Skip to main content

ZNF286 Antibody (OTI7D2)

Novus Biologicals, part of Bio-Techne | Catalog # NBP2-46432

Novus Biologicals, part of Bio-Techne
Catalog #
Availability
Size / Price
Qty
Loading...
NBP2-46432

Key Product Details

Species Reactivity

Human

Applications

Immunohistochemistry, Immunohistochemistry-Paraffin, Western Blot

Label

Unconjugated

Antibody Source

Monoclonal Mouse IgG1 Clone # OTI7D2

Concentration

1 mg/ml

Product Specifications

Immunogen

Human recombinant protein fragment corresponding to amino acids 1-252 of human ZNF286A (NP_065703) produced in E.coli.

Clonality

Monoclonal

Host

Mouse

Isotype

IgG1

Description

Novus Biologicals Mouse ZNF286 Antibody (OTI7D2) (NBP2-46432) is a monoclonal antibody validated for use in IHC and WB. All Novus Biologicals antibodies are covered by our 100% guarantee.

Scientific Data Images for ZNF286 Antibody (OTI7D2)

Western Blot: ZNF286 Antibody (OTI7D2) [NBP2-46432]

Western Blot: ZNF286 Antibody (OTI7D2) [NBP2-46432]

Western Blot: ZNF286 Antibody (7D2) [NBP2-46432] - Analysis of HEK293T cells were transfected with the pCMV6-ENTRY control (Left lane) or pCMV6-ENTRY ZNF286A.
Immunohistochemistry: ZNF286 Antibody (OTI7D2) [NBP2-46432]

Immunohistochemistry: ZNF286 Antibody (OTI7D2) [NBP2-46432]

Immunohistochemistry: ZNF286 Antibody (7D2) [NBP2-46432] - Analysis of Human tonsil tissue.
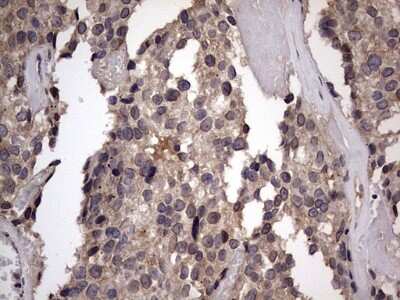
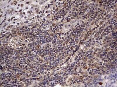
Immunohistochemistry: ZNF286 Antibody (OTI7D2) [NBP2-46432]

Immunohistochemistry: ZNF286 Antibody (OTI7D2) [NBP2-46432]

Immunohistochemistry: ZNF286 Antibody (7D2) [NBP2-46432] - Analysis of Adenocarcinoma of Human breast tissue.

Applications for ZNF286 Antibody (OTI7D2)

Application
Recommended Usage

Immunohistochemistry

1:150

Western Blot

1:2000

Formulation, Preparation, and Storage

Purification

Immunogen affinity purified

Formulation

PBS (pH 7.3), 1.0% BSA and 50% Glycerol

Preservative

0.02% Sodium Azide

Concentration

1 mg/ml

Shipping

The product is shipped with polar packs. Upon receipt, store it immediately at the temperature recommended below.

Stability & Storage

Store at -20C. Avoid freeze-thaw cycles.

Background: ZNF286

ZNF286 may be involved in transcriptional regulation

Alternate Names

MGC149627, zinc finger protein 286, zinc finger protein 286A

Gene Symbol

ZNF286A

Additional ZNF286 Products

Product Documents for ZNF286 Antibody (OTI7D2)

Certificate of Analysis

To download a Certificate of Analysis, please enter a lot number in the search box below.

Product Specific Notices for ZNF286 Antibody (OTI7D2)

This product is for research use only and is not approved for use in humans or in clinical diagnosis. Primary Antibodies are guaranteed for 1 year from date of receipt.

Loading...
Loading...
Loading...
Loading...