Skip to main content

ZNF268 Antibody - BSA Free

Novus Biologicals, part of Bio-Techne | Catalog # NBP2-13562

Novus Biologicals, part of Bio-Techne
Catalog #
Availability
Size / Price
Qty
Loading...
NBP2-13562-25ul
NBP2-13562

Key Product Details

Species Reactivity

Human

Applications

Validated:

Immunohistochemistry, Immunohistochemistry-Paraffin, Immunocytochemistry/ Immunofluorescence

Cited:

Immunohistochemistry

Label

Unconjugated

Antibody Source

Polyclonal Rabbit IgG

Format

BSA Free

Concentration

Concentrations vary lot to lot. See vial label for concentration. If unlisted please contact technical services.

Product Specifications

Immunogen

This antibody was developed against a recombinant protein corresponding to the amino acids: AQVPNQTCPNTVWKIDDLMDWHQENKDKLGSTAKSFECTTFGKLCLLSTKYLSRQKPHKCGTHGKSLKYIDFTSDYARNNPNGFQVHGKSFFHSKHEQTVIGIKYCESIESGKTVNKKSQL

Clonality

Polyclonal

Host

Rabbit

Isotype

IgG

Scientific Data Images for ZNF268 Antibody - BSA Free

Immunocytochemistry/ Immunofluorescence: ZNF268 Antibody [NBP2-13562]

Immunocytochemistry/ Immunofluorescence: ZNF268 Antibody [NBP2-13562]

Immunocytochemistry/Immunofluorescence: ZNF268 Antibody [NBP2-13562] - Staining of human cell line U-251 MG shows localization to cytosol. Antibody staining is shown in green.
Immunohistochemistry-Paraffin: ZNF268 Antibody [NBP2-13562]

Immunohistochemistry-Paraffin: ZNF268 Antibody [NBP2-13562]

Immunohistochemistry-Paraffin: ZNF268 Antibody [NBP2-13562] - Staining of human pancreas shows no positivity in exocrine glandular cells.
Immunohistochemistry-Paraffin: ZNF268 Antibody [NBP2-13562]

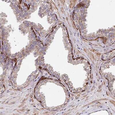
Immunohistochemistry-Paraffin: ZNF268 Antibody [NBP2-13562]

Immunohistochemistry-Paraffin: ZNF268 Antibody [NBP2-13562] - Staining of human endometrium shows strong cytoplasmic positivity in glandular cells.

Applications for ZNF268 Antibody - BSA Free

Application
Recommended Usage

Immunocytochemistry/ Immunofluorescence

0.25-2 ug/ml

Immunohistochemistry

1:200 - 1:500

Immunohistochemistry-Paraffin

1:200 - 1:500
Application Notes
For IHC-Paraffin, HIER pH 6 retrieval is recommended. ICC/IF Fixation Permeabilization: Use PFA/Triton X-100.

Formulation, Preparation, and Storage

Purification

Affinity purified

Formulation

PBS (pH 7.2) and 40% Glycerol

Format

BSA Free

Preservative

0.02% Sodium Azide

Concentration

Concentrations vary lot to lot. See vial label for concentration. If unlisted please contact technical services.

Shipping

The product is shipped with polar packs. Upon receipt, store it immediately at the temperature recommended below.

Stability & Storage

Store at 4C short term. Aliquot and store at -20C long term. Avoid freeze-thaw cycles.

Background: ZNF268

ZNF268 may be involved in transcriptional regulation

Alternate Names

zinc finger protein 446, Zinc finger protein with KRAB and SCAN domains 20, ZKSCAN20FLJ20626, ZSCAN30

Gene Symbol

ZNF268

Additional ZNF268 Products

Product Documents for ZNF268 Antibody - BSA Free

Certificate of Analysis

To download a Certificate of Analysis, please enter a lot number in the search box below.

Product Specific Notices for ZNF268 Antibody - BSA Free

This product is for research use only and is not approved for use in humans or in clinical diagnosis. Primary Antibodies are guaranteed for 1 year from date of receipt.

Loading...
Loading...
Loading...
Loading...