Skip to main content

ZSWIM1 Antibody - BSA Free

Novus Biologicals, part of Bio-Techne | Catalog # NBP2-13607

Novus Biologicals, part of Bio-Techne
Catalog #
Availability
Size / Price
Qty
Loading...
NBP2-13607
NBP2-13607-25ul

Key Product Details

Species Reactivity

Human

Applications

Immunohistochemistry, Immunohistochemistry-Paraffin, Western Blot

Label

Unconjugated

Antibody Source

Polyclonal Rabbit IgG

Format

BSA Free

Concentration

Concentrations vary lot to lot. See vial label for concentration. If unlisted please contact technical services.

Product Specifications

Immunogen

This antibody was developed against a recombinant protein corresponding to the amino acids: LPELHSHWLLNDRIWLAHRWRSRAESSHYFQSLEVTTHILSQFFGTTPSEKQGMASLFRYMQQNSADKANFNQGLCAQNNHAPSDTIPESPKLE

Clonality

Polyclonal

Host

Rabbit

Isotype

IgG

Description

Novus Biologicals Rabbit ZSWIM1 Antibody - BSA Free (NBP2-13607) is a polyclonal antibody validated for use in IHC and WB. All Novus Biologicals antibodies are covered by our 100% guarantee.

Scientific Data Images for ZSWIM1 Antibody - BSA Free

Western Blot: ZSWIM1 Antibody [NBP2-13607]

Western Blot: ZSWIM1 Antibody [NBP2-13607]

Western Blot: ZSWIM1 Antibody [NBP2-13607] - Lane 1: Marker [kDa] 250, 130, 95, 72, 55, 36, 28, 17, 10. Lane 2: Human cell line RT-4. Lane 3: Human cell line U-251MG sp. Lane 4: Human plasma (IgG/HSA depleted). Lane 5: Human liver tissue. Lane 6: Human tonsil tissue
Immunohistochemistry-Paraffin: ZSWIM1 Antibody [NBP2-13607]

Immunohistochemistry-Paraffin: ZSWIM1 Antibody [NBP2-13607]

Immunohistochemistry-Paraffin: ZSWIM1 Antibody [NBP2-13607] - Staining of human epididymis shows cytoplasmic positivity in glandular cells.
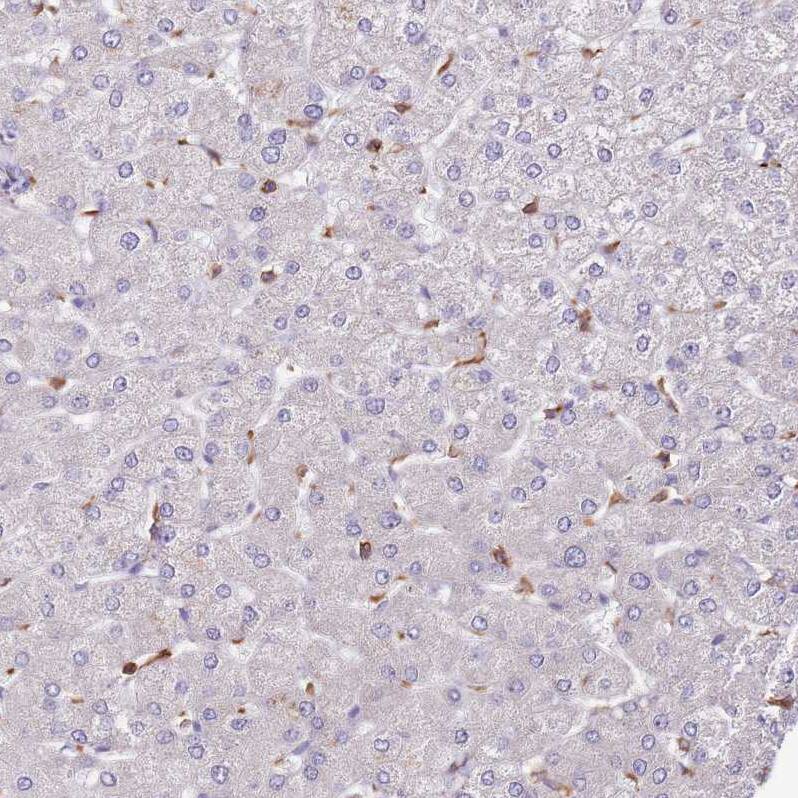
ZSWIM1 Antibody - BSA Free Immunohistochemistry: ZSWIM1 Antibody - BSA Free [NBP2-13607]

Immunohistochemistry: ZSWIM1 Antibody - BSA Free [NBP2-13607]

Staining of human liver shows no positivity in hepatocytes as expected.

Applications for ZSWIM1 Antibody - BSA Free

Application
Recommended Usage

Immunohistochemistry

1:50 - 1:200

Immunohistochemistry-Paraffin

1:50-1:200

Western Blot

0.04-0.4 ug/ml
Application Notes
For IHC-Paraffin, HIER pH 6 retrieval is recommended. Immunocytochemistry/Immunofluorescence Fixation Permeabilization: Use PFA/Triton X-100.

Formulation, Preparation, and Storage

Purification

Immunogen affinity purified

Formulation

PBS (pH 7.2) and 40% Glycerol

Format

BSA Free

Preservative

0.02% Sodium Azide

Concentration

Concentrations vary lot to lot. See vial label for concentration. If unlisted please contact technical services.

Shipping

The product is shipped with polar packs. Upon receipt, store it immediately at the temperature recommended below.

Stability & Storage

Store at 4C short term. Aliquot and store at -20C long term. Avoid freeze-thaw cycles.

Background: ZSWIM1

Alternate Names

FLJ10036, FLJ16343, homolog of Drosophila Zwilch, hZwilch, KNTC1AP, MGC111034, protein zwilch homolog, Zwilch, kinetochore associated, homolog (Drosophila)

Gene Symbol

ZSWIM1

Additional ZSWIM1 Products

Product Documents for ZSWIM1 Antibody - BSA Free

Certificate of Analysis

To download a Certificate of Analysis, please enter a lot number in the search box below.

Product Specific Notices for ZSWIM1 Antibody - BSA Free

This product is for research use only and is not approved for use in humans or in clinical diagnosis. Primary Antibodies are guaranteed for 1 year from date of receipt.

Loading...
Loading...
Loading...
Loading...