Lanier (2000) Science 290:84.

Long Name

Fc gamma Receptor IIB/C

Alternate Names

CD32;CD32B;FCG2;FcgammaRIIb;FCGR2;FCGR2B;FCGR2C;FcGRIIB;FcRII-c;IGFR2;Low affinity immunoglobulin gamma Fc region receptor II-b

Entrez Gene IDs

2213 (Human); 14130 (Mouse)

Gene Symbol

FCGR2B

UniProt

Additional Fc gamma RIIB/C (CD32b/c) Products

Product Documents for Recombinant Human Fc gamma RIIB/CD32b Avi-tag Protein, CF

Certificate of Analysis

To download a Certificate of Analysis, please enter a lot number in the search box below.

Note: Certificate of Analysis not available for kit components.

Product Specific Notices for Recombinant Human Fc gamma RIIB/CD32b Avi-tag Protein, CF

For research use only

Loading...
Loading...
Loading...