Skip to main content

ZNF555 Antibody - BSA Free

Novus Biologicals, part of Bio-Techne | Catalog # NBP1-80167

Novus Biologicals, part of Bio-Techne
Catalog #
Availability
Size / Price
Qty
Loading...
NBP1-80167

Key Product Details

Species Reactivity

Human

Applications

Immunohistochemistry, Immunohistochemistry-Paraffin, Western Blot

Label

Unconjugated

Antibody Source

Polyclonal Rabbit IgG

Format

BSA Free

Concentration

0.5 mg/ml

Product Specifications

Immunogen

Synthetic peptide directed towards the N terminal of human ZNF555. Peptide sequence PHLNLYKKIPPGVKQYEYNTYGKVFMHRRTSLKSPITVHTGHKPYQCQEC. The peptide sequence for this immunogen was taken from within the described region.

Clonality

Polyclonal

Host

Rabbit

Isotype

IgG

Theoretical MW

73 kDa.
Disclaimer note: The observed molecular weight of the protein may vary from the listed predicted molecular weight due to post translational modifications, post translation cleavages, relative charges, and other experimental factors.

Description

The addition of 50% glycerol is optional for those storing this antibody at -20C and not aliquoting smaller units. However, please note that glycerol may interrupt some downstream antibody applications and should be added with caution.

Scientific Data Images for ZNF555 Antibody - BSA Free

Western Blot: ZNF555 Antibody [NBP1-80167]

Western Blot: ZNF555 Antibody [NBP1-80167]

Western Blot: ZNF555 Antibody [NBP1-80167] - 293T cell lysate, Antibody Titration: 0.2-1 ug/ml
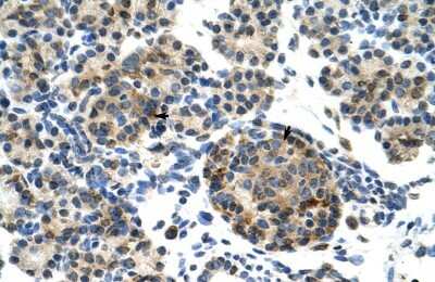
Immunohistochemistry-Paraffin: ZNF555 Antibody [NBP1-80167]

Immunohistochemistry-Paraffin: ZNF555 Antibody [NBP1-80167]

Immunohistochemistry-Paraffin: ZNF555 Antibody [NBP1-80167] - Human Pancrease (Epithelial cells of acinus indicated with arrows), 4-8ug/ml.

Applications for ZNF555 Antibody - BSA Free

Application
Recommended Usage

Immunohistochemistry

1:10-1:500

Immunohistochemistry-Paraffin

1:10-1:500

Western Blot

1.0 ug/ml

Formulation, Preparation, and Storage

Purification

Affinity purified

Formulation

PBS, 2% Sucrose

Format

BSA Free

Preservative

0.09% Sodium Azide

Concentration

0.5 mg/ml

Shipping

The product is shipped with polar packs. Upon receipt, store it immediately at the temperature recommended below.

Stability & Storage

Store at 4C short term. Aliquot and store at -20C long term. Avoid freeze-thaw cycles.

Background: ZNF555

ZNF555 may be involved in transcriptional regulation

Alternate Names

FLJ41894, MGC26707, zinc finger protein 555

Gene Symbol

ZNF555

Additional ZNF555 Products

Product Documents for ZNF555 Antibody - BSA Free

Certificate of Analysis

To download a Certificate of Analysis, please enter a lot number in the search box below.

Product Specific Notices for ZNF555 Antibody - BSA Free

This product is for research use only and is not approved for use in humans or in clinical diagnosis. Primary Antibodies are guaranteed for 1 year from date of receipt.

Loading...
Loading...
Loading...
Loading...