Skip to main content

ZNF259 Antibody (10V1A2)

Novus Biologicals, part of Bio-Techne | Catalog # NBP3-15481

Recombinant Monoclonal Antibody
Novus Biologicals, part of Bio-Techne
Catalog #
Availability
Size / Price
Qty
Loading...
NBP3-15481-100ul
NBP3-15481-20ul

Key Product Details

Species Reactivity

Human, Mouse

Applications

Immunohistochemistry, Immunohistochemistry-Paraffin, Western Blot

Label

Unconjugated

Antibody Source

Recombinant Monoclonal Rabbit IgG Clone # 10V1A2 expressed in HEK293

Concentration

Please see the vial label for concentration. If unlisted please contact technical services.

Product Specifications

Immunogen

A synthetic peptide corresponding to a sequence within amino acids 360-459 of human ZNF259 (O75312). DIRELVTKNPFTLGDSSNPGQTERLQEFSQKMDQIIEGNMKAHFIMDDPAGNSYLQNVYAPEDDPEMKVERYKRTFDQNEELGLNDMKTEGYEAGLAPQR

Clonality

Monoclonal

Host

Rabbit

Isotype

IgG

Description

Novus Biologicals Rabbit ZNF259 Antibody (10V1A2) (NBP3-15481) is a recombinant monoclonal antibody validated for use in IHC and WB. All Novus Biologicals antibodies are covered by our 100% guarantee.

Scientific Data Images for ZNF259 Antibody (10V1A2)

Western Blot: ZNF259 Antibody (10V1A2) [NBP3-15481]

Western Blot: ZNF259 Antibody (10V1A2) [NBP3-15481]

Western Blot: ZNF259 Antibody (10V1A2) [NBP3-15481] - Western blot analysis of extracts of Mouse brain, using ZNF259 antibody (NBP3-15481) at 1:1000 dilution. Secondary antibody: HRP Goat Anti-Rabbit IgG (H+L) at 1:10000 dilution. Lysates/proteins: 25ug per lane. Blocking buffer: 3% nonfat dry milk in TBST. Detection: ECL Basic Kit. Exposure time: 90s.
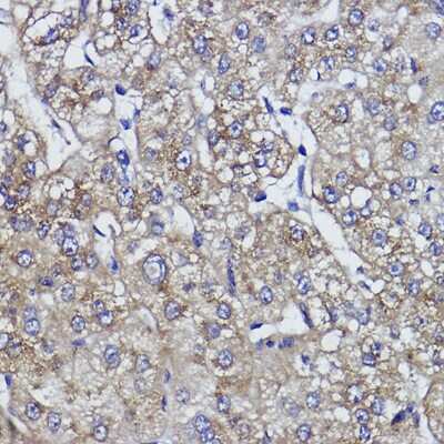
Immunohistochemistry-Paraffin: ZNF259 Antibody (10V1A2) [NBP3-15481]

Immunohistochemistry-Paraffin: ZNF259 Antibody (10V1A2) [NBP3-15481]

Immunohistochemistry-Paraffin: ZNF259 Antibody (10V1A2) [NBP3-15481] - Immunohistochemistry of paraffin-embedded human liver cancer using ZNF259 Rabbit mAb (NBP3-15481) at dilution of 1:100 (40x lens).Perform high pressure antigen retrieval with 10 mM citrate buffer pH 6.0 before commencing with IHC staining protocol.

Applications for ZNF259 Antibody (10V1A2)

Application
Recommended Usage

Immunohistochemistry

1:50 - 1:200

Western Blot

1:500 - 1:1000

Formulation, Preparation, and Storage

Purification

Affinity purified

Formulation

PBS (pH 7.3), 50% glycerol, 0.05% BSA

Preservative

0.02% Sodium Azide

Concentration

Please see the vial label for concentration. If unlisted please contact technical services.

Shipping

The product is shipped with polar packs. Upon receipt, store it immediately at the temperature recommended below.

Stability & Storage

Store at -20C. Avoid freeze-thaw cycles.

Background: ZNF259

ZNF259 may be a signaling molecule that communicates mitogenic signals from the cytoplasm to the nucleus

Alternate Names

ERP1, EZFIT-related protein 1, KIAA1396MGC150657, MGC150658, Z1971, zinc finger protein 471

Gene Symbol

ZPR1

Additional ZNF259 Products

Product Documents for ZNF259 Antibody (10V1A2)

Certificate of Analysis

To download a Certificate of Analysis, please enter a lot number in the search box below.

Product Specific Notices for ZNF259 Antibody (10V1A2)

This product is for research use only and is not approved for use in humans or in clinical diagnosis. Primary Antibodies are guaranteed for 1 year from date of receipt.

Loading...
Loading...
Loading...
Loading...