Skip to main content

ZNF597 Antibody - BSA Free

Novus Biologicals, part of Bio-Techne | Catalog # NBP3-47519

Novus Biologicals, part of Bio-Techne
Catalog #
Availability
Size / Price
Qty
Loading...
NBP3-47519

Key Product Details

Species Reactivity

Human

Applications

Immunohistochemistry, Western Blot, ELISA

Label

Unconjugated

Antibody Source

Polyclonal Rabbit IgG

Format

BSA Free

Concentration

Please see the vial label for concentration. If unlisted please contact technical services.

Product Specifications

Immunogen

zinc finger protein 597. (Uniprot# Q96LX8)

Clonality

Polyclonal

Host

Rabbit

Isotype

IgG

Theoretical MW

48 kDa.
Disclaimer note: The observed molecular weight of the protein may vary from the listed predicted molecular weight due to post translational modifications, post translation cleavages, relative charges, and other experimental factors.

Description

Novus Biologicals Rabbit ZNF597 Antibody - BSA Free (NBP3-47519) is a polyclonal antibody validated for use in IHC, WB and ELISA. All Novus Biologicals antibodies are covered by our 100% guarantee.

Scientific Data Images for ZNF597 Antibody - BSA Free

ZNF597 Antibody - BSA Free

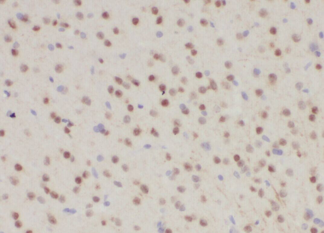
Immunohistochemistry: ZNF597 Antibody - BSA Free [NBP3-47519] -

Immunohistochemistry: ZNF597 Antibody - BSA Free [NBP3-47519] - Immunohistochemistry of paraffin-embedded human brain using (ZNF597 antibody) at dilution of 1:50
ZNF597 Antibody - BSA Free

Western Blot: ZNF597 Antibody - BSA Free [NBP3-47519] -

Western Blot: ZNF597 Antibody - BSA Free [NBP3-47519] - Jurkat cells were subjected to SDS PAGE followed by western blot with (ZNF597 antibody) at dilution of 1:500

Applications for ZNF597 Antibody - BSA Free

Application
Recommended Usage

Immunohistochemistry

1:20-1:200

Western Blot

1:500-1:5000

Formulation, Preparation, and Storage

Purification

Immunogen affinity purified

Formulation

PBS, 50% Glycerol, pH (7.3)

Format

BSA Free

Preservative

0.02% Sodium Azide

Concentration

Please see the vial label for concentration. If unlisted please contact technical services.

Shipping

The product is shipped with polar packs. Upon receipt, store it immediately at the temperature recommended below.

Stability & Storage

Store at -20C. Avoid freeze-thaw cycles.

Background: ZNF597

ZNF597 may be involved in transcriptional regulation

Alternate Names

FLJ33071, zinc finger protein 597

Gene Symbol

ZNF597

Additional ZNF597 Products

Product Documents for ZNF597 Antibody - BSA Free

Certificate of Analysis

To download a Certificate of Analysis, please enter a lot number in the search box below.

Product Specific Notices for ZNF597 Antibody - BSA Free

This product is for research use only and is not approved for use in humans or in clinical diagnosis. Primary Antibodies are guaranteed for 1 year from date of receipt.

Loading...
Loading...
Loading...
Loading...