Skip to main content

ZNF295 Antibody

Novus Biologicals, part of Bio-Techne | Catalog # NB100-74656

Catalog #
Availability
Size / Price
Qty
Loading...
NB100-74656

Key Product Details

Validated by

Independent Antibodies

Species Reactivity

Human

Applications

Immunohistochemistry, Immunohistochemistry-Paraffin, Western Blot, Immunoprecipitation

Label

Unconjugated

Antibody Source

Polyclonal Rabbit IgG

Concentration

0.2 mg/ml

Product Specifications

Immunogen

The immunogen recognized by this antibody maps to a region between residue 1016 and 1066 of human zinc finger protein 295 using the numbering given in entry NP_065778.3 (GeneID 49854).

Clonality

Polyclonal

Host

Rabbit

Isotype

IgG

Scientific Data Images for ZNF295 Antibody

Western Blot: ZNF295 Antibody [NB100-74656]

Western Blot: ZNF295 Antibody [NB100-74656]

Western Blot: ZNF295 Antibody [NB100-74656] - Detection of Human ZNF295 on HeLa whole cell lysate using NB100-74656. ZNF295 was also immunoprecipitated by rabbit anti-ZNF295 antibody NB100-74655.
Immunohistochemistry-Paraffin: ZNF295 Antibody [NB100-74656]

Immunohistochemistry-Paraffin: ZNF295 Antibody [NB100-74656]

Immunohistochemistry-Paraffin: ZNF295 Antibody [NB100-74656] - Detection of Human ZNF295 by IHC. Sample: FFPE section of human colon carcinoma. Antibody: Affinity purified rabbit anti-ZNF295 used at a dilution of 1:250.
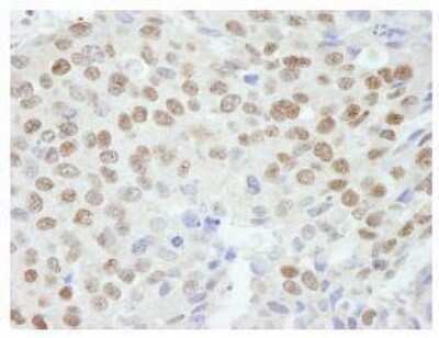
Immunohistochemistry-Paraffin: ZNF295 Antibody [NB100-74656]

Immunohistochemistry-Paraffin: ZNF295 Antibody [NB100-74656]

Immunohistochemistry-Paraffin: ZNF295 Antibody [NB100-74656] - Detection of Human ZNF295 by IHC. Sample: FFPE section of human breast carcinoma. Antibody: Affinity purified rabbit anti-ZNF295 at a dilution of 1:250.

Applications for ZNF295 Antibody

Application
Recommended Usage

Immunohistochemistry

1:10-1:500

Immunohistochemistry-Paraffin

1:10-1:500

Immunoprecipitation

1:10-1:500

Western Blot

1:2000-1:10000

Formulation, Preparation, and Storage

Purification

Immunogen affinity purified

Formulation

TBS and 0.1% BSA

Preservative

0.09% Sodium Azide

Concentration

0.2 mg/ml

Shipping

The product is shipped with polar packs. Upon receipt, store it immediately at the temperature recommended below.

Stability & Storage

Store at 4C. Do not freeze.

Background: ZNF295

ZNF295 bears 8 C2H2-type zinc fingers and a BTB/POZ (broad-complex, tramtrack, bric a brac/ Pox-virus and zinc finger) domain indicating a function in transcriptional regulation. ZNF295 has been shown to function as a transcriptional repressor and associates with ZFP161, a zinc-finger protein also know to function as a repressor of transcription.

Alternate Names

MGC15716, ZFP414, zinc finger protein 414

Entrez Gene IDs

49854 (Human)

Gene Symbol

ZNF295

Additional ZNF295 Products

Product Documents for ZNF295 Antibody

Certificate of Analysis

To download a Certificate of Analysis, please enter a lot number in the search box below.

Product Specific Notices for ZNF295 Antibody

This product is for research use only and is not approved for use in humans or in clinical diagnosis. Primary Antibodies are guaranteed for 1 year from date of receipt.

Loading...
Loading...
Loading...
Loading...