Skip to main content

ZNF800 Antibody - BSA Free

Novus Biologicals, part of Bio-Techne | Catalog # NBP1-86001

Novus Biologicals, part of Bio-Techne
Catalog #
Availability
Size / Price
Qty
Loading...
NBP1-86001
NBP1-86001-25ul

Key Product Details

Species Reactivity

Human

Applications

Immunohistochemistry, Immunohistochemistry-Paraffin, Immunocytochemistry/ Immunofluorescence

Label

Unconjugated

Antibody Source

Polyclonal Rabbit IgG

Format

BSA Free

Concentration

Concentrations vary lot to lot. See vial label for concentration. If unlisted please contact technical services.

Product Specifications

Immunogen

This antibody was developed against Recombinant Protein corresponding to amino acids: PIETNQNAVFQYISRTDNPIEVTESSSTPEQTEVQIQETSTEQSKTVPVTDTEVETVEPPPVEIVTDEVAPTSDEQPQESQADLETSDNSDFGHQLICCLCRKEFNSRRGVRRHIRKVHKE

Reactivity Notes

Immunogen displays the following percentage of sequence identity for non-tested species: Mouse (83%), Rat (84%)

Clonality

Polyclonal

Host

Rabbit

Isotype

IgG

Scientific Data Images for ZNF800 Antibody - BSA Free

Immunocytochemistry/ Immunofluorescence: ZNF800 Antibody [NBP1-86001]

Immunocytochemistry/ Immunofluorescence: ZNF800 Antibody [NBP1-86001]

Immunocytochemistry/Immunofluorescence: ZNF800 Antibody [NBP1-86001] - Immunofluorescent staining of human cell line A-431 shows localization to nucleoli & cytosol.
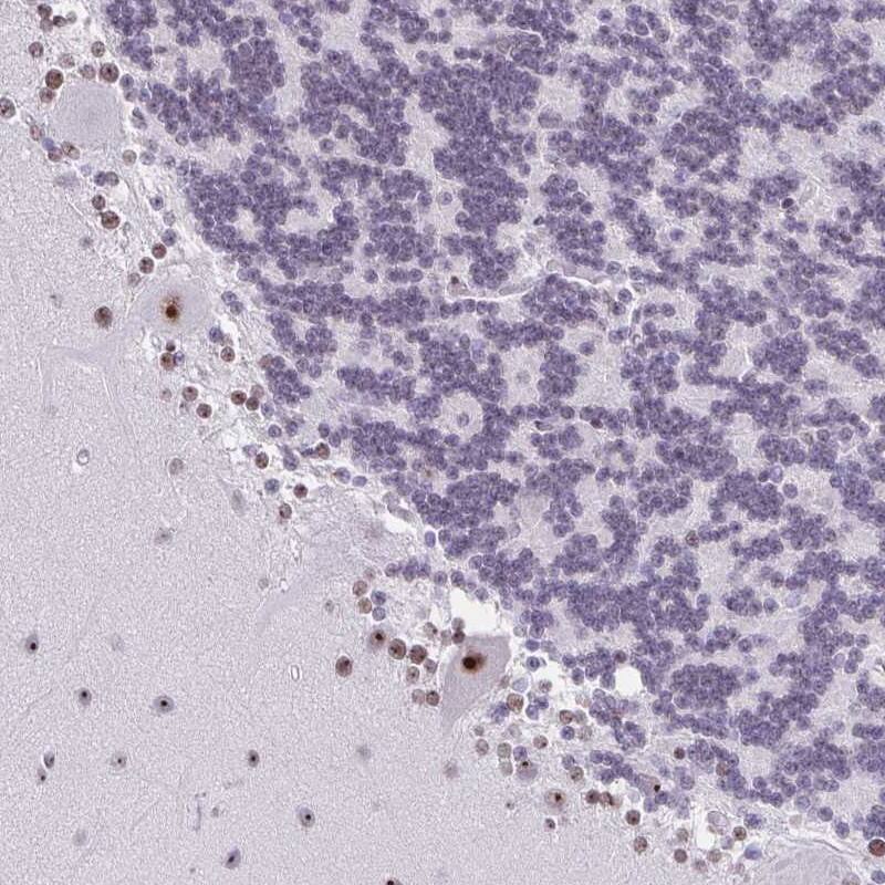
ZNF800 Antibody - BSA Free Immunohistochemistry-Paraffin: ZNF800 Antibody - BSA Free [NBP1-86001]

Immunohistochemistry-Paraffin: ZNF800 Antibody - BSA Free [NBP1-86001]

Staining of human cerebellum shows strong nucleolar positivity in Purkinje cells.

Applications for ZNF800 Antibody - BSA Free

Application
Recommended Usage

Immunocytochemistry/ Immunofluorescence

0.25-2 ug/ml

Immunohistochemistry

1:1000 - 1:2500

Immunohistochemistry-Paraffin

1:1000 - 1:2500
Application Notes
For IHC-Paraffin, HIER pH 6 retrieval is recommended. Immunocytochemistry/Immunofluorescence Fixation Permeabilization: Use PFA/Triton X-100.

Formulation, Preparation, and Storage

Purification

Affinity purified

Formulation

PBS (pH 7.2) and 40% Glycerol

Format

BSA Free

Preservative

0.02% Sodium Azide

Concentration

Concentrations vary lot to lot. See vial label for concentration. If unlisted please contact technical services.

Shipping

The product is shipped with polar packs. Upon receipt, store it immediately at the temperature recommended below.

Stability & Storage

Store at 4C short term. Aliquot and store at -20C long term. Avoid freeze-thaw cycles.

Background: ZNF800

ZNF800 may be involved in transcriptional regulation

Alternate Names

zinc finger protein 800

Gene Symbol

ZNF800

Additional ZNF800 Products

Product Documents for ZNF800 Antibody - BSA Free

Certificate of Analysis

To download a Certificate of Analysis, please enter a lot number in the search box below.

Product Specific Notices for ZNF800 Antibody - BSA Free

This product is for research use only and is not approved for use in humans or in clinical diagnosis. Primary Antibodies are guaranteed for 1 year from date of receipt.

Loading...
Loading...
Loading...
Loading...