ZNF592 Antibody
Novus Biologicals, part of Bio-Techne | Catalog # NB100-74657
Key Product Details
Validated by
Independent Antibodies
Species Reactivity
Human
Applications
Immunohistochemistry, Immunohistochemistry-Paraffin, Western Blot, Immunoprecipitation
Label
Unconjugated
Antibody Source
Polyclonal Rabbit IgG
Concentration
0.2 mg/ml
Product Specifications
Immunogen
The immunogen recognized by this antibody maps to a region between residue 200 and 250 of human zinc finger protein 592 using the numbering given in entry NP_055445.2 (GeneID 9640).
Clonality
Polyclonal
Host
Rabbit
Isotype
IgG
Description
Novus Biologicals Rabbit ZNF592 Antibody (NB100-74657) is a polyclonal antibody validated for use in IHC, WB and IP. All Novus Biologicals antibodies are covered by our 100% guarantee.
Scientific Data Images for ZNF592 Antibody
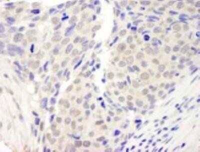
Immunohistochemistry-Paraffin: ZNF592 Antibody [NB100-74657]
Immunohistochemistry-Paraffin: ZNF592 Antibody [NB100-74657] - FFPE section of human breast carcinoma. Affinity purified rabbit anti-ZNF592 used at a dilution of 1:250. Detection: DAB staining using Immunohistochemistry Accessory KitImmunohistochemistry-Paraffin: ZNF592 Antibody [NB100-74657]
Immunohistochemistry-Paraffin: ZNF592 Antibody [NB100-74657] - Detection of Human ZNF592 by IHC Sample: FFPE section of human prostate carcinoma. Affinity purified rabbit anti-ZNF592 used at a dilution of 1:250. Detection: DAB staining using IHC Accessory KitApplications for ZNF592 Antibody
Application
Recommended Usage
Immunohistochemistry
1:10-1:500
Immunohistochemistry-Paraffin
1:100-1:500
Immunoprecipitation
2-5 ug/mg lysate
Western Blot
1:2000-1:10000
Formulation, Preparation, and Storage
Purification
Immunogen affinity purified
Formulation
TBS and 0.1% BSA
Preservative
0.09% Sodium Azide
Concentration
0.2 mg/ml
Shipping
The product is shipped with polar packs. Upon receipt, store it immediately at the temperature recommended below.
Stability & Storage
Store at 4C. Do not freeze.
Background: ZNF592
Alternate Names
CAMOS, KIAA0211MGC138437, MGC138439, SCAR5, spinocerebellar ataxia, autosomal recessive 5, zinc finger protein 592
Entrez Gene IDs
9640 (Human)
Gene Symbol
ZNF592
UniProt
Additional ZNF592 Products
Product Documents for ZNF592 Antibody
Product Specific Notices for ZNF592 Antibody
This product is for research use only and is not approved for use in humans or in clinical diagnosis. Primary Antibodies are guaranteed for 1 year from date of receipt.
Loading...
Loading...
Loading...
Loading...