Skip to main content

ZSCAN4 Antibody - BSA Free

Novus Biologicals, part of Bio-Techne | Catalog # NBP1-77120

Novus Biologicals, part of Bio-Techne

Key Product Details

Species Reactivity

Validated:

Human, Mouse, Rat

Cited:

Human

Applications

Validated:

Immunohistochemistry, Immunohistochemistry-Paraffin, Western Blot, ELISA, Immunocytochemistry/ Immunofluorescence

Cited:

Immunocytochemistry/ Immunofluorescence

Label

Unconjugated

Antibody Source

Polyclonal Rabbit IgG

Format

BSA Free

Concentration

1 mg/ml

Product Specifications

Immunogen

Antibody was raised against an 18 amino acid synthetic peptide near the carboxy terminus of human ZSCAN4. The immunogen is located within amino acids 370 - 420 of ZSCAN4. Amino Acid Squence: HKTNLRSHERIHTGEKPY

Reactivity Notes

Immunogen displays the following percentage of sequence identity for non-tested species: Bovine (81%), Chicken (86%).

Clonality

Polyclonal

Host

Rabbit

Isotype

IgG

Theoretical MW

64 kDa.
Disclaimer note: The observed molecular weight of the protein may vary from the listed predicted molecular weight due to post translational modifications, post translation cleavages, relative charges, and other experimental factors.

Description

Novus Biologicals Rabbit ZSCAN4 Antibody - BSA Free (NBP1-77120) is a polyclonal antibody validated for use in IHC, WB, ELISA and ICC/IF. Anti-ZSCAN4 Antibody: Cited in 1 publication. All Novus Biologicals antibodies are covered by our 100% guarantee.

Scientific Data Images for ZSCAN4 Antibody - BSA Free

Western Blot: ZSCAN4 AntibodyBSA Free [NBP1-77120]

Western Blot: ZSCAN4 AntibodyBSA Free [NBP1-77120]

Western Blot: ZSCAN4 Antibody [NBP1-77120] - Mouse lung tissue lysate with ZSCAN4 antibody in (A) the absence and (B) presence of peptide blocking.
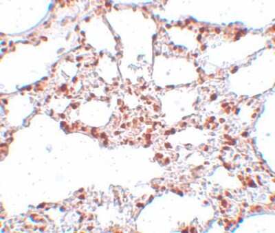
Immunohistochemistry-Paraffin: ZSCAN4 Antibody - BSA Free [NBP1-77120]

Immunohistochemistry-Paraffin: ZSCAN4 Antibody - BSA Free [NBP1-77120]

Immunohistochemistry-Paraffin: ZSCAN4 Antibody [NBP1-77120] - Rat lung tissue with ZSCAN4 antibody at 5 ug/mL.
ZSCAN4 Antibody - BSA Free

Immunocytochemistry/ Immunofluorescence: ZSCAN4 Antibody - BSA Free [NBP1-77120] -

Immunocytochemistry/ Immunofluorescence: ZSCAN4 Antibody - BSA Free [NBP1-77120] - Immunofluorescence of ZSCAN4 in Rat Lung tissue with ZSCAN4 antibody at 20 ug/mL.

Applications for ZSCAN4 Antibody - BSA Free

Application
Recommended Usage

ELISA

1:100-1:2000

Immunocytochemistry/ Immunofluorescence

20 ug/mL

Immunohistochemistry

5 ug/ml

Immunohistochemistry-Paraffin

5 ug/ml

Western Blot

1:100-1:2000

Formulation, Preparation, and Storage

Purification

Peptide affinity purified

Formulation

PBS

Format

BSA Free

Preservative

0.02% Sodium Azide

Concentration

1 mg/ml

Shipping

The product is shipped with polar packs. Upon receipt, store it immediately at the temperature recommended below.

Stability & Storage

Store at 4C.

Background: ZSCAN4

Zytotic genome activation (ZGA) is the first and most critical transition event from the maternal genetic to the embryonic genetic program and the major burst of ZGA occurs only in the late 2-cell stage. ZSCAN4 encodes a SCAN domain and four zinc finger domains and is expressed in late 2-cell embryos and embryonic stem cells. Loss-of-function studies using siRNA shows delays in the progression from the 2-cell to the 4-cell stage and subsequent embryo development. ZSCAN4 plays an important role in the preimplantation development. Also, ZSCAN4 is involved in telomere maintenance and long term genomic stability in ES cells, suggesting that ZSCAN4 may be of critical importance in maintaining pluripotency in replicating stem cells.

Long Name

Zinc Finger and SCAN Domain Containing 4

Alternate Names

ZNF494

Gene Symbol

ZSCAN4

Additional ZSCAN4 Products

Product Documents for ZSCAN4 Antibody - BSA Free

Certificate of Analysis

To download a Certificate of Analysis, please enter a lot number in the search box below.

Product Specific Notices for ZSCAN4 Antibody - BSA Free

This product is for research use only and is not approved for use in humans or in clinical diagnosis. Primary Antibodies are guaranteed for 1 year from date of receipt.

Loading...
Loading...
Loading...
Loading...