ZNF596 Antibody - BSA Free
Novus Biologicals, part of Bio-Techne | Catalog # NBP2-49183
Key Product Details
Species Reactivity
Human
Applications
Immunohistochemistry, Immunohistochemistry-Paraffin, Western Blot, Immunocytochemistry/ Immunofluorescence
Label
Unconjugated
Antibody Source
Polyclonal Rabbit IgG
Format
BSA Free
Concentration
Concentrations vary lot to lot. See vial label for concentration. If unlisted please contact technical services.
Product Specifications
Immunogen
This antibody was developed against a recombinant protein corresponding to amino acids: LVSIGKQLCKSVVLSQLEQVEKLSTQRISLLQGREVGIKHQEIPFIQHIYQKGTSTISTMRSHTQEDP
Clonality
Polyclonal
Host
Rabbit
Isotype
IgG
Description
Novus Biologicals Rabbit ZNF596 Antibody - BSA Free (NBP2-49183) is a polyclonal antibody validated for use in IHC, WB and ICC/IF. All Novus Biologicals antibodies are covered by our 100% guarantee.
Scientific Data Images for ZNF596 Antibody - BSA Free
Western Blot: ZNF596 Antibody [NBP2-49183]
Western Blot: ZNF596 Antibody [NBP2-49183] - Analysis in control (vector only transfected HEK293T lysate) and ZNF596 over-expression lysate (Co-expressed with a C-terminal myc-DDK tag (3.1 kDa) in mammalian HEK293T cells).Immunocytochemistry/ Immunofluorescence: ZNF596 Antibody [NBP2-49183]
Immunocytochemistry/Immunofluorescence: ZNF596 Antibody [NBP2-49183] - Immunofluorescent staining of human cell line U-2 OS shows localization to nucleoli & mitochondria.Immunohistochemistry-Paraffin: ZNF596 Antibody [NBP2-49183]
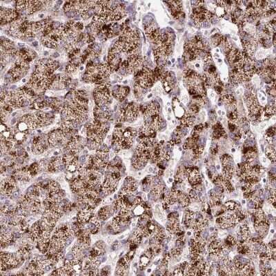
Immunohistochemistry-Paraffin: ZNF596 Antibody [NBP2-49183] - Staining of human liver shows strong cytoplasmic positivity in granular pattern in hepatocytes.Applications for ZNF596 Antibody - BSA Free
Application
Recommended Usage
Immunocytochemistry/ Immunofluorescence
0.25-2 ug/ml
Immunohistochemistry
1:200 - 1:500
Immunohistochemistry-Paraffin
1:200 - 1:500
Western Blot
0.04-0.4 ug/ml
Application Notes
For IHC-Paraffin, HIER pH 6 retrieval is recommended. Immunocytochemistry/Immunofluorescence Fixation Permeabilization: Use PFA/Triton X-100.
Formulation, Preparation, and Storage
Purification
Affinity purified
Formulation
PBS (pH 7.2) and 40% Glycerol
Format
BSA Free
Preservative
0.02% Sodium Azide
Concentration
Concentrations vary lot to lot. See vial label for concentration. If unlisted please contact technical services.
Shipping
The product is shipped with polar packs. Upon receipt, store it immediately at the temperature recommended below.
Stability & Storage
Store at 4C short term. Aliquot and store at -20C long term. Avoid freeze-thaw cycles.
Background: ZNF596
Alternate Names
FLJ36123, zinc finger protein 596
Gene Symbol
ZNF596
Additional ZNF596 Products
Product Documents for ZNF596 Antibody - BSA Free
Product Specific Notices for ZNF596 Antibody - BSA Free
This product is for research use only and is not approved for use in humans or in clinical diagnosis. Primary Antibodies are guaranteed for 1 year from date of receipt.
Loading...
Loading...
Loading...
Loading...