Skip to main content

Recombinant Cynomolgus Monkey EpCAM/TROP1 Fc Protein, CF

R&D Systems, part of Bio-Techne | Catalog # 10406-EP

Cynomolgus Monkey/Rhesus Macaque
R&D Systems, part of Bio-Techne
Catalog #
Availability
Size / Price
Qty
Loading...
10406-EP-050

Key Product Details

  • R&D Systems CHO-derived Recombinant Cynomolgus Monkey EpCAM/TROP1 Fc Protein (10406-EP)
  • Quality control testing to verify active proteins with lot specific assays by in-house scientists
  • All R&D Systems proteins are covered with a 100% guarantee

Source

CHO

Accession #

Structure / Form

Disulfide-linked homodimer

Conjugate

Unconjugated

Applications

Bioactivity

Product Specifications

Source

Chinese Hamster Ovary cell line, CHO-derived cynomolgus monkey EpCAM/TROP1 protein
Cynomolgus Monkey EpCAM/TROP-1
(Gln24-Lys265)
Accession # NP_001035118.1
IEGRMD Human IgG1
(Pro100-Lys330)
N-terminus C-terminus

Purity

>95%, by SDS-PAGE visualized with Silver Staining and quantitative densitometry by Coomassie® Blue Staining.

Endotoxin Level

<0.10 EU per 1 μg of the protein by the LAL method.

N-terminal Sequence Analysis

Gln24, blocked, deduced from Lys25 upon deblocking


Predicted Molecular Mass

54 kDa

SDS-PAGE

60-66 kDa, under reducing conditions

Activity

Measured by the ability of the immobilized protein to support the adhesion of the L Cells mouse fibroblast cell line.
The ED50 for this effect is 0.3-1.8 μg/mL.

Scientific Data Images for Recombinant Cynomolgus Monkey EpCAM/TROP1 Fc Protein, CF

Recombinant Cynomolgus Monkey EpCAM/TROP1 Fc Protein Bioactivity

Recombinant Cynomolgus Monkey EpCAM/TROP1 Fc Protein Bioactivity

Immobilized Recombinant Cynomolgus Monkey EpCAM/TROP-1 His-tag protein (Catalog # 10406-EP) supports the adhesion of L Cells mouse fibroblast cells. The ED50 for this effect is 0.3-1.8 μg/mL.
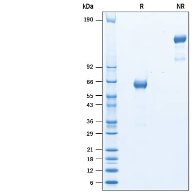
Recombinant Cynomolgus Monkey EpCAM/TROP1 Fc Protein SDS-PAGE

Recombinant Cynomolgus Monkey EpCAM/TROP1 Fc Protein SDS-PAGE

2 μg/lane of Recombinant Cynomolgus Monkey EpCAM/TROP-1 His-tag (Catalog # 10406-EP) was resolved with SDS-PAGE under reducing (R) and non-reducing (NR) conditions and visualized by Coomassie® Blue staining, showing bands at 60-66 kDa and 120-150 kDa, respectively.

Formulation, Preparation and Storage

10406-EP
Formulation Lyophilized from a 0.2 μm filtered solution in PBS.
Reconstitution Reconstitute at 500 μg/mL in PBS.
Shipping The product is shipped at ambient temperature. Upon receipt, store it immediately at the temperature recommended below.
Stability & Storage Use a manual defrost freezer and avoid repeated freeze-thaw cycles.
  • 12 months from date of receipt, -20 to -70 °C as supplied.
  • 1 month, 2 to 8 °C under sterile conditions after reconstitution.
  • 3 months, -20 to -70 °C under sterile conditions after reconstitution.

Background: EpCAM/TROP1

Epithelial Cellular Adhesion Molecule (EpCAM), also known as KS1/4, gp40, GA733-2, 17-1A, and TROP-1, is a 40 kDa transmembrane glycoprotein. Based on its similarity with human EpCAM, Cynomolgus EpCAM is predicted to consist of a 242 amino acid (aa) extracellular domain with two epidermal ­growth­ factor ­like (EGF ­like) repeats within the cysteine­ rich N-­terminal region, a 23 aa transmembrane domain, and a 26 aa cytoplasmic domain. Cynomolgus and human EpCAM share 93% aa sequence identity (1). During embryonic development, EpCAM is detected in fetal lung, kidney, liver, pancreas, skin, and germ cells. In adults, human EpCAM is expressed on basolateral cell membranes of all simple, pseudo-stratified, and transitional epithelia but not on normal squamous stratified epithelia, mesenchymal tissue, muscular tissue, neuro-endocrine tissue, or lymphoid tissue (2). It is additionally expressed on undifferentiated embryonic stem cells, thymocytes, and dendritic cells (3-5). It is up-regulated on actively proliferating epithelial tissues, during adult liver regeneration, and on many epithelial cell-derived carcinomas (2, 6). EpCAM functions as a homophilic cell adhesion molecule (7). It associates into tetramers and forms complexes in cis with Claudin-7, CD44v6, TSPAN8, CD9, Integrin alpha 3, and Annexin A1 (8-11) that can interfere with cell adhesion (12, 13). Proteolytic cleavage of EpCAM releases multiple fragments from the ECD as well as a cytoplasmic fragment that can regulate gene transcription (14-16).

References

  1. Strnad, J. et al. (1989) Cancer Res. 49:314.
  2. Schnell, U. et al. (2013) Biochim. Biophys. Acta 1828:1989.
  3. Ng, V.Y. et al. (2010) Stem Cells 28:29.
  4. Nelson, A.J. et al. (1996) Eur. J. Immunol. 26:401.
  5. Borkowski, T.A. et al. (1996) Eur. J. Immunol. 26:110.
  6. de Boer, C.J. et al. (1999) J. Pathol. 188:201.
  7. Litvinov, S.V. et al. (1994) J. Cell Biol. 125:437.
  8. Balzar, M. et al. (2001) Mol. Cell. Biol. 21:2570.
  9. Nubel, T. et al. (2009) Mol. Cancer Res. 7:285.
  10. Kuhn, S. et al. (2007) Mol. Cancer Res. 5:553.
  11. Schmidt, D.S. et al. (2004) Exp. Cell Res. 297:329.
  12. Litvinov, S.V. et al. (1997) J. Cell Biol. 139:1337.
  13. Gaiser, M.R. et al. (2012) Proc. Natl. Acad. Sci. USA 109:E889.
  14. Schnell, U. et al. (2013) Biosci. Rep. 33:e00030.
  15. Schon, M.P. et al. (1993) Int. J. Cancer 55:988.
  16. Maetzel, D. et al. (2009) Nat. Cell Biol. 11:162.

Long Name

Epithelial Cell Adhesion Molecule

Alternate Names

17-1A, CD326, GA733-2, gp40, KS1/4, M4S1, TACSTD1, TROP1

Entrez Gene IDs

4072 (Human); 17075 (Mouse); 171577 (Rat); 102123042 (Cynomolgus Monkey)

Gene Symbol

EPCAM

UniProt

Additional EpCAM/TROP1 Products

Product Documents for Recombinant Cynomolgus Monkey EpCAM/TROP1 Fc Protein, CF

Certificate of Analysis

To download a Certificate of Analysis, please enter a lot number in the search box below.

Note: Certificate of Analysis not available for kit components.

Product Specific Notices for Recombinant Cynomolgus Monkey EpCAM/TROP1 Fc Protein, CF

For research use only

Loading...
Loading...
Loading...