Skip to main content

ZNF414 Antibody - BSA Free

Novus Biologicals, part of Bio-Techne | Catalog # NBP2-33693

Novus Biologicals, part of Bio-Techne
Catalog #
Availability
Size / Price
Qty
Loading...
NBP2-33693
NBP2-33693-25ul

Key Product Details

Species Reactivity

Human

Applications

Immunohistochemistry, Immunohistochemistry-Paraffin, Immunocytochemistry/ Immunofluorescence

Label

Unconjugated

Antibody Source

Polyclonal Rabbit IgG

Format

BSA Free

Concentration

Concentrations vary lot to lot. See vial label for concentration. If unlisted please contact technical services.

Product Specifications

Immunogen

This antibody was developed against a recombinant protein corresponding to amino acids: MEEKPSGPIPDMLATAEPSSSETDKEVLSPAVPAAAPSSSMSEEPGPEQAATPPVWERGGAGGMQQGSSPAPDSCQPGPGPSPGLTSIVSGTSEDL

Clonality

Polyclonal

Host

Rabbit

Isotype

IgG

Description

Novus Biologicals Rabbit ZNF414 Antibody - BSA Free (NBP2-33693) is a polyclonal antibody validated for use in IHC and ICC/IF. All Novus Biologicals antibodies are covered by our 100% guarantee.

Scientific Data Images for ZNF414 Antibody - BSA Free

Immunocytochemistry/ Immunofluorescence: ZNF414 Antibody [NBP2-33693]

Immunocytochemistry/ Immunofluorescence: ZNF414 Antibody [NBP2-33693]

Immunocytochemistry/Immunofluorescence: ZNF414 Antibody [NBP2-33693] - Staining of human cell line PC-3 shows localization to nucleoplasm & cytosol.
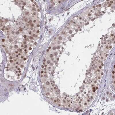
Immunohistochemistry: ZNF414 Antibody [NBP2-33693]

Immunohistochemistry: ZNF414 Antibody [NBP2-33693]

Immunohistochemistry: ZNF414 Antibody [NBP2-33693] - Staining of human testis shows strong nuclear positivity in cells in seminiferus ducts.

Applications for ZNF414 Antibody - BSA Free

Application
Recommended Usage

Immunocytochemistry/ Immunofluorescence

0.25-2 ug/ml

Immunohistochemistry

1:200 - 1:500

Immunohistochemistry-Paraffin

1:200 - 1:500
Application Notes
For IHC-Paraffin, HIER pH 6 retrieval is recommended. Immunocytochemistry/Immunofluorescence Fixation Permeabilization: Use PFA/Triton X-100.

Formulation, Preparation, and Storage

Purification

Affinity purified

Formulation

PBS (pH 7.2) and 40% Glycerol

Format

BSA Free

Preservative

0.02% Sodium Azide

Concentration

Concentrations vary lot to lot. See vial label for concentration. If unlisted please contact technical services.

Shipping

The product is shipped with polar packs. Upon receipt, store it immediately at the temperature recommended below.

Stability & Storage

Store at 4C short term. Aliquot and store at -20C long term. Avoid freeze-thaw cycles.

Background: ZNF414

ZNF414 may be involved in transcriptional regulation

Alternate Names

MGC126536, MGC141923, zinc finger protein 287, ZKSCAN13Zinc finger protein with KRAB and SCAN domains 13

Gene Symbol

ZNF414

UniProt

Additional ZNF414 Products

Product Documents for ZNF414 Antibody - BSA Free

Certificate of Analysis

To download a Certificate of Analysis, please enter a lot number in the search box below.

Product Specific Notices for ZNF414 Antibody - BSA Free

This product is for research use only and is not approved for use in humans or in clinical diagnosis. Primary Antibodies are guaranteed for 1 year from date of receipt.

Loading...
Loading...
Loading...
Loading...