Skip to main content

ZNF25 Antibody - BSA Free

Novus Biologicals, part of Bio-Techne | Catalog # NBP1-82013

Novus Biologicals, part of Bio-Techne
Catalog #
Availability
Size / Price
Qty
Loading...
NBP1-82013
NBP1-82013-25ul

Key Product Details

Species Reactivity

Human

Applications

Immunohistochemistry, Immunohistochemistry-Paraffin, Immunocytochemistry/ Immunofluorescence, Chromatin Immunoprecipitation-exo-Seq

Label

Unconjugated

Antibody Source

Polyclonal Rabbit IgG

Format

BSA Free

Concentration

Concentrations vary lot to lot. See vial label for concentration. If unlisted please contact technical services.

Product Specifications

Immunogen

This antibody was developed against Recombinant Protein corresponding to amino acids: YSHLVSVGYHVNKPNAVFKLKQGKEPWILEVEFPHRGFPEDLWSIHDLEARYQESQAGNSRNGELTKHQKTHTTEKACECKECGKFFC

Clonality

Polyclonal

Host

Rabbit

Isotype

IgG

Scientific Data Images for ZNF25 Antibody - BSA Free

Immunocytochemistry/ Immunofluorescence: ZNF25 Antibody [NBP1-82013]

Immunocytochemistry/ Immunofluorescence: ZNF25 Antibody [NBP1-82013]

Immunocytochemistry/Immunofluorescence: ZNF25 Antibody [NBP1-82013] - Immunofluorescent staining of human cell line A-431 shows localization to the Golgi apparatus.
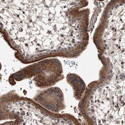
Immunohistochemistry-Paraffin: ZNF25 Antibody [NBP1-82013]

Immunohistochemistry-Paraffin: ZNF25 Antibody [NBP1-82013]

Immunohistochemistry-Paraffin: ZNF25 Antibody [NBP1-82013] - Staining of human placenta shows strong cytoplasmic positivity in trophoblastic cells.
ZNF25 Antibody - BSA Free Chromatin Immunoprecipitation-exo-Seq: ZNF25 Antibody - BSA Free [NBP1-82013]

Chromatin Immunoprecipitation-exo-Seq: ZNF25 Antibody - BSA Free [NBP1-82013]

ChIP-Exo-Seq composite graph for Anti-ZNF25 (NBP1-82013) tested in K562 cells. Strand-specific reads (blue: forward, red: reverse) and IgG controls (black: forward, grey: reverse) are plotted against the distance from a composite set of reference binding sites. The antibody exhibits robust target enrichment compared to a non-specific IgG control and precisely reveals its structural organization around the binding site. Data generated by Prof. B. F. Pugh´s Lab at Cornell University.

Applications for ZNF25 Antibody - BSA Free

Application
Recommended Usage

Chromatin Immunoprecipitation-exo-Seq

1-10ug per reaction

Immunocytochemistry/ Immunofluorescence

0.25-2 ug/ml

Immunohistochemistry

1:200 - 1:500

Immunohistochemistry-Paraffin

1:200 - 1:500
Application Notes
For IHC-Paraffin, HIER pH 6 retrieval is recommended. Immunocytochemistry/Immunofluorescence Fixation Permeabilization: Use PFA/Triton X-100.

Formulation, Preparation, and Storage

Purification

Affinity purified

Formulation

PBS (pH 7.2) and 40% Glycerol

Format

BSA Free

Preservative

0.02% Sodium Azide

Concentration

Concentrations vary lot to lot. See vial label for concentration. If unlisted please contact technical services.

Shipping

The product is shipped with polar packs. Upon receipt, store it immediately at the temperature recommended below.

Stability & Storage

Store at 4C short term. Aliquot and store at -20C long term. Avoid freeze-thaw cycles.

Background: ZNF25

ZNF25 may be involved in transcriptional regulation

Alternate Names

zinc finger protein 485, Zinc finger protein 93 (Zinc finger protein HTF34)

Gene Symbol

ZNF25

Additional ZNF25 Products

Product Documents for ZNF25 Antibody - BSA Free

Certificate of Analysis

To download a Certificate of Analysis, please enter a lot number in the search box below.

Product Specific Notices for ZNF25 Antibody - BSA Free

This product is for research use only and is not approved for use in humans or in clinical diagnosis. Primary Antibodies are guaranteed for 1 year from date of receipt.

Loading...
Loading...
Loading...
Loading...