Recombinant Human CD5 Fc Chimera Avi-tag Protein, CF
R&D Systems, part of Bio-Techne | Catalog # AVI11369
Biotinylated
Key Product Details
- R&D Systems HEK293-derived Recombinant Human CD5 Fc Chimera Avi-tag Protein (AVI11369)
- Quality control testing to verify active proteins with lot specific assays by in-house scientists
- All R&D Systems proteins are covered with a 100% guarantee
Source
HEK293
Accession #
Structure / Form
Disulfide-linked homodimer
Biotinylated via Avi-tag
Biotinylated via Avi-tag
Conjugate
Biotin
Applications
Bioactivity
Product Specifications
Source
Human embryonic kidney cell, HEK293-derived human CD5 protein
| Human CD5 (Arg25-Asn371) Accession # P06127.2 |
IEGRMD | Human IgG1 (Pro100-Lys330) |
Avi-tag |
| N-terminus | C-terminus | ||
Purity
>95%, by SDS-PAGE visualized with Silver Staining and quantitative densitometry by Coomassie® Blue Staining.
Endotoxin Level
<0.10 EU per 1 μg of the protein by the LAL method.
N-terminal Sequence Analysis
Arg25
Predicted Molecular Mass
67 kDa
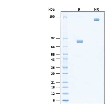
SDS-PAGE
77-85 kDa, under reducing conditions.
Activity
Measured by its binding ability in a functional ELISA.
When Human CD5 Antibody (Catalog # MAB16361) is immobilized at 0.500 µg/mL (100 µL/well), Biotinylated Recombinant Human CD5 Fc Chimera Avi-tag (Catalog # AVI1636) binds with an ED50 of 0.800-8.00 ng/mL.
When Human CD5 Antibody (Catalog # MAB16361) is immobilized at 0.500 µg/mL (100 µL/well), Biotinylated Recombinant Human CD5 Fc Chimera Avi-tag (Catalog # AVI1636) binds with an ED50 of 0.800-8.00 ng/mL.
Scientific Data Images for Recombinant Human CD5 Fc Chimera Avi-tag Protein, CF
Biotinylated Recombinant Human CD5 Fc Chimera Avi-tag Protein Binding Activity.
Measured by its binding ability in a functional ELISA. When Human CD5 Antibody (MAB16361) is immobilized at 0.500 µg/mL (100 µL/well), Biotinylated Recombinant Human CD5 Fc Chimera Avi-tag Protein (Catalog # AVI11369) binds with an ED50 of 0.800-8.00 ng/mL.Biotinylated Recombinant Human CD5 Fc Chimera Avi-tag Protein SDS-PAGE.
2 μg/lane of Biotinylated Recombinant Human CD5 Fc Chimera Avi-tag Protein (Catalog # AVI11369) was resolved with SDS-PAGE under reducing (R) and non-reducing (NR) conditions and visualized by Coomassie® Blue staining, showing bands at 77-85 kDa and 150-170 kDa, respectively.Formulation, Preparation and Storage
AVI11369
| Formulation | Lyophilized from a 0.2 μm filtered solution in PBS with Trehalose. |
| Reconstitution | Reconstitute at 500 μg/mL in PBS. |
| Shipping | The product is shipped at ambient temperature. Upon receipt, store it immediately at the temperature recommended below. |
| Stability & Storage | Use a manual defrost freezer and avoid repeated freeze-thaw cycles.
|
Background: CD5
References
- Soldevila, G. et al. (2011) Curr. Opin. Immunol. 23:310.
- Jones, N.H. et al. (1986) Nature 323:346.
- Calvo, J. et al. (1999) Tissue Antigens 54:128.
- Brown, M.H. and E. Lacey (2010) J. Immunol. 185:6068.
- Van de Velde, H. et al. (1991) Nature 351:662.
- Vera, J. et al. (2009) Proc. Natl. Acad. Sci. 106:1506.
- Azzam, H.S. et al. (1998) J. Exp. Med. 188:2301.
- Hawiger, D. et al. (2004) Immunity 20:695.
- Tarakhovsky, A. et al. (1995) Science 269:535.
- Friedlein, G. et al. (2007) J. Immunol. 178:6821.
- Ordonez-Rueda, D. et al. (2009) Eur. J. Immunol. 39:2233.
- de Wit, J. et al. (2011) Blood 118:6107.
- Bikah, G. et al. (1996) Science 274:1906.
- Hippen, K.L. et al. (2000) J. Exp. Med. 191:883.
- Yanaba, K. et al. (2008) Immunity 28:639.
- Gary-Gouy, H. et al. (2002) Blood 100:4537.
- Renaudineau, Y. et al. (2005) Blood 106:2781.
- Sarhan, M.A. et al. (2012) J. Virol. Epub.
Alternate Names
CD5
Gene Symbol
CD5
UniProt
Additional CD5 Products
Product Documents for Recombinant Human CD5 Fc Chimera Avi-tag Protein, CF
Product Specific Notices for Recombinant Human CD5 Fc Chimera Avi-tag Protein, CF
For research use only
Loading...
Loading...
Loading...