Skip to main content

ZNRF3 Antibody - BSA Free

Novus Biologicals, part of Bio-Techne | Catalog # NBP3-03924

Novus Biologicals, part of Bio-Techne
Catalog #
Availability
Size / Price
Qty
Loading...
NBP3-03924-20ul
NBP3-03924-100ul

Key Product Details

Species Reactivity

Human, Mouse, Rat

Applications

Immunohistochemistry, Immunohistochemistry-Paraffin, Western Blot, ELISA

Label

Unconjugated

Antibody Source

Polyclonal Rabbit IgG

Format

BSA Free

Concentration

Please see the vial label for concentration. If unlisted please contact technical services.

Product Specifications

Immunogen

A synthetic peptide corresponding to a sequence within amino acids 100-200 of human ZNRF3 (NP_001193927.1). MHPLGLCNNNDEEDLYEYGWVGVVKLEQPELDPKPCLTVLGKAKRAVQRGATAVIFDVSENPEAIDQLNQGSEDPLKRPVVYVKGADAIKLMNIVNKQKVA

Clonality

Polyclonal

Host

Rabbit

Isotype

IgG

Theoretical MW

100 kDa.
Disclaimer note: The observed molecular weight of the protein may vary from the listed predicted molecular weight due to post translational modifications, post translation cleavages, relative charges, and other experimental factors.

Description

Novus Biologicals Rabbit ZNRF3 Antibody - BSA Free (NBP3-03924) is a polyclonal antibody validated for use in IHC, WB and ELISA. Anti-ZNRF3 Antibody: Cited in 1 publication. All Novus Biologicals antibodies are covered by our 100% guarantee.

Scientific Data Images for ZNRF3 Antibody - BSA Free

Western Blot: ZNRF3 AntibodyAzide and BSA Free [NBP3-03924]

Western Blot: ZNRF3 AntibodyAzide and BSA Free [NBP3-03924]

Western Blot: ZNRF3 Antibody [NBP3-03924] - Analysis of extracts of Mouse testis, using ZNRF3 antibody at 1:3416 dilution.Secondary antibody: HRP Goat Anti-Rabbit IgG (H+L) at 1:10000 dilution.Lysates/proteins: 25ug per lane. Blocking buffer: 3% nonfat dry milk in TBST.Detection: ECL Basic Kit. Exposure time: 180s.
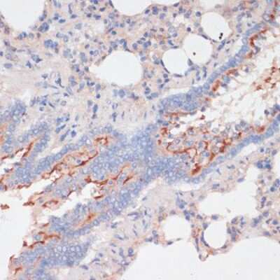
Immunohistochemistry-Paraffin: ZNRF3 Antibody - Azide and BSA Free [NBP3-03924]

Immunohistochemistry-Paraffin: ZNRF3 Antibody - Azide and BSA Free [NBP3-03924]

Immunohistochemistry-Paraffin: ZNRF3 Antibody [NBP3-03924] - Rat lung using ZNRF3 antibody at dilution of 1:100 (40x lens).Perform microwave antigen retrieval with 10 mM PBS buffer pH 7.2 before commencing with IHC staining protocol.
Immunohistochemistry-Paraffin: ZNRF3 Antibody - Azide and BSA Free [NBP3-03924]

Immunohistochemistry-Paraffin: ZNRF3 Antibody - Azide and BSA Free [NBP3-03924]

Immunohistochemistry-Paraffin: ZNRF3 Antibody [NBP3-03924] - Human liver using ZNRF3 antibody at dilution of 1:100 (40x lens).Perform microwave antigen retrieval with 10 mM PBS buffer pH 7.2 before commencing with IHC staining protocol.

Applications for ZNRF3 Antibody - BSA Free

Application
Recommended Usage

Immunohistochemistry

1:50-1:200

Western Blot

1:1000 - 1:5000

Formulation, Preparation, and Storage

Purification

Affinity purified

Formulation

PBS (pH 7.3), 50% glycerol

Format

BSA Free

Preservative

0.09% Sodium Azide

Concentration

Please see the vial label for concentration. If unlisted please contact technical services.

Shipping

The product is shipped with polar packs. Upon receipt, store it immediately at the temperature recommended below.

Stability & Storage

Store at -20C. Avoid freeze-thaw cycles.

Background: ZNRF3

The cell-surface transmembrane E3 ubiquitin ligase zinc and ring finger 3 (ZNRF3) and its homologue ring finger 43 (RNF43) are negative feedback regulators of Wnt signaling. ZNRF3 is associated with the Wnt receptor complex, and inhibits Wnt signaling by promoting the turnover of frizzled and LRP6. R-spondin may enhance Wnt signaling by inhibiting ZNRF3. ZNRF3 may be a target for therapeutic exploration.

Long Name

Zinc and Ring Finger 3

Alternate Names

BK747E2.3, KIAA1133, RNF203

Gene Symbol

ZNRF3

Additional ZNRF3 Products

Product Documents for ZNRF3 Antibody - BSA Free

Certificate of Analysis

To download a Certificate of Analysis, please enter a lot number in the search box below.

Product Specific Notices for ZNRF3 Antibody - BSA Free

This product is for research use only and is not approved for use in humans or in clinical diagnosis. Primary Antibodies are guaranteed for 1 year from date of receipt.

Loading...
Loading...
Loading...
Loading...