Skip to main content

ZNF235 Antibody - BSA Free

Novus Biologicals, part of Bio-Techne | Catalog # NBP1-92619

Novus Biologicals, part of Bio-Techne
Catalog #
Availability
Size / Price
Qty
Loading...
NBP1-92619
NBP1-92619-25ul

Key Product Details

Species Reactivity

Human

Applications

Immunohistochemistry, Immunohistochemistry-Paraffin, Immunocytochemistry/ Immunofluorescence

Label

Unconjugated

Antibody Source

Polyclonal Rabbit IgG

Format

BSA Free

Concentration

Concentrations vary lot to lot. See vial label for concentration. If unlisted please contact technical services.

Product Specifications

Immunogen

This antibody was developed against Recombinant Protein corresponding to amino acids: ASVDDNCLVNHIGDHSSIIENQEFPTGKVPNSWSKIYLNETQNYQRSCKQTQMKNKLCIFAPYVDIFSCISHHH

Clonality

Polyclonal

Host

Rabbit

Isotype

IgG

Scientific Data Images for ZNF235 Antibody - BSA Free

Immunocytochemistry/ Immunofluorescence: ZNF235 Antibody [NBP1-92619]

Immunocytochemistry/ Immunofluorescence: ZNF235 Antibody [NBP1-92619]

Immunocytochemistry/Immunofluorescence: ZNF235 Antibody [NBP1-92619] - Immunofluorescent staining of human cell line U-2 OS shows localization to nucleoplasm.
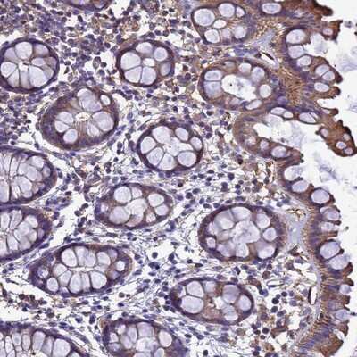
Immunohistochemistry-Paraffin: ZNF235 Antibody [NBP1-92619]

Immunohistochemistry-Paraffin: ZNF235 Antibody [NBP1-92619]

Immunohistochemistry-Paraffin: ZNF235 Antibody [NBP1-92619] - Staining of human rectum shows moderate cytoplasmic positivity in glandular cells.

Applications for ZNF235 Antibody - BSA Free

Application
Recommended Usage

Immunocytochemistry/ Immunofluorescence

0.25-2 ug/ml

Immunohistochemistry

1:50 - 1:200

Immunohistochemistry-Paraffin

1:50 - 1:200
Application Notes
For IHC-Paraffin, HIER pH 6 retrieval is recommended. Immunocytochemistry/Immunofluorescence Fixation Permeabilization: Use PFA/Triton X-100.

Formulation, Preparation, and Storage

Purification

Affinity purified

Formulation

PBS (pH 7.2) and 40% Glycerol

Format

BSA Free

Preservative

0.02% Sodium Azide

Concentration

Concentrations vary lot to lot. See vial label for concentration. If unlisted please contact technical services.

Shipping

The product is shipped with polar packs. Upon receipt, store it immediately at the temperature recommended below.

Stability & Storage

Store at 4C short term. Aliquot and store at -20C long term. Avoid freeze-thaw cycles.

Background: ZNF235

The ZNF235 gene product belongs to the zinc finger protein superfamily, members of which are regulatory proteins characterized by nucleic acid-binding zinc finger domains. The encoded protein is a member of the Kruppel family of zinc finger proteins, and contai

Alternate Names

ANF270, HZF6, ZFP93, zfp-93, zinc finger protein 235, zinc finger protein 270, zinc finger protein 6, zinc finger protein 93 homolog, zinc finger protein homologous to mouse Zfp93, zinc finger protein homologous to Zfp93 in mouse, zinc finger protein HZF6, ZNF270

Gene Symbol

ZNF235

Additional ZNF235 Products

Product Documents for ZNF235 Antibody - BSA Free

Certificate of Analysis

To download a Certificate of Analysis, please enter a lot number in the search box below.

Product Specific Notices for ZNF235 Antibody - BSA Free

This product is for research use only and is not approved for use in humans or in clinical diagnosis. Primary Antibodies are guaranteed for 1 year from date of receipt.

Loading...
Loading...
Loading...
Loading...