Skip to main content

ZNF323 Antibody

Novus Biologicals, part of Bio-Techne | Catalog # NBP2-20991

Novus Biologicals, part of Bio-Techne
Catalog #
Availability
Size / Price
Qty
Loading...
NBP2-20991

Key Product Details

Species Reactivity

Human

Applications

Immunohistochemistry, Immunohistochemistry-Paraffin, Western Blot

Label

Unconjugated

Antibody Source

Polyclonal Rabbit IgG

Concentration

Concentrations vary lot to lot. See vial label for concentration. If unlisted please contact technical services.

Product Specifications

Immunogen

Recombinant protein encompassing a sequence within the center region of human ZNF323. The exact sequence is proprietary.

Localization

Nucleus

Clonality

Polyclonal

Host

Rabbit

Isotype

IgG

Theoretical MW

47 kDa.
Disclaimer note: The observed molecular weight of the protein may vary from the listed predicted molecular weight due to post translational modifications, post translation cleavages, relative charges, and other experimental factors.

Description

Novus Biologicals Rabbit ZNF323 Antibody (NBP2-20991) is a polyclonal antibody validated for use in IHC and WB. All Novus Biologicals antibodies are covered by our 100% guarantee.

Scientific Data Images for ZNF323 Antibody

Western Blot: ZNF323 Antibody [NBP2-20991]

Western Blot: ZNF323 Antibody [NBP2-20991]

Western Blot: ZNF323 Antibody [NBP2-20991] - Sample (30 ug of whole cell lysate) A: HeLa 10% SDS PAGE gel, diluted at 1:5000.
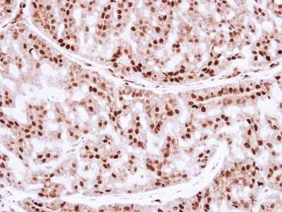
Immunohistochemistry-Paraffin: ZNF323 Antibody [NBP2-20991]

Immunohistochemistry-Paraffin: ZNF323 Antibody [NBP2-20991]

Immunohistochemistry-Paraffin: ZNF323 Antibody [NBP2-20991] - Immunohistochemical analysis of paraffin-embedded Breast ca, using antibody at 1:250 dilution.

Applications for ZNF323 Antibody

Application
Recommended Usage

Immunohistochemistry

10 - 1:500

Immunohistochemistry-Paraffin

1:100-1:1000

Western Blot

1:1000-1:10000

Formulation, Preparation, and Storage

Purification

Antigen Affinity-purified

Formulation

PBS, 1% BSA, 20% Glycerol

Preservative

0.01% Thimerosal

Concentration

Concentrations vary lot to lot. See vial label for concentration. If unlisted please contact technical services.

Shipping

The product is shipped with polar packs. Upon receipt, store it immediately at the temperature recommended below.

Stability & Storage

Aliquot and store at -20C or -80C. Avoid freeze-thaw cycles.

Background: ZNF323

ZNF323 is a member of the subfamily of C2H2 Kruppel-like zinc finger transcription factors that have a SCAN box domain (Pi et al., 2002 [PubMed 12147252]).[supplied by OMIM]

Alternate Names

dJ874C20.2, DKFZp434K1210, HDBP-2, HDBP2HDRF-2, Huntington disease gene regulatory region-binding protein 2, Huntington's disease gene regulatory region-binding protein 2, Papillomavirus regulatory factor 1, papillomavirus regulatory factor PRF-1, Papillomavirus-binding factor, PBFHD gene regulatory region-binding protein 2, PRF1, PRF-1HD-regulating factor 2, Si-1-8-14, zinc finger protein 395, ZNF20-Lp, ZNF310P

Gene Symbol

ZSCAN31

UniProt

Additional ZNF323 Products

Product Documents for ZNF323 Antibody

Certificate of Analysis

To download a Certificate of Analysis, please enter a lot number in the search box below.

Product Specific Notices for ZNF323 Antibody

This product is for research use only and is not approved for use in humans or in clinical diagnosis. Primary Antibodies are guaranteed for 1 year from date of receipt.

Loading...
Loading...
Loading...
Loading...

⚠ WARNING: This product can expose you to chemicals including mercury, which is known to the State of California to cause reproductive toxicity with developmental effects.  For more information go to www.P65Warnings.ca.gov.