ZNF317 Antibody - BSA Free
Novus Biologicals, part of Bio-Techne | Catalog # NBP1-86220
Key Product Details
Species Reactivity
Human
Applications
Immunohistochemistry, Immunohistochemistry-Paraffin, Western Blot, Immunocytochemistry/ Immunofluorescence
Label
Unconjugated
Antibody Source
Polyclonal Rabbit IgG
Format
BSA Free
Concentration
Concentrations vary lot to lot. See vial label for concentration. If unlisted please contact technical services.
Product Specifications
Immunogen
This antibody was developed against Recombinant Protein corresponding to amino acids: ETPSKTKWSLLMEDIFGKETPSGVTMERAGLGEKSTEYAHLFEVFGMDPHLTQPMGRHAGKRPYHRRDYGVAFKGRPHLTQHMSMYDGRK
Clonality
Polyclonal
Host
Rabbit
Isotype
IgG
Scientific Data Images for ZNF317 Antibody - BSA Free
Immunocytochemistry/ Immunofluorescence: ZNF317 Antibody [NBP1-86220]
Immunocytochemistry/Immunofluorescence: ZNF317 Antibody [NBP1-86220] - Immunofluorescent staining of human cell line A-431 shows localization to nucleoplasm.Immunohistochemistry-Paraffin: ZNF317 Antibody [NBP1-86220]
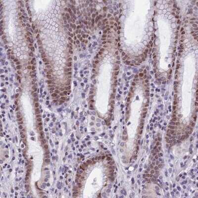
Immunohistochemistry-Paraffin: ZNF317 Antibody [NBP1-86220] - Staining of human stomach shows moderate nuclear and cytoplasmic positivity in glandular cells.Western Blot: ZNF317 Antibody - BSA Free [NBP1-86220]
Analysis in control (vector only transfected HEK293T lysate) and ZNF317 over-expression lysate (Co-expressed with a C-terminal myc-DDK tag (~3.1 kDa) in mammalian HEK293T cells).Applications for ZNF317 Antibody - BSA Free
Application
Recommended Usage
Immunocytochemistry/ Immunofluorescence
0.25-2 ug/ml
Immunohistochemistry
1:500 - 1:1000
Immunohistochemistry-Paraffin
1:500 - 1:1000
Western Blot
0.04-0.4 ug/ml
Application Notes
For IHC-Paraffin, HIER pH 6 retrieval is recommended. Immunocytochemistry/Immunofluorescence Fixation Permeabilization: Use PFA/Triton X-100.
Formulation, Preparation, and Storage
Purification
Affinity purified
Formulation
PBS (pH 7.2) and 40% Glycerol
Format
BSA Free
Preservative
0.02% Sodium Azide
Concentration
Concentrations vary lot to lot. See vial label for concentration. If unlisted please contact technical services.
Shipping
The product is shipped with polar packs. Upon receipt, store it immediately at the temperature recommended below.
Stability & Storage
Store at 4C short term. Aliquot and store at -20C long term. Avoid freeze-thaw cycles.
Background: ZNF317
Alternate Names
clone 6, zinc finger protein 398
Gene Symbol
ZNF317
Additional ZNF317 Products
Product Documents for ZNF317 Antibody - BSA Free
Product Specific Notices for ZNF317 Antibody - BSA Free
This product is for research use only and is not approved for use in humans or in clinical diagnosis. Primary Antibodies are guaranteed for 1 year from date of receipt.
Loading...
Loading...
Loading...
Loading...