ZNF354A Antibody - BSA Free
Novus Biologicals, part of Bio-Techne | Catalog # NBP2-13568
Key Product Details
Species Reactivity
Human
Applications
Immunohistochemistry, Immunohistochemistry-Paraffin, Immunocytochemistry/ Immunofluorescence
Label
Unconjugated
Antibody Source
Polyclonal Rabbit IgG
Format
BSA Free
Concentration
Concentrations vary lot to lot. See vial label for concentration. If unlisted please contact technical services.
Product Specifications
Immunogen
This antibody was developed against a recombinant protein corresponding to the amino acids: TQDSSFQGLILKRSNRNVPWDLKLEKPYIYEGRLEKKQDKKGSFQIVSATHKKIPTIERSHKNTELSQNFSPKSVLIRQQILPR
Clonality
Polyclonal
Host
Rabbit
Isotype
IgG
Description
Novus Biologicals Rabbit ZNF354A Antibody - BSA Free (NBP2-13568) is a polyclonal antibody validated for use in IHC and ICC/IF. All Novus Biologicals antibodies are covered by our 100% guarantee.
Scientific Data Images for ZNF354A Antibody - BSA Free
Immunocytochemistry/ Immunofluorescence: ZNF354A Antibody [NBP2-13568]
Immunocytochemistry/Immunofluorescence: ZNF354A Antibody [NBP2-13568] - Immunofluorescent staining of human cell line MCF7 shows localization to nucleus, nucleoli & cytosol.Immunohistochemistry-Paraffin: ZNF354A Antibody [NBP2-13568]
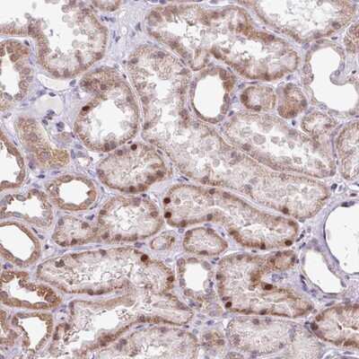
Immunohistochemistry-Paraffin: ZNF354A Antibody [NBP2-13568] - Staining of human kidney shows moderate cytoplasmic and nuclear positivity in cells in tubules.Applications for ZNF354A Antibody - BSA Free
Application
Recommended Usage
Immunocytochemistry/ Immunofluorescence
0.25-2 ug/ml
Immunohistochemistry
1:50 - 1:200
Immunohistochemistry-Paraffin
1:50 - 1:200
Application Notes
For IHC-Paraffin, HIER pH 6 retrieval is recommended. Immunocytochemistry/Immunofluorescence Fixation Permeabilization: Use PFA/Triton X-100.
Formulation, Preparation, and Storage
Purification
Affinity purified
Formulation
PBS (pH 7.2) and 40% Glycerol
Format
BSA Free
Preservative
0.02% Sodium Azide
Concentration
Concentrations vary lot to lot. See vial label for concentration. If unlisted please contact technical services.
Shipping
The product is shipped with polar packs. Upon receipt, store it immediately at the temperature recommended below.
Stability & Storage
Store at 4C short term. Aliquot and store at -20C long term. Avoid freeze-thaw cycles.
Background: ZNF354A
Alternate Names
G0/G1 switch regulatory protein 24, G0S24tristetraprolin, Growth factor-inducible nuclear protein NUP475, NUP475, Protein TIS11A, RNF162Atristetraproline, TIS11A, TIS11zfp-36, TTPGOS24, Zfp-36, Zinc finger protein 36 homolog, zinc finger protein 36, C3H type, homolog (mouse), zinc finger protein, C3H type, 36 homolog, zinc finger protein, C3H type, 36 homolog (mouse)
Gene Symbol
ZNF354A
Additional ZNF354A Products
Product Documents for ZNF354A Antibody - BSA Free
Product Specific Notices for ZNF354A Antibody - BSA Free
This product is for research use only and is not approved for use in humans or in clinical diagnosis. Primary Antibodies are guaranteed for 1 year from date of receipt.
Loading...
Loading...
Loading...
Loading...