Skip to main content

ZNF320 Antibody - BSA Free

Novus Biologicals, part of Bio-Techne | Catalog # NBP3-05853

Novus Biologicals, part of Bio-Techne

Key Product Details

Species Reactivity

Human

Applications

Immunohistochemistry, Immunohistochemistry-Paraffin

Label

Unconjugated

Antibody Source

Polyclonal Rabbit IgG

Format

BSA Free

Concentration

Please see the vial label for concentration. If unlisted please contact technical services.

Product Specifications

Immunogen

Produced in rabbits immunized with E. coli-derived Human ZNF320 fragment.

Clonality

Polyclonal

Host

Rabbit

Isotype

IgG

Description

This antibody can be stored at 2C-8C for one month without detectable loss of activity. Antibody products are stable for twelve months from date of receipt when stored at -20C to -80C. Avoid repeated freeze-thaw cycles.

Scientific Data Images for ZNF320 Antibody - BSA Free

ZNF320 Antibody - BSA Free

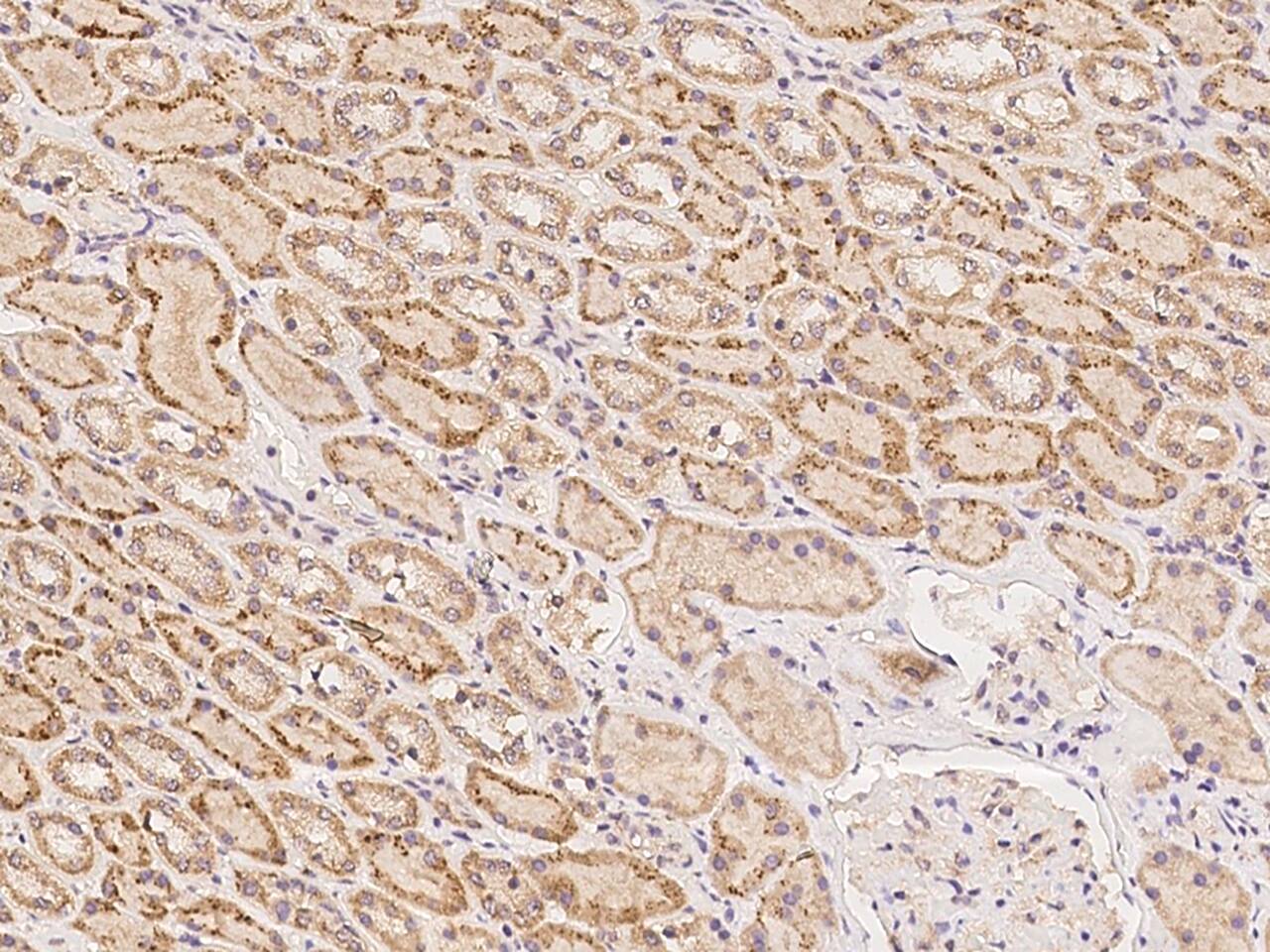
Immunohistochemistry-Paraffin: ZNF320 Antibody - BSA Free [NBP3-05853] -

Immunohistochemistry-Paraffin: ZNF320 Antibody - BSA Free [NBP3-05853] - Immunochemical staining of human ZNF320 in human kidney with NBP3-05853 at 1:100 dilution, formalin-fixed paraffin embedded sections.

Applications for ZNF320 Antibody - BSA Free

Application
Recommended Usage

Immunohistochemistry-Paraffin

1:50-1:200

Formulation, Preparation, and Storage

Purification

Antigen and protein A Affinity-purified

Formulation

PBS

Format

BSA Free

Preservative

0.03% Proclin 300

Concentration

Please see the vial label for concentration. If unlisted please contact technical services.

Shipping

The product is shipped with polar packs. Upon receipt, store it immediately at the temperature recommended below.

Stability & Storage

Store at 4C short term. Aliquot and store at -20C long term. Avoid freeze-thaw cycles.

Background: ZNF320

ZNF320 encodes a Kruppel-like zinc finger protein. Members of this protein family are involved in activation orrepression of transcription.(supplied by OMIM)

Alternate Names

DKFZp686G16228, ZFPL, zinc finger gene 320, zinc finger protein 320, zinc finger protein like

Gene Symbol

ZNF320

Additional ZNF320 Products

Product Documents for ZNF320 Antibody - BSA Free

Certificate of Analysis

To download a Certificate of Analysis, please enter a lot number in the search box below.

Product Specific Notices for ZNF320 Antibody - BSA Free

This product is for research use only and is not approved for use in humans or in clinical diagnosis. Primary Antibodies are guaranteed for 1 year from date of receipt.

Loading...
Loading...
Loading...
Loading...