Skip to main content

ZNF750 Antibody - BSA Free

Novus Biologicals, part of Bio-Techne | Catalog # NBP1-82246

Novus Biologicals, part of Bio-Techne
Catalog #
Availability
Size / Price
Qty
Loading...
NBP1-82246
NBP1-82246-25ul

Key Product Details

Species Reactivity

Human

Applications

Validated:

Immunohistochemistry, Immunohistochemistry-Paraffin

Cited:

Western Blot, Immunocytochemistry/ Immunofluorescence, Immunoprecipitation, Chromatin Immunoprecipitation

Label

Unconjugated

Antibody Source

Polyclonal Rabbit IgG

Format

BSA Free

Concentration

Concentrations vary lot to lot. See vial label for concentration. If unlisted please contact technical services.

Product Specifications

Immunogen

This antibody was developed against Recombinant Protein corresponding to amino acids: PKQTNQPDATAKPASSKSVANGLSAFDSKLQHSSAREDIKENLELQARGTHRCLGQKPALHRASPCKSPAPEAALGAQPALEGAARPSAFVPVGEHRLKGPDNAEAPETLALHNP

Clonality

Polyclonal

Host

Rabbit

Isotype

IgG

Scientific Data Images for ZNF750 Antibody - BSA Free

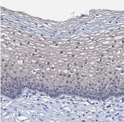
Immunohistochemistry-Paraffin: ZNF750 Antibody [NBP1-82246]

Immunohistochemistry-Paraffin: ZNF750 Antibody [NBP1-82246]

Immunohistochemistry-Paraffin: ZNF750 Antibody [NBP1-82246] - Staining of human skin shows moderate nuclear positivity in epidermal cells.
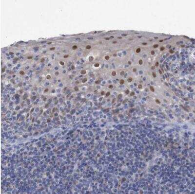
Immunohistochemistry-Paraffin: ZNF750 Antibody [NBP1-82246]

Immunohistochemistry-Paraffin: ZNF750 Antibody [NBP1-82246]

Immunohistochemistry-Paraffin: ZNF750 Antibody [NBP1-82246] - Staining of human tonsil shows moderate nuclear positivity in squamous epithelial cells.
Immunohistochemistry-Paraffin: ZNF750 Antibody [NBP1-82246]

Immunohistochemistry-Paraffin: ZNF750 Antibody [NBP1-82246]

Immunohistochemistry-Paraffin: ZNF750 Antibody [NBP1-82246] - Staining of human cervix, uterine shows weak to moderate nuclear positivity in epidermal cells.

Applications for ZNF750 Antibody - BSA Free

Application
Recommended Usage

Immunohistochemistry

1:200 - 1:500

Immunohistochemistry-Paraffin

1:200 - 1:500
Application Notes
For IHC-Paraffin, HIER pH 6 retrieval is recommended.

Formulation, Preparation, and Storage

Purification

Affinity purified

Formulation

PBS (pH 7.2) and 40% Glycerol

Format

BSA Free

Preservative

0.02% Sodium Azide

Concentration

Concentrations vary lot to lot. See vial label for concentration. If unlisted please contact technical services.

Shipping

The product is shipped with polar packs. Upon receipt, store it immediately at the temperature recommended below.

Stability & Storage

Store at 4C short term. Aliquot and store at -20C long term. Avoid freeze-thaw cycles.

Background: ZNF750

The ZNF750 gene encodes a protein with a nuclear localization site and a C2H2 zinc finger domain. Mutations in this gene havebeen associated with seborrhea-like dermatitis with psoriasiform elements. (provided by RefSeq)

Alternate Names

FLJ13841, FLJ51362, MGC125667, MGC125668, protein ZNF750, ZFP750, zinc finger protein 750

Gene Symbol

ZNF750

Additional ZNF750 Products

Product Documents for ZNF750 Antibody - BSA Free

Certificate of Analysis

To download a Certificate of Analysis, please enter a lot number in the search box below.

Product Specific Notices for ZNF750 Antibody - BSA Free

This product is for research use only and is not approved for use in humans or in clinical diagnosis. Primary Antibodies are guaranteed for 1 year from date of receipt.

Loading...
Loading...
Loading...
Loading...