ZNF828 Antibody - BSA Free
Novus Biologicals, part of Bio-Techne | Catalog # NBP1-88403
Key Product Details
Validated by
Independent Antibodies
Species Reactivity
Human
Applications
Immunohistochemistry, Immunohistochemistry-Paraffin, Immunocytochemistry/ Immunofluorescence
Label
Unconjugated
Antibody Source
Polyclonal Rabbit IgG
Format
BSA Free
Concentration
Concentrations vary lot to lot. See vial label for concentration. If unlisted please contact technical services.
Product Specifications
Immunogen
This antibody was developed against Recombinant Protein corresponding to amino acids: IWKPVLSIDTEPRKPALFPEPAKTAPPASPEARKRALFPEPRKHALFPELPKSALFSESQKAVELGDELQIDAIDDQKCDILVQEELLASPKKLLEDTLFPSSKKLKKDNQESSDAELSSSEYIKTDLDAMDI
Clonality
Polyclonal
Host
Rabbit
Isotype
IgG
Scientific Data Images for ZNF828 Antibody - BSA Free
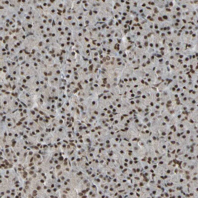
Immunocytochemistry/ Immunofluorescence: ZNF828 Antibody - BSA Free [NBP1-88403]
Staining of human cell line A-431 shows localization to nucleoplasm.Immunohistochemistry-Paraffin: ZNF828 Antibody - BSA Free [NBP1-88403]
Staining of human lymph node shows strong nuclear positivity in non-germinal center cells and germinal center cells.Applications for ZNF828 Antibody - BSA Free
Application
Recommended Usage
Immunocytochemistry/ Immunofluorescence
0.25-2 ug/ml
Immunohistochemistry
1:50 - 1:200
Immunohistochemistry-Paraffin
1:50 - 1:200
Application Notes
For IHC-Paraffin, HIER pH 6 retrieval is recommended. Immunocytochemistry/Immunofluorescence Fixation Permeabilization: Use PFA/Triton X-100.
Formulation, Preparation, and Storage
Purification
Affinity purified
Formulation
PBS (pH 7.2) and 40% Glycerol
Format
BSA Free
Preservative
0.02% Sodium Azide
Concentration
Concentrations vary lot to lot. See vial label for concentration. If unlisted please contact technical services.
Shipping
The product is shipped with polar packs. Upon receipt, store it immediately at the temperature recommended below.
Stability & Storage
Store at 4C short term. Aliquot and store at -20C long term. Avoid freeze-thaw cycles.
Background: ZNF828
Alternate Names
C13orf8, CAMPchromosome 13 open reading frame 8, Chromosome alignment-maintaining phosphoprotein, FLJ90413, KIAA1802, zinc finger protein 828
Gene Symbol
CHAMP1
Additional ZNF828 Products
Product Documents for ZNF828 Antibody - BSA Free
Product Specific Notices for ZNF828 Antibody - BSA Free
This product is for research use only and is not approved for use in humans or in clinical diagnosis. Primary Antibodies are guaranteed for 1 year from date of receipt.
Loading...
Loading...
Loading...
Loading...