Skip to main content

Recombinant Human Apolipoprotein E/ApoE-kyoto Protein, CF

R&D Systems, part of Bio-Techne | Catalog # 11780-AE

R&D Systems, part of Bio-Techne
Catalog #
Availability
Size / Price
Qty
Loading...
11780-AE-100

Key Product Details

Source

HEK293

Accession #

Conjugate

Unconjugated

Applications

Bioactivity

Product Specifications

Source

Human embryonic kidney cell, HEK293-derived human Apolipoprotein E/ApoE protein
Lys19-His318, Arg 43 Cys

Purity

>90%, by SDS-PAGE visualized with Silver Staining and quantitative densitometry by Coomassie® Blue Staining.

Endotoxin Level

<0.10 EU per 1 μg of the protein by the LAL method.

N-terminal Sequence Analysis

Lys19

Predicted Molecular Mass

34 kDa

SDS-PAGE

34-40 kDa, under reducing conditions.

Activity

Measured by its binding ability in a functional ELISA.
Recombinant Human Apolipoprotein E/ApoE-kyoto binds to Recombinant Human VLDLR Protein (Catalog # 8444-VL) with an ED50 of 0.0500‑0.500 μg/mL.

Scientific Data Images for Recombinant Human Apolipoprotein E/ApoE-kyoto Protein, CF

Recombinant Human Apolipoprotein E/ApoE-kyoto Protein Binding Activity.

Measured by its binding ability in a functional ELISA. Recombinant Human Apolipoprotein E/ApoE-kyoto Protein (Catalog # 11780-AE) binds to Recombinant Human VLDLR Protein (8444-VL) with an ED50 of 0.0500-0.500 μg/mL.

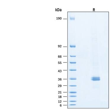
Recombinant Human Apolipoprotein E/ApoE-kyoto Protein SDS-PAGE.

2 μg/lane of (Catalog # 11780-AE) was resolved with SDS-PAGE under reducing (R) condition and visualized by Coomassie® Blue staining, showing bands at 34-40 kDa.

Formulation, Preparation and Storage

11780-AE
Formulation Lyophilized from a 0.2 μm filtered solution in MOPS, NaCl and TCEP with Trehalose.
Reconstitution Reconstitute at 100 μg/mL in water.
Shipping The product is shipped at ambient temperature. Upon receipt, store it immediately at the temperature recommended below.
Stability & Storage Use a manual defrost freezer and avoid repeated freeze-thaw cycles.
  • 12 months from date of receipt, -20 to -70 °C as supplied.
  • 1 month, 2 to 8 °C under sterile conditions after reconstitution.
  • 3 months, -20 to -70 °C under sterile conditions after reconstitution.

Background: Apolipoprotein E/ApoE

Apolipoprotein E (ApoE) is a polymorphic lipid-transport protein with three major human isoforms-ApoE2, ApoE3, and ApoE4-differing by single amino acid substitutions at residues 112 and 158, which significantly alter their structure and function [1, 2].  All isoforms share a two-domain structure: the N-terminal domain mediates receptor binding, while the C-terminal domain facilitates lipid binding and oligomerization [2]. ApoE3 (Cys112/Arg158) is the most common and functionally neutral isoform, while ApoE2 (Cys112/Cys158) has reduced affinity for LDL receptors, often leading to type III hyperlipoproteinemia in homozygotes [1, 4]. ApoE4 (Arg112/Arg158) exhibits a more compact and less stable structure due to domain interaction, predisposing it to pathological effects in the brain [2, 5]. Functionally, ApoE isoforms differentially regulate neuronal metabolism: ApoE2 enhances glycolytic activity and hexokinase expression, promoting neuroprotection, whereas ApoE4 impairs these pathways, increasing vulnerability to aging and Alzheimer's disease (AD) [1]. Recent transcriptomic and epigenomic profiling of human microglia in an AD xenotransplantation model revealed that ApoE isoforms distinctly shape gene expression and chromatin accessibility. ApoE4 drives pro-inflammatory and neurodegenerative signatures, while ApoE2 supports homeostatic microglial states [3]. Clinically, ApoE genotyping is widely used to assess AD risk, with ApoE4 being the strongest genetic risk factor and ApoE2 offering relative protection [4, 5]. Therapeutic strategies targeting ApoE include isoform-specific modulation and gene editing. Additionally, ApoE isoforms are valuable tools in translational research for drug screening, biomarker discovery, and personalized medicine [4]. ApoE2-Kyoto (Cys25/Cys112/Arg158), a rare variant of ApoE2, has been linked to lipoprotein glomerulopathy and demonstrates altered receptor-binding and lipid-handling properties [6].

References

  1. Zhang, X. et al. (2023) Cells 12:410.
  2. Horn, J.V.C. et al. (2023) Mol Cell Biochem 478:173.
  3. Murphy, K.B. et al. (2025) Nat Commun 16:4883.
  4. Mahley, R.W. et al. (2012) J Lipid Res 53:539.
  5. Liu, C.C. et al. (2013) Nat Rev Neurol  9:106.
  6. Matsunaga, A. et al. (1999) Kidney International 56:421.

Alternate Names

APOE

Entrez Gene IDs

348 (Human); 11816 (Mouse); 25728 (Rat)

Gene Symbol

APOE

UniProt

Additional Apolipoprotein E/ApoE Products

Product Documents for Recombinant Human Apolipoprotein E/ApoE-kyoto Protein, CF

Certificate of Analysis

To download a Certificate of Analysis, please enter a lot number in the search box below.

Note: Certificate of Analysis not available for kit components.

Product Specific Notices for Recombinant Human Apolipoprotein E/ApoE-kyoto Protein, CF

For research use only

Loading...
Loading...
Loading...